牙疼看似是很小的一个事情,但疼起来可真要命!相信很多人都有所体会。那么现在临近春节了,很多牙科诊所陆续休假了。
当我们居家牙痛发作时,该怎么快速缓解呢?
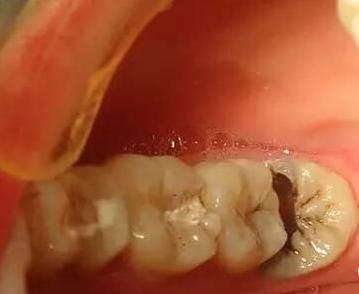
1、蛀牙痛
蛀牙痛,会对冷热食物尤其敏感,应避免进食过冷、过热食物的刺激,并认真刷牙,注意口腔卫生,防止食物残渣在龋洞内滞留。

2、牙髓炎痛
如果已经发展到牙髓炎,会引起十分剧烈的疼痛,如果没有办法及时去看牙医,可以吃点冰淇淋等冰凉食物,或口内含凉水,达到减轻疼痛作用。
或口服消炎药(如甲硝唑、替硝唑、头孢类)及止痛药(如布洛芬、散利痛)。但是,在牙科恢复正常接诊后,要及时去进行处理,接受根管治疗,才能彻底解决这个问题。

3、急性脓肿或智齿冠周炎
智齿发炎,引发冠周炎可以口服消炎或止痛药缓解,同时保持口内清洁 ,饭后及时漱口;尽量避免患侧咀嚼,选择温度适宜的流食或者半流食。
或者用生理盐水、漱口液或者1%-3%的过氧化氢溶液漱口,每次漱口含漱口液保持2分钟后再吐出,每日数次。但,不良智齿还是要尽早拔掉的,否则会成为一颗“定时*弹炸**”,随时发作牙痛。

面对突发情况,总的来说,就是三个重点
1、要勤刷牙,尤其是假期期间作息不规律,但是口腔清洁不能忘,吃完东西及时漱口,使用牙线清洁牙缝,保持良好的口腔卫生。
2、在必要情况下,如牙疼的实在难受,可以口服消炎、止痛药缓解。
3、情况严重时,还是要去医院相关科室做应急处理。
