
几乎每天都能收到这样的咨询,家长拍张照片就让我看,我的孩子头大么?我的孩子头偏么?
加上最近湖南郴州的特殊奶粉事件,很多家长又开始担心起来,为了让大家不再担心,今天就来好好说说,我们如何看好孩子的「头」!
1. 怎么测头围?
通过头围评估孩子头颅大小,基本上可以理解孩子头部最宽的周长。
现在很多家庭都没有皮尺了,最简单的测量方法就是拿一根绳子,经过宝宝的眉弓(眉毛上方隆起的地方)和枕后隆凸(后脑勺凸起的地方)绕一圈,然后再用任何尺子都可以测量这根绳子的长度,就是头围。
下面这张图是头围曲线,建议收藏,每个月对比一下,特别是在2岁之前,头围是关注孩子大脑发育的重要指标。

头围测量有个特点,需要动态的看,也就是看曲线。有的孩子生来头就大一点,有的孩子生来小一点,都没问题。
但是如果几个月没有增长,或者近几个月头围飞速增长,就要注意了!
2.头大头小,可能出现什么问题?
首先必须科普一下,孩子的囟(xin,第四声)门。
为什么会有囟门,为什么长大就没有了呢?其实这是有科学道理的!
孩子的大脑发育速度太快了,早期头骨的发育比不上大脑的发育。
这时候有2个选择,第一让脑子长的慢一点,说白了就是让人类笨一点,这显然不是人类这种高等生物的选择。

第二就是让颅骨发育快一点,这个好!听起来不错。
但是问题就是女性的产道没那么大,卡住生不出来,再聪明也功亏一篑了。
于是人类就通过自然选择,进化出一套非常神奇的方法。就是骨头不连,留下空隙,在妈妈肚子里面给大脑充分的发育空间,出生经过产道的时候,头骨也可以稍微挤压一下,便于生出来。
出生之后,孩子生后前6月,因为大脑生长超过骨骼生长速度,囟门会有增大的表现,6月龄后,孩子的大脑发育速度就开始变慢,颅骨能追上了,一般到了2岁,颅骨的骨缝都闭合了,前囟门也就闭合了。
3.头太小了?头偏了?
但是有的孩子闭合的比较快,这种就叫——颅缝早闭。
问题在哪呢?
就是,头骨又开始影响大脑发育了啊。
颅缝早闭有好多种,有的是水平的缝先闭合了,有的是垂直的缝早闭了,就会让头太扁、或者太窄。还有一侧的缝早闭,头就歪了。

切入正题了,什么样的歪头需要处理呢?
首先我们要明确一点,每个孩子头型都是不同的,孩子只要头围正常,头型如果轻度的扁一点、窄一点、歪一点是不要紧的,只要不影响大脑发育,那就可以不管他。说白了,其实大多数的孩子头型是没什么问题的。
严重的偏头,需要做手术。


有的家长说:「徐医生,我想要孩子头型完美无缺,有没有好办法?」
对不起,我只能给你看看手术的方法了。

简单来说,就是把孩子的头颅*力暴**打碎,再重新拼出一个比较好看的造型。
手术创伤还是不小的,所以在手术处理之前,还是要考虑好。
当然,还有一些孩子头形确实是「睡歪的」,特别是在3个月内是一个头型的高速塑形期,2岁只内头型的变化也很大。
想要孩子头型更对称,最最重要的就是要均衡睡姿。
最常见的就是很多家长习惯右手抱孩子喂奶,让孩子也睡在妈妈的右边,这样就出现了孩子习惯往一边睡,把头睡偏了。
怎么解决?
均衡睡姿是第一位的。
有的家长说,孩子老是习惯往这边歪没办法。这时候要注意2点,第一是孩子有没有「斜颈」,第二是要考虑到婴儿不是习惯往一边歪头,而是一般喜欢面向大人,面向门,面向有光和声音的地方。所以婴儿床的朝向也要特别注意经常调整。
4、孩子 「方颅」?是不是缺钙?
维生素D缺乏、钙、磷缺乏,会导致佝偻病,而佝偻病时,会有方颅的表现。
就像下面的图片,前额很大,一般叫做「方颅」。

那为什么会出现这些地方骨头的隆起呢?
是因为维生素D缺乏,导致骨骼没法正常钙化,这样骨头就不硬。那质量不行就用数量凑,就会在这些部位让软骨细胞大量的增殖,积累多了就会膨大起来。如果长期严重缺乏维生素D,到孩子8、9个月龄时,就会出现这个表现。
「徐医生,我家孩子好像前额也是这样,是不是缺钙?或者缺维生素D?」
只要孩子正常补充维生素D,母乳或配方奶摄入足量,基本上比较少见的,如果孩子身高体重没问题,智力和运动发育也正常,也可能孩子的头型就是这样,不用担心。
如果真的是维生素D缺乏,佝偻病,不仅仅表现出头的问题。
比如孩子还会表现串珠胸、郝氏沟(肋膈沟),手腕、足踝处骨骼手足镯表现,还有O型腿或者X型腿,还有一个非常重要的特点,孩子易激惹,就是平常觉得脾气特别大,和同龄孩子比较,特别难带,就要去医院检查了哦!

