先给大家讲一个案例:54岁中年大叔,胸痛1个多小时,同时伴有头晕,无呼吸困难。入院时心率48次/分,血压80/30mmHg,血氧饱和度100%。对,你没有看错,心率减慢血压下降——患者休克了。胸痛并休克,心电图正常,急查肌钙蛋白正常,D-二聚体结果>48ug/mg——超过机器参考值上限。你会考虑什么病?肺栓塞?心梗?主动脉夹层?
我们这台D-二聚体床旁快速监测仪,检测值<0.16ug/ml表示无血栓,>0.5ug/ml提示存在血栓,>1.0ug/mg提示有血栓相关性疾病存在,>48ug/ml超过机器上限还是第一次见,提示血栓负荷很严重。

我相信列位看官还云里雾里,啥是D-二聚体,得跟列位先掰扯掰扯
我们人体的血液中有一种物质叫纤维蛋白原,如果身上有伤口,血小板会形成初级血栓,而这个纤维蛋白原会被激活成为纤维蛋白参与形成更加结实的血栓。如果我们不小心磕伤了手并流血了,如果伤口不大,你会发现就算不处理这个伤口也会凝固,那么这个凝固的物质就是纤维蛋白,慢慢的,在体表处会看见一个叫着“疤”的东西。
而这个纤维蛋白如果经过活化和水解,产生特异的降解产物,我们称之为“纤维蛋白降解产物”,而D-二聚体就是最简单的纤维蛋白降解产物。
看到这里我相信有些看官还是云里雾里,毕竟这种医学的专业名词和反应过程确实有点绕。简单一句话就是:只要有血栓的形成,就会有有血栓的分解,只要有血栓的分解,就会产生D-二聚体。D-二聚体水平升高说明体内存在高凝状态和继发性的纤维蛋白溶解亢进。因此,D-二聚体质量浓度对血栓性疾病的诊断、疗效评估和预后判断具有重要的意义。

既然知道了D-二聚体预示着血栓性疾病,检查结果还这么高,一定和深静脉血栓形成或者肺栓塞有关了,并且患者又出现了胸痛、低血压,很符合肺栓塞后的胸痛以及影响了右心功能的表现嘛。等等,既然肺栓塞可能性大,可奇怪的是,这么高的D-二聚体肺栓塞面积一定很大吧,为什么患者没有呼吸困难或低氧血症呢?氧饱和度还那么好?
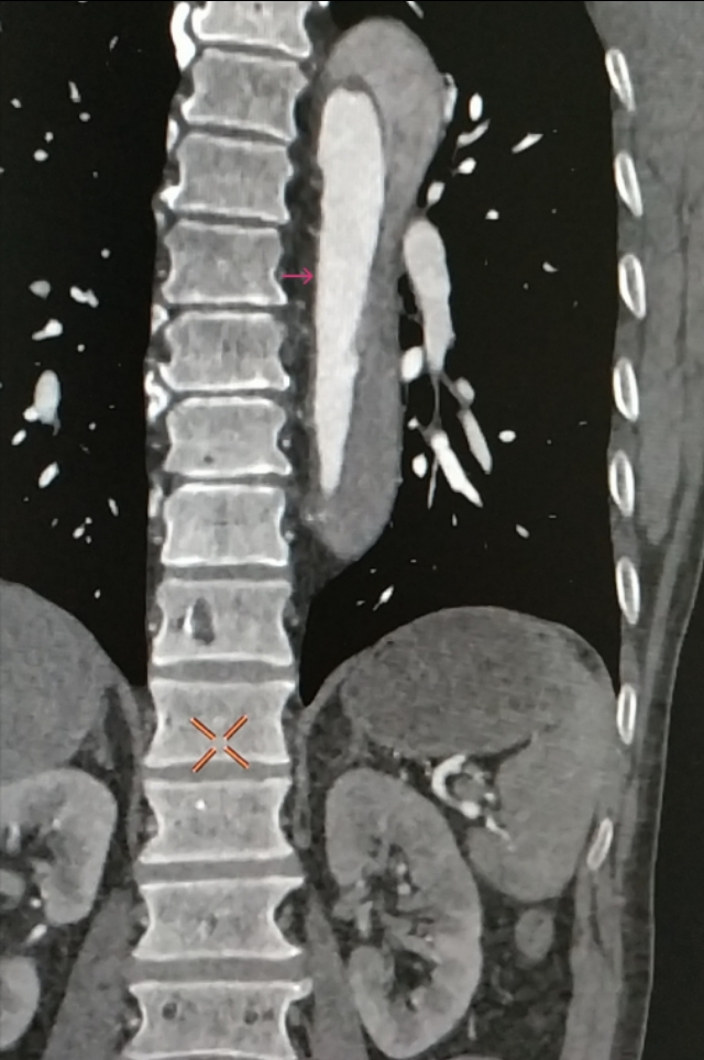
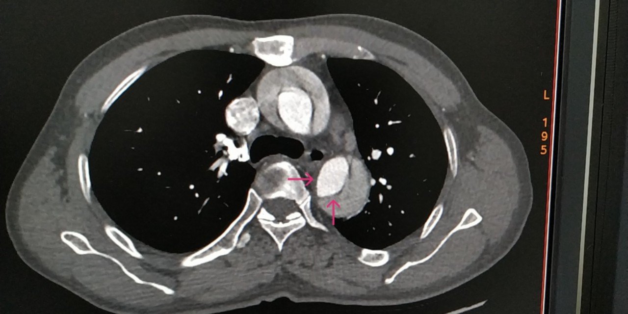
感觉不像,于是带着疑问,跟家属沟通好,我们给患者做了肺动脉和主动脉的全层CTA,发现是那个隐藏已久的杀手——主动脉夹层。而且,是全层撕裂,如下图。


