在很多人的观念当中,年龄似乎是衡量衰老的唯一尺度。但大家又不得不承认,经常可以遇到身体状况与年龄并不相符的人。

事实上,在人体内,不同组织器官之间的老化程度也可以存在明显的差异。血管尤其是动脉血管的老化是近年来大家都非常关心的,这是因为血管老化被认为是心血管疾病的关键危险因素,而心血管疾病仍旧是人群致死的首要原因。

血管老化有哪五大常见征象?
从发生机制上来说,血管老化其实主要是血管内皮细胞以及血管平滑肌细胞老化的结果。
在显微镜下观察老化的血管,可以发现整个血管的内膜增厚、血管平滑肌细胞排列紊乱还有胶原纤维沉积增多。而这些改变则会让动脉血管在功能上表现为僵硬度增加并且弹性减弱。

那么,在日常生活当中或在健康体检结果里,一般有哪些我们看得见的血管老化表现呢?
第一个要说的,是大家也都会想得到的,它就是“高血压”。高血压常常都是血管老化的表现之一,与此同时,高血压又可以反过来促进血管老化的发展。

不过,高血压的特点不同,有时候可以反映出血管老化程度也存在差异。一个很典型的例子就是,老年性高血压常常表现为高压(收缩压)很高,而低压(舒张压)偏低,高压与低压的差值也就是“脉压差”很大;而中青年高血压则常常与之相反,容易表现为高压不太高,但低压偏高,“脉压差”较小。因此,也有医生认为脉压差越大代表血管越硬,老化程度越高。
所以,简单来说就是,有高血压的人群比没有高血压的人群血管老化程度更高;而在高血压人群当中,脉压差越大的,往往血管老化越严重。

第二个,也是大家很熟悉的,叫做“颈动脉斑块”。一般,颈动脉斑块是通过健康体检当中的颈动脉超声检查来发现的。
颈动脉斑块是人体内发生动脉粥样硬化的明确证据,这往往意味着血液当中低密度脂蛋白胆固醇这类“坏胆固醇”已经渗透进了血管内膜。动脉粥样硬化不仅是血管老化的表现,也提示心脑血管疾病的风险大大增加。

第三个要说的是“颈动脉内膜中层增厚”,它是除了颈动脉斑块以外,常常被颈动脉超声发现的另外一种异常。

一般来说,不同年龄阶段的人群,其颈动脉内膜中层厚度的参考值是有所不同的。比方说,40-49岁的人群,理论上颈动脉内膜中层厚度应该小于0.7mm;50-59岁的人群小于0.8mm;而60岁以上人群小于0.9mm。
理论上而言,颈动脉内膜中层增厚是血管老化的标志性结构改变,血管老化越快,颈动脉内膜中层厚度的增长速度也会越快。

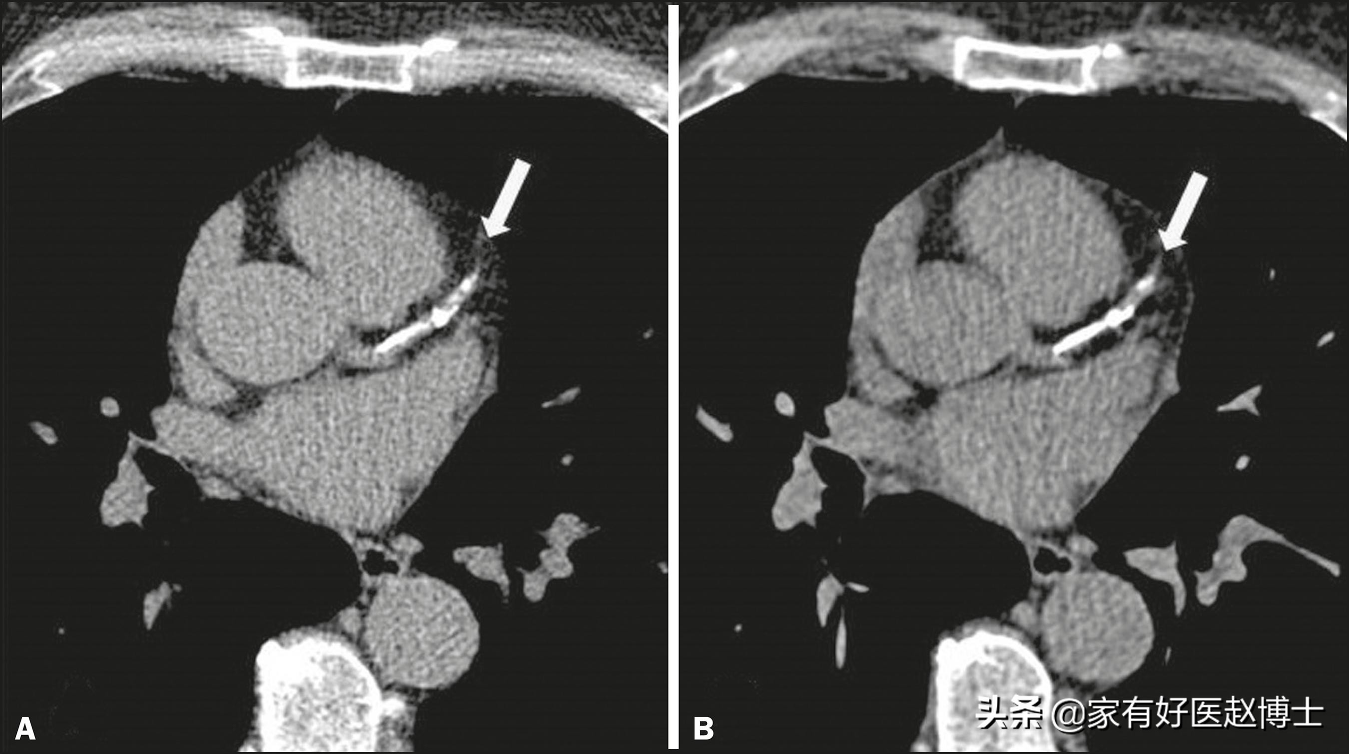
第四个要说的是“动脉钙化”,动脉钙化在人群当中也很常见。很多时候是在体检报告的胸部X光片或CT扫描结果里,可以看到“主动脉钙化”、“冠脉钙化”等提示。
钙化的本质是钙质在血管壁内的沉积,这被认为是动脉硬化的明确信号,同时也是血管老化的表现。

