
正读六年级的琪琪(化名)成绩优异、能歌善舞,一直是老师和同学眼中的“小童星”。前不久,琪琪突然哭闹跟妈妈说,“同学们都笑话我,说我牙齿漏风,我再也不想唱歌了!”父母恍然意识到,换牙期缝隙大的情况,竟无形中给孩子带来了如此大的影响,连忙带着琪琪来到北京东区儿童医院口腔科就诊。
东区儿童医院口腔科副主任周杰根据琪琪的牙齿情况,制定了托槽矫正方案。周医生表示,6个月后,琪琪牙缝间隙大的情况就会得到明显改善。

孩子换牙期间“问题多”!
周医生介绍,换牙期间孩子易出现牙齿拥挤错位,颌骨变形发育等口腔疾病。孩子牙齿拥挤错位,易造成清洁(刷牙)不彻底,食物残渣就会滞留在牙齿上滋生细菌,患龋齿等口腔疾病。

别让牙齿毁了孩子的容貌和自信心!!

周杰医生介绍,儿童口腔正畸,不仅是对牙齿的矫正,更多的是矫正儿童的颌骨,牙齿畸形会直接影响到儿童漂亮的脸型。儿童从4岁开始是干预矫正最佳年龄,骨型决定牙型,对牙齿的矫正主要是在干预儿童的骨型。
早期干预的意义,主要是干预儿童的颌型,因为牙齿长在骨型上,骨型调整好了,牙齿自然看着就整齐了!为什么说从4岁开始是最佳年龄,因为干预的方式(疼痛)都是4岁的孩子可以接受的。周医生表示,很多家长都存在一个误区,觉得孩子小时候牙列不齐,长大慢慢就好了,不用干预。孩子的牙齿到底需不需要干预,需要由牙科医生来判断,家长盲目判断容易错失最佳矫正时机。”周杰医生说。

儿童口腔畸形的“后患”比你想的还要大!
1、牙齿难看拉低儿童颜值,影响美丽的脸型。
2、很多儿童因牙齿不好看受到嘲笑,产生自卑感,甚至影响身体健康。
3、牙齿排列不齐,牙颌畸形,平时刷牙效率就会降低。
4、牙齿拥挤错位时,如果清洁不彻底,食物残渣滞留在牙齿上,细菌繁殖产生酸,腐蚀牙齿后易引起龋齿和牙周炎等。
5、严重的错合牙齿畸形可影响饮食和呼吸。
哪些儿童需要正畸?
1
前牙后突,反颔等,俗称"地包天"。
2
出现重牙、*牙虎**等。
3
上下牙齿没有办法正常合拢在一起。
4
"龅牙"从正面看下牙被上牙挡住,露出很少。

儿童口腔也需要特别体检?
日常口腔清洁最有效的是刷牙,但儿童口腔健康跟每个儿童的先天牙质有很大关系,根据儿童先天的牙质状况,该不该用含氟牙膏?或可以使用普通清水刷吗?结合儿童自身体质,有效的完善儿童口腔健康,这就是检查的目的。
早期的龋齿,清洁度怎么样,周医生建议1岁、1岁半、2岁,这三个阶段各检查一次。日后根据儿童的牙质情况来调整,3个月到半年检查一次即可。当儿童喊牙疼时,说明已经伤到神经,预防儿童龋齿最重要的就是要早发现,早治疗!

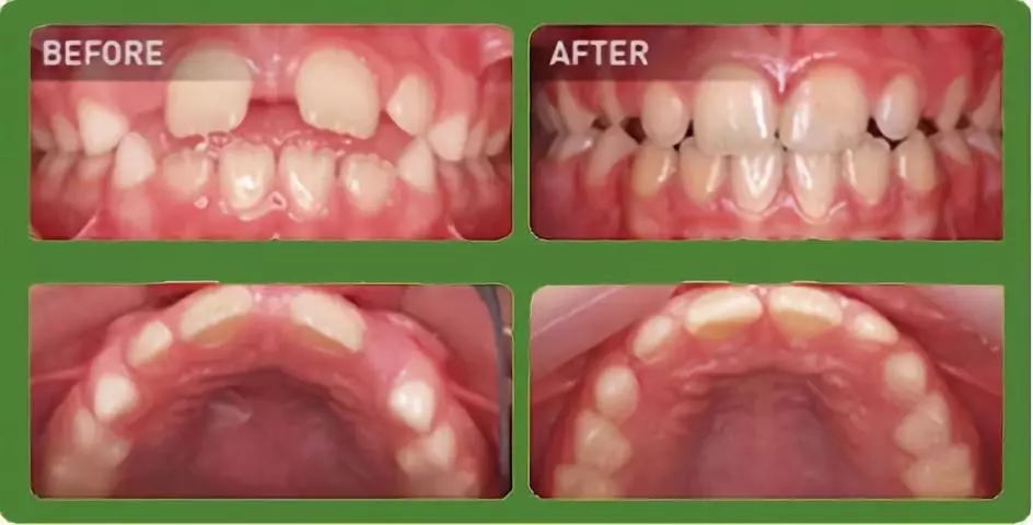
(牙齿正畸前后对比图)
东儿暖心提示!
儿童口腔正畸并不是“年龄越小越好”,要根据儿童自身体质情况,由口腔科医生来判断!此外,儿童口腔科疾病隐秘性强,所以要想宝宝口腔健康,为孩子建立口腔健康档案,定期口腔体检最重要呦!