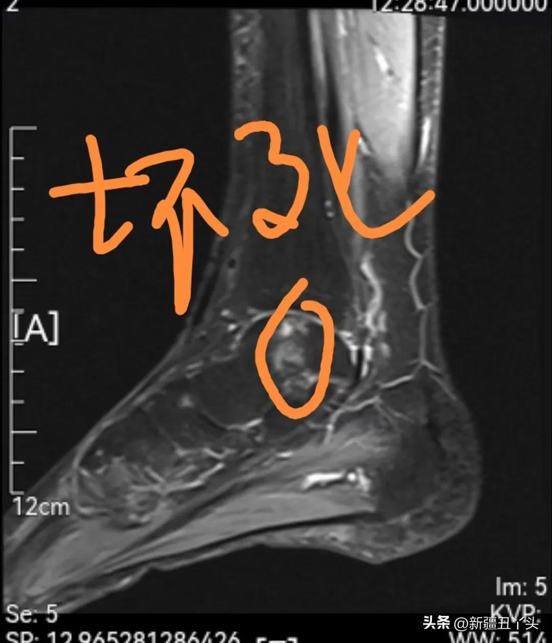
2020年10月18日,我一跤摔成了左踝关节距骨坏死。由于左踝长期肿痛,根本无法多走多动。


躺了几个月,体重一度飙升到超过71.5公斤。

这可怎么是好?一方面要面对无法下地运动的现实,一方面又不能饿肚子节食造成免疫力下降。思来想去,我决定从自己的身体实际出发,慢慢来,先把体重控制住,再解决发胖超重的问题。于是,给自己制定了一套控制体重的办法。具体做法如下:
首先,养成记录体重的习惯。密切观察,防止持续上涨。
其次,我认为中老年人绝对不可采取饿肚子的办法来控制体重。因为胃是人生下半场必须重点善待的一个脏器。脾胃一旦出了问题,将影响全身的健康。
不能饿,那就从少吃、科学地吃上下功夫。从树立了这一目标起,我就很少再吃精米、白面。吃的是二掺、三掺米饭,即大米、小米、藜麦、玉米等掺和起来的米饭。馒头、包子、饺子、饼子等面食基本上是一大半白面,掺一少半荞麦面、玉米面、全麦面或黑全麦面来做。每餐主食的量控制在一拳,甚至再少一点的范围。没过多久,体重便不再上涨,并一点点地下降了。


第三,尽可能拉长头一天晚餐与第二天早餐的时间距离,实现轻断食。我的早餐时间为10:00点,晚餐在下午6:00之前吃完。间隔了16个小时。这样一来,可以让肠胃得到充分休息,还可以有效地控制、减轻体重。坚持了一段时间后,不仅体重下降了,脾胃虚弱,经常嗳气、腹胀的毛病也随之改善了。
第四,营养均衡才能更有效地控制体重。早餐、午餐、晚餐都要重视蛋白质的摄入(肉、蛋、奶、鸡、鸭、鱼),它们是提高代谢率的主力军。蔬菜、水果也不可少,还要换着花样吃,使品种丰富,从而保证各种营养素的获取。





第四,对于中老年人来说减重不可心急。要避免操之过急造成血压、血糖等方面的异常。
按照上述方法实行了两年多,不能运动的我体重从71.5公斤降到了65、66公斤,减了6公斤。我已年过半百,身高近170厘米,这个体重完全属于正常的范围。


中老年人当中,腿脚不便,无法运动的人很多,我用两年的实践证明了:不用运动,合理安排饮食时间、均衡饮食营养、少吃精米白面是可以控制并减轻体重的。
希望我的分享可以帮到那些无法运动却需要减重的人。