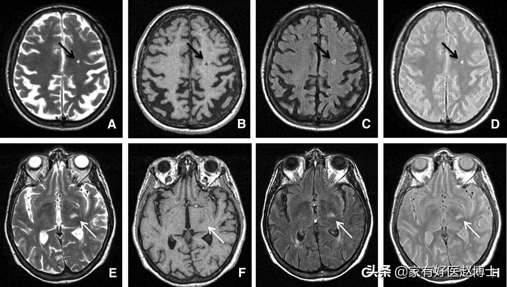
第五个要说的是“腔隙性脑梗塞”,这在颅脑CT或磁共振检查当中是中老年朋友们比较常见的一种异常结果。
腔隙性脑梗塞不同于大面积脑梗塞,很多时候医生并不会给与特殊的治疗意见。但是,腔隙性脑梗塞被认为与大脑里小动脉的内皮功能障碍密切相关,因此,也属于血管老化的一种表现。

其实,临床上还有一项指标对于评估血管僵硬度非常重要,它就是“脉搏波传导速度”,英文缩写“PWV”。只不过,它在健康体检和日常诊疗当中被使用的频率不太高,所以很多人都并不了解它。临床上,一般多是测量肱-踝动脉PWV这个指标,英文缩写“baPWV”。baPWV的数值越大,一般代表动脉的僵硬程度越高。

所以,如果您确实存在某一个或几个我们上面所提到的这些问题,那么,就要小心“血管老化”了。
血管老化 如何干预
相信有不少朋友都可能遇到过这样的状况:像颈动脉斑块、动脉钙化还有腔梗等血管老化问题,要么医生不给开药,要么不同的医生会开出完全不同的药来。

那么,针对血管老化的问题,到底怎样的人适合用药,又有哪些药可用呢?
2018版《血管衰老临床评估与干预中国专家共识》是一份我们可以参考的比较权威的医学指导文件。

其中,关于药物的使用是这样建议的:
首先,对于有“三高”也就是高血压、血脂异常以及糖尿病这些问题的患者而言,用药物控制好“三高”肯定是有利于延缓血管老化的。其中,有几类药物尤其重要。

降压药当中,血管紧张素转换酶*制剂抑**ACEI和血管紧张素受体拮抗剂ARB相较于其他降压药更有利于降低血管僵硬度并改善血管弹性。ACEI也叫“普利”类药物,临床上常用的有卡托普利、依那普利、培哚普利等;ARB也叫“沙坦”类药物,临床上常用的包括缬沙坦、氯沙坦、厄贝沙坦等。它们都是作用于肾素-血管紧张素-醛固酮系统的经典降压药。

而在降脂药当中,他汀类药物不仅可以降低血脂,它同时也可以延缓动脉粥样硬化进展并对抗血管老化。比较常用的他汀类药物包括阿托伐他汀、瑞舒伐他汀、匹伐他汀等。

当然了,这些药物一般主要适用于确实存在“三高”的人群,那对于有血管老化表现但并没有“三高”的人群而言,是不是就没有药物可用了呢?
其实,专家共识当中专门提到了一类人体当中存在的内源性物质叫做“前列腺素”,前列腺素被认为可以通过改善血管内皮功能从而减缓血管老化。前列腺素的口服药物制剂叫做“贝前列腺素钠”,还有一种注射针剂叫做“前列地尔”。

所以,对于没有“三高”的人群而言,前列腺素类的药物是可以考虑的。
而除了药物以外,在日常生活当中注意饮食调节并加强运动锻炼也很重要。
在饮食上,除了少盐、少油、控糖并限酒以外,应该增加新鲜蔬菜以及谷物在食物当中的占比。限制每日饮食的总热量被认为是有可能延长生物体生命周期的措施,建议可以长期坚持。

在运动当中,快走、慢跑、骑行、游泳等有氧运动被认为对心血管的益处最大。建议从每次20分钟中等强度的有氧运动开始做起,逐步增加到每次40~60分钟,每周保证3~7次。

对于存在超重或肥胖的人群而言,应该通过饮食控制与运动锻炼力争把体重指数控制在24 kg/m2以内,男性腰围小于90 cm,女性腰围小于85 cm。

好的,关于血管老化有哪些常见表现,又有哪些手段可以帮助延缓血管老化,您都了解了吗?