近日,日本湘南镰仓综合医院研究团队在《干细胞转化医学》上发表文章[1-2],分享了利用自体干细胞移植成功治疗急性肾损伤患者的经验。

据了解,这是自体动员的外周血CD34细胞移植治疗严重急性肾损伤的I/II期临床试验的首例治疗, 细胞移植后肾功能得到长期改善,主要表现为血清肌酐水平的改善。
急性肾损伤(AKI)发病率高,预后不良,然而目前还没有有效的治疗方法来促进这些患者的肾脏修复。因此,迫切需要一种有效的方法来治疗急性肾损伤。
既往已经有一些动物试验初步证实了细胞疗法对急性肾损伤的治疗效果,其可显着改善肾功能,恢复缺血所致的肾小管周围毛细血管丢失。
这个临床研究的第一例是采用外周血CD34+细胞治疗一名36岁男性患者的严重急性肾损伤,因顽固性高血压合并微血管病态溶血导致急性肾损伤合并慢性缺血性肾损伤,经血液透析后血肌酐水平仍然很高,因此接受了干细胞治疗。

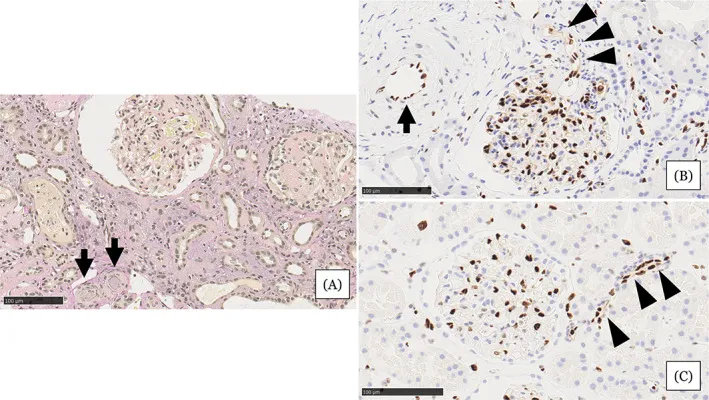
图片来自文献[1]
研究人员从患者身上收集干细胞后,并将其直接注入双侧肾动脉。细胞移植后除了出现一过性发热和血小板增多外,未出现任何重大不良事件。 细胞移植后23周,他的血清肌酐水平显著改善 ,此外仅用60mg硝苯地平和20mg奥美沙坦便可以很好地控制之前难以控制的顽固性高血压。
该案例初步证实细胞疗法治疗急性肾损伤安全有效,但由于数据有限,未来还需要更大规模的临床试验来评价其疗效。
间充质干细胞:急性肾损伤治疗的新利器
研究发现,CD34+细胞具有血管生成潜力,但它们在肾损伤的肾小管生成中不起血管生成作用,而是作为单核细胞/巨噬细胞谱系移植到肾间质空间,考虑到AKI的缺血和炎症性质,CD34+细胞可能是通过其抗炎特性达到治疗AKI的效果[3]。
科学研究已经证实,间充质干细胞具有强大的抗炎特性,经历很长一段时间的探索发现在治疗急性肾损伤上具有很大的优势。

肾缺血再灌注损伤(IRI)是急性肾损伤最常见的原因。到目前为止,大量研究表明,
(1)间充质干细胞输注可以减轻肾脏的IRI,使得急性肾功能衰竭的病程较轻 ,
(2)间充质干细胞输注使氧化损伤和炎症细胞因子的局部表达减少,调节T淋巴细胞池增加,肾小管上皮再生速度加快,肾间质纤维化减少。

研究还发现,间充质干细胞的这些作用机制源于其分泌特性,而不是复制分化潜能。
此外, 间充质干细胞来源广泛,骨髓,脐带和脂肪等组织中含量均很丰富,获取便捷,不涉及医学伦理学问题;此外其免疫原性低,可供异体使用,无需配型 [4]。
这些优势使得其成为治疗急性肾损伤的理想细胞,相信随着研究的进一步证实,间充质干细胞能为急性肾损伤治疗提供更有力的支持。
间充质干细胞治疗AKI:已有在研产品注册
在基础研究充分证实间充质干细胞对急性肾损伤的治疗效果后,不少科学家已经开展临床试验来进行进一步验证。截止目前,已经有多项间充质干细胞治疗急性肾损伤的临床试验注册在美国国立卫生研究院的最大临床试验注册库http://clinicaltrials.gov上。

其中一项编号为 NCT03015623的临床试验正在研究产品SBI-101的安全性和耐受性。
SBI-101是一种生物/设备组合产品,它将两部分结合起来: 同种异体人间充质干细胞(MSCs)和FDA批准的血浆置换设备。 SBI-101通过集成到持续肾脏替代治疗设备中进行治疗, 旨在调节炎症和促进受损肾脏组织的修复。该设备极大简化了间充质干细胞的移植方法,具有极大临床应用前景 。

点击此处添加图片说明文字
基础研究和临床研究均证明了间充质干细胞治疗急性肾损伤的可行性、安全性和有效性。但是目前尚无大规模随机对照临床试验开展,仍然需要更高级别的证据支持其应用,同时针对细胞来源,剂量,移植途径等进行更加深入的探讨,推动相关临床试验开展,使间充质干细胞成为AKI治疗的新策略。
参考文献:
[1] Suzuki H, Ohtake T, Tsukiyama T, Morota M, Ishioka K, Moriya H, Mochida Y, Hidaka S, Sato T, Asahara T, Kobayashi S. Acute kidney injury successfully treated with autologous granulocyte colony-stimulating factor-mobilized peripheral blood CD34-positive cell transplantation: A first-in-human report. Stem Cells Transl Med. 2021 Sep;10(9):1253-1257.
https://pubmed.ncbi.nlm.nih.gov/33955678/
[2] https://stemcellsportal.com/article-scans/autologous-cell-based-treatment-severe-acute-kidney-injury-human-patient
[3] Dekel B, Shezen E, Even-Tov-Friedman S, Katchman H, Margalit R, Nagler A, Reisner Y. Transplantation of human hematopoietic stem cells into ischemic and growing kidneys suggests a role in vasculogenesis but not tubulogenesis. Stem Cells. 2006 May;24(5):1185-93.
https://pubmed.ncbi.nlm.nih.gov/16410390/
[4] Lafosse A, Desmet C, Aouassar N, André W, Hanet MS, Beauloye C, Vanwijck R, Poirel HA, Gallez B, Dufrane D. Autologous Adipose Stromal Cells Seeded onto a Human Collagen Matrix for Dermal Regeneration in Chronic Wounds: Clinical Proof of Concept. Plast Reconstr Surg. 2015 Aug;136(2):279-295.
https://pubmed.ncbi.nlm.nih.gov/25946602/
[5] Bochon B, Kozubska M, Surygała G, Witkowska A, Kuźniewicz R, Grzeszczak W, Wystrychowski G. Mesenchymal Stem Cells-Potential Applications in Kidney Diseases. Int J Mol Sci. 2019 May 18;20(10):2462.
https://pubmed.ncbi.nlm.nih.gov/31109047/