儿童的自身免疫性肌病是少见肌病。最常见的是幼年型皮肌炎(juvenile dermatomyositis, JDM)。而更罕见的是幼年型多发性肌炎(juvenile polymyositis, JPM)。
一,流行病学
JDM是少见疾病,国外的发病率为每年每100万儿童约2-4人(注意不是患病率),发病高峰年龄是4-10岁。女孩大约是男孩的2-5倍。而JPM则更少见,估计不到JDM的1/20。目前已对JPM是否为独立的疾病产生怀疑。
可惜的是,中国没有相关流行病学调查数据,因此不知道中国的年发病率、患病率等数据。
相对而言,很多代谢性肌病的发病率并不低于JDM,更不用说JPM。
比如,酸性α葡萄糖苷酶(acid alpha-glucosidase, GAA)缺陷症。在荷兰,经典婴儿型GAA缺乏症的患病率为1/138000,迟发型GAA缺乏症为1/57000。
尽管拿年发病率对比患病率是不妥的。但考虑到代谢性肌病的多种类,我们有理由认为,在儿童,代谢性肌病比JPM更常见。

儿童病变里有更多遗传代谢疾病
二,临床特征简述
JDM受损的首要靶组织是血管。JDM可以看到皮肤血管损伤,可以观察到甲周、胃肠道等血管病变。表现为毛细血管增生、空泡及坏死。这种缺血性改变而引发了肌肉纤维损伤。
JPM的首要受损靶组织是肌纤维。CD8+T 细胞和 CD4+ T 细胞为代表的细胞免疫直接损伤肌纤维。
1,JDM的皮肤症状
JDM有明显皮肤症状。大多数病人最先出现面部皮疹。部分病人为急起的炎性水肿样面部皮疹;但通常情况下,面部皮肤症状会不知不觉地缓慢进展几个星期才变得典型。病人也可能会注意到脱发,从而发现头皮症状。
手上的皮疹,四肢和上部躯干的伸肌表面的皮疹会随后会出现,虽然手上皮疹、四肢等皮疹也可以跟面部皮疹一起出现。只有少数病人有明确的光敏感史。
值得注意的是,皮肌炎的皮疹可以表现为头皮、面部、上躯干和上肢出现融合的紫红斑伴严重瘙痒。患者会频繁出现受累区域剧烈瘙痒或烧灼感症状,严重影响日常活动能力,从而导致情绪上的困扰和睡眠不足。
头皮瘙痒可能尤为严重,并且是部分皮肌炎患者的首发症状。皮肌炎皮疹可存在鳞屑,但鳞屑通常在头皮上较为显著,并可能伴有弥漫性脱发。

皮肌炎的指关节处多角形扁平丘疹(Gottron 丘疹)

皮肌炎的披肩征样皮疹:点状色素沉着和色素减退,皮肤萎缩及毛细血管扩张

皮肌炎的技工手:手皮肤过度角化,手掌面及手指侧面皮肤龟裂、部分似乎沾了未清洗的油墨
2,JDM和JPM的肌肉症状
它们都表现为近端骨骼肌无力。其特征:主诉肌肉疼痛、触痛或僵直感。 常首发于下肢近端肢带肌, 渐累及肩带肌和双臂近端肌群。 临床表现为:
- 行走困难、 上下楼梯、 起床或下蹲后起立困难(Gower 征阳性);
- 不能举臂、梳头、穿衣等;
- 颈前屈肌和背部肌群受累可致平卧抬头和竖颈困难(婴幼儿更突出),或不能维持正常坐姿;
- 部分患者可有咽喉以及食道受累, 出现发声困难、声音嘶哑、吞咽困难,有突然误吸危险。当有明显鼻音或液体从鼻孔反流出应高度警惕;
- 少数可因胸廓和呼吸肌受累出现呼吸困难;
- 疾病后期或骤然起病者可有远端肌肉受累,晚期可出现肌萎缩;
- 罕见面肌和眼外肌受累。

Grower征,来源epomedicine
3,其他系统病变
JDM和JPM还常有肺部、骨骼肌肉、关节等多个症状。具体可参看《少见疾病:皮肌炎与多发性肌炎(下)》

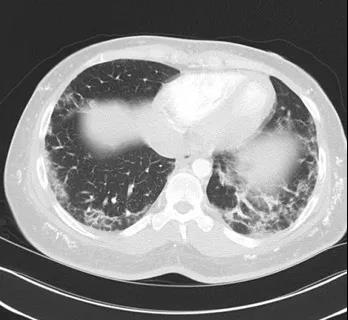
皮肌炎患者的胸部CT:肺间质病变
三,JDM的皮肤改变鉴别诊断
典型的皮疹、骨骼肌肉症状并不难识别。然而,在刚起病时,通常尚无明显肌肉症状,而皮疹也不够典型。这常常带来误诊。
比如,这样的皮肌炎症状:

JDM病友的早期皮疹

跟沙土性皮炎相似的JDM早期皮疹

跟沙土性皮炎相似的JDM早期皮疹

JDM早期图

极难鉴别的JDM早期
参考资料:
1. Kelley and Firestein's Textbook of Rheumatology(第 10 版)
2. Rheumatology(第 7版)
3. Rook’s Textbook of Dermatology(第 9 版)
4. Uptodate 临床顾问
5,Hurwitz Clinical Pediatric Dermatology - A Textbook of Skin Disorders of Childhood and Adolescence (第5版)
6,刘欣医生(微博名昡铁重剑),《都是沙子惹的祸?》,https://mp.weixin.qq.com/s?__biz=MzI1MTQ3NDMyMQ==&mid=2247487047&idx=1&sn=48dc754b96b418afbcda2a2a0150e051&scene=21#wechat_redirect
特别鸣谢:微博网友「两条街妈妈」。她提供了孩子患皮肌炎初期的照片。