这下疑团解开了,患者胸痛且低血压休克有了解释、没有低氧血症也有了解释,可D-二聚体高到了上限,这么离谱的数值竟然发生在一个主动脉夹层的病人身上,还是第一次见,这又产生了新的质疑:主动脉夹层的患者D-二聚体也会这么高?
D-二聚体既然是诊断血栓性疾病,跟主动脉夹层又有什么关系?
咱们再聊聊主动脉夹层这个病。主动脉夹层是血管撕裂性疾病,指的是人体最大的血管主动脉内膜破裂,血流在经过破口的时候进入中膜,形成真假两腔,类似于双层水杯,类似于轮胎鼓包,这样的一种疾病。死亡风险极其高,多数病人有突发的胸痛,也可以各种症状出现,临床迷惑性极强。

因此,既然是血管内膜的破裂,由于血管的生理保护机制,血小板就会出现聚集进行止血,凝血系统也会被激活参与止血,形成血凝块,只是这种血凝块发生在我们的大血管上,跟我们的手磕破了发生的过程一样。而体内另一个系统——纤溶系统为了对抗凝血也会分解掉一部分血栓变成D-二聚体产生抗凝的效果,只是效果比较弱而已,于是,凝血与血栓分解就这样动态平衡着,直到某一方战胜另一方(出血、凝血、纤溶三者动态平衡相互制约)。
但不管结局如何,只要发生了出血或止血的过程,D-二聚体就会存在,就能被监测到,且结果高低与疾病的血栓程度呈正相关。

咱们再次回到刚才的疑问上:主动脉夹层可以让D-二聚体升高,但超过正常值上限合理吗?
目前,D-二聚体在临床上已经广泛用于主动脉夹层的预测筛查。已经有很多专家表示:主动脉夹层的患者D-二聚体会轻度升高,在没有做CTA的情况下做初步判断。一般情况下,D-二聚体数值呈几十倍、上百倍的升高更倾向于肺栓塞等严重血栓疾病的诊断预测,数倍升高更倾向于主动脉夹层的诊断预测,这几乎成了不成文的规定。
反观此次病历,患者的D-二聚体高于测量值的上限,已经突破了常规的认知。如果我们再拿D-二聚体的高低来看待主动脉夹层与肺栓塞的鉴别,就会导致误判,甚至导致误诊并带来严重的不良后果。

总结:
就此次病例而言,再次验证了医学无绝对这个概念。同一疾病在不同个体间的差异化,会让我们不断的提炼与总结,而临床一线的观察结果,就是在一次次地突破我们对现有医学知识的普遍认知。
当临床发现与常规不符时,勇于突破认知,打破固有的总结,这就是现代医学的进步吧。
更多医学科普,欢迎关注齐大夫!
#战疫必胜# #清风计划#