体检报告往往会提示肺结节,让人不禁疑惑,什么是肺结节?得了肺结节没能及时检查,会不会就演变成肺癌了?很多人甚至直接把肺结节和肺癌划上了等号,抑郁不安,四处求医,看完下面这个案例你会对中医治疗肺结节多些了解。

这位刘先生让我印象深刻,55岁,去年体检时查出肺结节,体积4毫米左右。平时的生活习惯不好,又抽烟又喝酒,刘先生病后觉得负担很重,心烦意乱总觉得会变成癌症。
咨询体检医生说:一般这样的结节现在不需要做手术,定期复查如果会变大就要手术。
刘先生听说同事也是得了肺结节在我这治好的便找到了我。
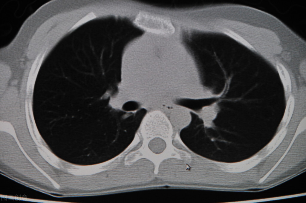
初诊,看了CT和检查报告显示他肺部的结节现在只有4毫米左右。有很大概率是良性的。

症状:咳嗽痰多,色白而稀容易咯出、胸膈满闷、小便不多,大便不实,舌苔白腻或白滑,脉濡缓。
辩证:脾气亏虚,痰湿阻肺,
治疗:补肺健脾,燥湿化痰,软坚散结。
处方:全蝎、土贝母、杏仁、百部、茯苓、半夏、僵蚕等。
这位患者大概在服用了药方三个月左右时,患者去了医院检查,惊喜地发现肺部之前的结节居然消失不见了,患者非常激动开心的向我打来电话表示感谢。

咱们的肺承担的工作是向身体输送氧气,职责非常重大,但肺本身是蛮脆弱的,由微小的气囊和血管组成的海绵状组织能结实到哪里去呢。咱们的肺可不是蒸不烂、煮不熟、捶不扁、炒不爆、响当当的铜豌豆啊,各种刺激都可能导致肺结节。如果我们持续给肺多种刺激,那就不仅仅是肺出现结节的问题了。尤其是吸烟,烟雾中持续的致癌物刺激对肺的影响是很大的。
肺结节患者应该注意如下:
1.平时注意防寒保暖,遇有气候变化,随时更换衣着,体虚易感者,可常服玉屏风散之类药物,预防发生外感。
2.戒除吸烟,避免吸入粉尘和一切有毒或刺激性气体。
3.加强体育锻炼,增强体质。
4.进食或喂食时,注意力要集中,要求患者细嚼慢咽,避免边吃边说,将食物呛吸入肺。
中医讲究辩证施药,一人一方,不可自行抓药。

#肿瘤医生李泉旺##中医##非常病例#