
医脉通编译整理,未经授权不得转载。
色素沉着绒毛结节性滑膜炎(PVNS)是一种罕见致残的疾病,常见于年轻人,主要累及膝关节(约70%)及髋关节(约20%)。根据一项历时17年的研究,在美国,每年的PVNS发病率估计为每百万1.8人,男性居多。相比之下,在中国,一项对237例患者的回顾性研究发现,女性居多。
PVNS的特点是关节、肌腱鞘和囊内滑膜增生和含铁血黄素沉积。虽然确切的病因尚不清楚,但据报道创伤、关节内出血和炎症与该病有关。一些作者认为慢性炎症是其原因,而其他人认为它是一种肿瘤疾病。磁共振成像(MRI)是临床上疑似患者的首选影像;然而,组织病理学仍然是诊断的黄金标准工具。在这里,作者提出了一个不典型的表现,证实了晚期组织病理学检查。
案例报告
患者,女性,60岁,既往有糖尿病和高血压病史,因双侧膝关节疼痛20年而就诊。患者20年前开始出现双侧膝关节疼痛,右膝较重,曾口服止痛药,但未进行手术干预。患者诉疼痛为持续的和非放射性的,活动加重,并通过休息后缓解。该患者有膝关节创伤史,乳腺癌的家族史。
在检查中,患者未借助任何辅助,正常行走且活动自如,没有积液的迹象。既往诊断为骨性关节炎,负重x线显示双侧骨性关节炎严重改变,双侧骨质减少阳性,少量积液,膝内翻畸形。随后,右膝MRI显示前交叉韧带前内侧纤维高信号强度。此外,内侧半月板的后角具有复杂的撕裂和位移,与桶柄撕裂一致。外侧半月板显示信号强度轻微增加,代表内膜变性。MRI还分别显示了侧副韧带和内侧支持带的陈旧损伤和创伤相关发现。此外,还注意到一个小的Baker囊肿(图1)。因此,进行右膝关节镜检查,并进行部分滑膜切除术。关节镜检查后,由于晚期骨关节炎的改变,患者进行了全膝关节置换术。

图1右膝关节磁共振成像的矢状面图; T2视图显示前十字韧带中的高信号强度,Baker囊肿和没有色素沉着绒毛结节性滑膜炎的特征(a和b)。
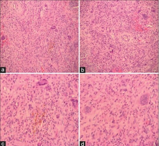
术中可见明亮的褐色发炎滑膜。决定从右股骨切际行获得滑膜活检,确诊为PVNS。在宏观上,观察到单片不规则的灰褐色具有分叶状的外表面橡胶组织。在显微镜下可见单核滑膜细胞片与多核巨细胞、泡沫组织细胞混合形成的局限性病变,伴有局灶性含铁血黄素沉着(图2)。患者对手术耐受良好,无任何术后并发症。2周后出院,并在诊所接受缝线拆除术。随访2个月,临床和放射学检查均未见异常。

图2(a和b)单核滑膜细胞,巨噬细胞和多核巨细胞的细胞增殖;(c和d)多核巨细胞和棕色含铁血黄素。
讨论
在目前的病例报告中,患者的膝关节发病时间相对较晚。PVNS呈现的平均年龄为33(±13.1)岁;本报告中的患者可能在四十多岁时发生PVNS。
PVNS症状首次出现到确诊平均延迟为2.9年。然而,在本报告中,PVNS在患者60岁左右时诊断,即第一次出现症状后约20年。虽然高于一般情况,但这一诊断延迟远远低于一名报告从症状发作到诊断延迟600个月的患者。患者年龄越大,诊断延迟越多,从而表明老年人的临床表现可能导致鉴别诊断困难。此外,性别也可能在诊断延迟中发挥作用,尤其是女性膝关节受到影响时,因为她们更容易患膝关节骨性关节炎。
MRI是诊断PVNS最常用的工具,最常见的发现是由于钆沉积、滑膜肥大、结节和骨损伤引起的病变。然而,在本次报告中,MRI没有显示PVNS的任何迹象,但在MRI上发现了Baker囊肿,这很容易导致误诊。同样,Gokhale 等在MRI上发现Baker囊肿,后来经组织病理学证实为PVNS 。目前尚不清楚PVNS患者中Baker囊肿的出现是否是偶然的关联,或还是一个危险因素,因此需要进一步的研究。
确诊后,关节镜滑膜切除术是最常用的治疗PVNS的方法。然而,PVNS再次发生此程序相对较高(约20%),根据位置和性别的不同而不同。在本报告中,考虑到膝关节的晚期骨关节炎改变,全膝关节置换是首选方法。
结论
这一独特的病例通过强调MRI结果可能具有误导性以及滑膜活检是诊断的金标准而增加了PVNS的文献。建议临床医生对长期膝关节疼痛患者的PVNS有高度怀疑,并将非典型PVNS纳入考虑因素。
医脉通编译整理自:AlDakhil M A, AlDakhil A M, Karami M M, et al. Atypical presentation of pigmented villonodular synovitis: A case report[J]. Saudi Journal of Medicine and Medical Sciences, 2019, 7(1): 44.