急性感染腹水 (感染性腹水怎么控制)

患者,张某,女性,23岁,未婚。

主诉:腹胀8月,加重2月。

入院时间:2011-10-18

现病史:8个月前患者出现腹胀,无明显伴随症状,当地医院腹部B超提示“盆腔积液”,给予对症处理,效果不佳。近2个月腹胀加重,给予利尿治疗,症状稍缓解。

入院前辅助检查(2011-10-17)

我院腹部B超:①肝大,肝内回声粗糙;②大量腹水,126mm;③脾、胰未见异常;④肝左静脉1.3cm,肝中静脉1.5cm,肝右静脉2.2cm,下腔静脉2.0cm。

肝功能: ALT12U/L, AST20U/L,GLB30.0g/L,ALB44.4g/L,TBIL14.2μmol/L

HBV-M:HBsAg(+),HBeAb(+),HBcAb(+);HBV DNA<1000 cp/ml,丙肝抗体阴性。

既往史、家族史:无长期大量饮酒史、无特殊流行病学史、无长期服用肝损药物史。

入院查体:正常面容,全身皮肤、巩膜无黄染,无肝掌、蜘蛛痣。心肺查体无明显异常。

腹部膨隆,柔软,无压痛、反跳痛,肝脾肋下未触及,移动性浊音阳性,双下肢无浮肿。

CA-125 297U/mL。腹水检查:白细胞计数320/uL,单核细胞数70%,总蛋白50.9g/L,乳酸脱氢酶98U/L,葡萄糖5.8mmol/L,腺苷脱氨酶9.1U/L。腹水病理学未见异常。胸片未见异常。子宫及附件超声未见异常。

初步诊断:腹水查因

布加综合症?

乙肝肝硬化?

中度贫血

处理:入院后予放腹水、利尿治疗,腹胀缓解不明显。

进一步检查

心脏B超:双房显著增大,双室未见异常,射血分数70%,三尖瓣中度返流。

胃镜:慢性浅表性胃炎。

BNP:702 pg/ml。

PPD试验阴性。

感染科可以治肝腹水吗,腹水被传染了怎么办

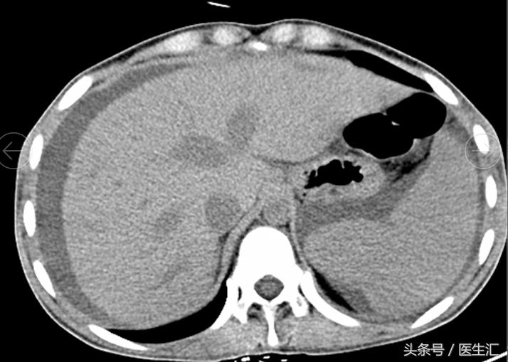
2011-10-24 腹部CT:肝硬化、脾大(9个肋单元);三支肝静脉增宽,未见充盈缺损;下腔静脉未见明显异常;肝内胆管轻度扩张

感染科可以治肝腹水吗,腹水被传染了怎么办

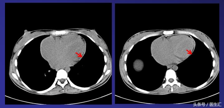
2011-11-18胸部CT:双房增大,心包均匀增厚,可见明显钙化灶,考虑缩窄性心包炎。

最终诊断

肝硬化、腹水

缩窄性心包炎,瘀血性肝硬化

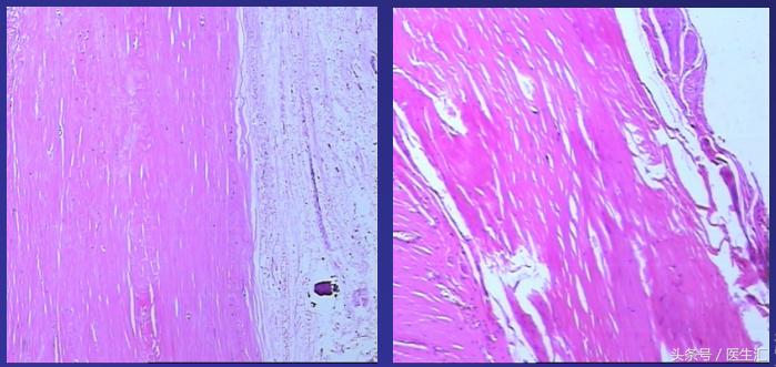
治疗:2011-11-29行心包剥脱术,术中见心包显著增厚,壁、脏层心包粘连紧密,无积液。最致密处位于心脏膈面及右房室沟,心包最厚约10mm,质地坚硬,散在少量钙化。

心包病理:纤维结缔组织增生并玻璃样变,符合缩窄性心包炎改变

感染科可以治肝腹水吗,腹水被传染了怎么办

因缩窄性心包炎最常见病因为结核感染,且患者腹水检查为渗出液,以单核细胞为主,故术后给予利福平、异烟肼、乙胺丁醇抗结核。

5个月后(2012-3-16)复查超声提示腹腔少量积液,6mm。