
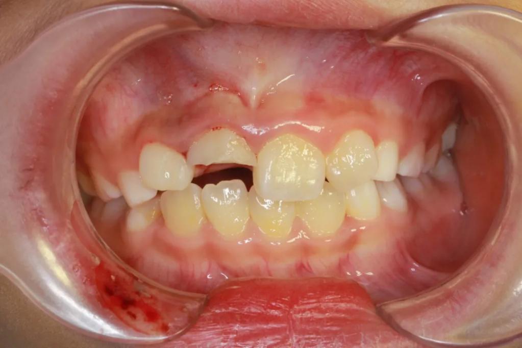
昨天上午11时左右,8岁的小女孩甜甜(化名)在小区中骑自行车,由于刹车太急摔倒造成门牙断裂,嘴唇也流血了,这可把爸爸妈妈吓坏了,赶紧带甜甜来看口腔急诊。
接诊的儿童口腔科医生张丽文为了甜甜做了详细的检查,与急诊医疗组组长王莹医生会诊评估了甜甜的状况之后,考虑立即进行消毒清创,并且给暴露的牙髓作活髓切断的治疗,即切除暴露受伤感染的牙神经,保护根方牙神经。

由于急着来就诊没有带断牙,甜甜的妈妈又赶紧回家去取,并按照医生建议将断牙放在牛奶里带到医院。
张丽文医生和急诊医护团队开始了紧张有序的治疗,由于牙齿裂的周围还有一些连着牙肉的小碎片,加上治疗过程中不停在出血,甜甜在治疗中非常紧张和害怕。辅助治疗的护士王静静、叶丽娟见状在旁边安抚她的情绪,温柔地跟孩子沟通:不要害怕,保持身体不要动,这样医生这样才能尽快处理,更加准确判断牙髓状态,进行止血上药,如果甜甜一直紧张的发抖或者乱动,血一直不止就很难上保护牙神经的药。安抚起了作用,甜甜慢慢安静下来,配合医生的牙髓处理和止血操作。

牙外伤的第二步处理断冠再接,考虑甜甜的前牙有点拥挤,如不及时处理两边的牙齿移位侵占断牙的空间,接断冠就困难了。因此,张丽文医生和急诊团队又开始了忙碌的断冠再接。年轻恒牙的活髓切断和断冠再接是很精细的治疗,从准备工作到结束,相当的耗时。等甜甜完成治疗,时间已经到了下午14时多。
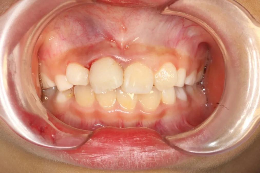
结束治疗后,甜甜惊喜地发现牙齿又"长"回去了,几乎看不出摔过的痕迹,彻底放下了对只有"半截门牙"的担忧,还主动向医生阿姨道谢。

治疗前

治疗后
期间发生了一件让医护人员倍感温暖的事。整个治疗过程持续时间长,医生和护士耐心温柔,甜甜的爸爸妈妈看在眼里,悄悄出去买来了一篮水果和一些点心想要表示感谢。
对此,张丽文医生说,谢谢对医护人员对尊重,这都是我们应该做的。
特别提示
张医生提醒,连日来,随着疫情的有效控制,不少市民增加了一些户外活动。但目前还处于疫情期间,请大家不要松懈,尤其在户外运动时要重视儿童的防护避免意外伤害。一旦发生牙外伤,要像甜甜的家长那样及时带孩子到医院就诊。如果是整颗牙或者牙齿部分脱落了,就近放到生理盐水或者牛奶里带到医院,如果换牙期的小朋友发生牙断裂,家长也要把断冠带来以便医生做评估。此外,儿童恒牙有可能牙根没发育好,医生会跟踪观察很多年做一系列治疗。