5、头太大了?
还有一种情况囟门闭合过晚,或者是头太大。这是一个大问题了哦!
先普及一个常识,人的脑子是泡在水里的,这个水就是「脑脊液」。人类有一个奇妙的机制,把重要又娇嫩的东西保护在水里——比如胎儿被保护在「羊水」里。羊水可以保护胎儿免在母亲的运动中受到冲击,同时还可起到交换母婴代谢产物的作用。

为了维持大脑的代谢,保护大脑的水——「脑脊液」不是一潭死水,而是不断循环的。一旦循环,问题就来了。不知道你还记不记得中学课本里面那个变态的游泳池管理员?
「游泳池放水管4小时放完,进水管3小时灌满,一边放水一边进水需要几小时?」这个问题又一次在人脑脊液循环中出现了。

人的脑脊液总量大约140ml,也就是游泳池可以容纳140ml;脑脊液主要由侧脑室脉络丛分泌,每天大约分泌500ml,也就是水龙头每天放500ml;正常情况下,脑脊液的总量保持稳定,也就是脑脊液的吸收量大约也是500ml,也就是说一边放水一边出水,脑脊液的总量保持平衡。
那么问题来了,如果出水管道堵了,会怎么样?
水越来越多,如果在游泳池,水就会漫出来。而如果多了的水出现在人脑里会如何?这就是前面提到的「脑积水」。但是坚硬的颅骨容积是固定的,水一旦过多,就会出现明显的症状。然而孩子颅骨非常软,在手术中,我们可以看见婴儿的颅骨软得像纸板一样。
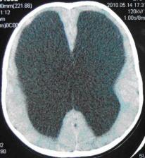
颅腔里的水不断增多,婴儿柔软的头骨就会被不断地撑大,直到成为,这样:

没错,儿童脑积水如果得不到及时的治疗就是如此。整个脑袋就像一个水桶,里面全是水,而真正的脑组织只有,这么一点(图中白色,而黑色的部分全是水):

之前的图可能有点夸张,早期的脑积水可能就是头比一般人稍微大一点,智力发育慢一点。因为爸爸妈妈每天接触自己宝宝,有时发现不了宝宝非常细微的变化。当量变积累到一定的程度让家人注意到时,宝宝的头可能已经非常大了。

出水口堵塞的原因什么?
常常因为肿瘤(长了肿瘤堵住了出水口),出血(脑出血血块堵塞了出水口),感染(脑炎之后细菌和粘连堵塞了出水口),更多的是先天畸形(天生出水口就小或者堵塞)。
还有一种可能,出水口没堵塞,但是脑脊液的吸收能力不行,这个情况用游泳池比喻可能有些不恰当,简单的说就是水从出水口流出去又流回来了,吸收不掉。
一旦出现这样的情况,极少数的患者可以通过切除肿瘤等方式,解除堵塞。但是大部分患儿就很难把脑脊液的循环再通。
那怎么办呢?
简单地说,就是在游泳池里加一个管道,把水引到下一级的水道里。现在更普遍的方式是脑室腹腔分流,也就是把脑室里的水引到腹腔里,腹腔有超强吸收能力的大网膜,这样就能把脑脊液的分泌和吸收重归平衡。图中脑内白色的短线就是分流管。

这个管子应该在脑积水早期放,此时患儿的头还不太大。如果头太大了,不仅要放管子,可能还要做头颅重塑。
下图就是我们科很久以前做的一例巨颅重塑术,当时还上了央视新闻,简单的说是将多余的颅骨打碎再重塑成可接受的造型。

术前

术后
你可能会问,那么这个管子放多久呢?很遗憾,这样的管子要放一辈子。随着孩子的长大,管子不够长了,可能还需要做多次手术更换分流管。
如果出现感染等问题,可能会导致管子的再度堵塞。一旦管子堵塞了,患儿很快就会出现症状,头晕头疼、精神不振、全身无力,甚至昏迷。可以说一旦被确诊了这样的疾病,就需要终生治疗。
Dr.X说
婴儿时期的孩子3个最重要指标,就是:身高、体重和头围。
说了这么多, 你知道孩子的头围、头型有多重要了吧?下次体检的时候,一定要注意这一项哦。
如果你有孩子头型的问题,也欢迎留言或者私信我。
最后也希望你能把我的这篇文章转发给更多孩子的家长,多了解一下知识,减少一些悲剧。祝大家的宝宝都健健康康,拥有一个聪明,完美的大脑。
▼关注我,走进临床医生的生活!
-Dr.X-
一个医学博士、外科医生和三娃奶爸
《学会看病》作者
带给你有态度、有温度的健康干货和育儿锦囊~
关注我,每天多一点健康
