病例:
患者妊娠35+1周,上腹痛一天,患者在发病前有暴饮暴食的诱因,于2006年1月18日上午出现上腹痛,以中上腹为主,呈持续性,进食后加重,伴有腹胀。无反酸、嗳气、烧心、呕吐、黑便等情况,人流两次,既往月经规律,痛经,末次月经为2005年5月17日;妊娠以来体重增加迅速,妊娠4个月时血甘油三酯轻度增高,以后未再随诊。

血常规 WBC17.33*109g/L,N0.92,HGB 124g/L,PLT 344*109g/L,血钙1.55mmol/L,Na+131mmol/L,血清甘油三酯19.2mmol/L,Alb35.4g/L,ESR12mm/h;CRP0.577mg/L,血糖13.4U/L.血淀粉酶243.5 U/L,脂肪酶1124U/L,便常规和便潜血阴性。血气分析PO269mmHg,PCO235MMHg;
腹部B超:发病后10小时腹部B超提示胰腺形态饱满;产科超声基本正常;胎心监护:胎心率170-177次/分,NST(+);
胸片:双侧肋膈角变钝;
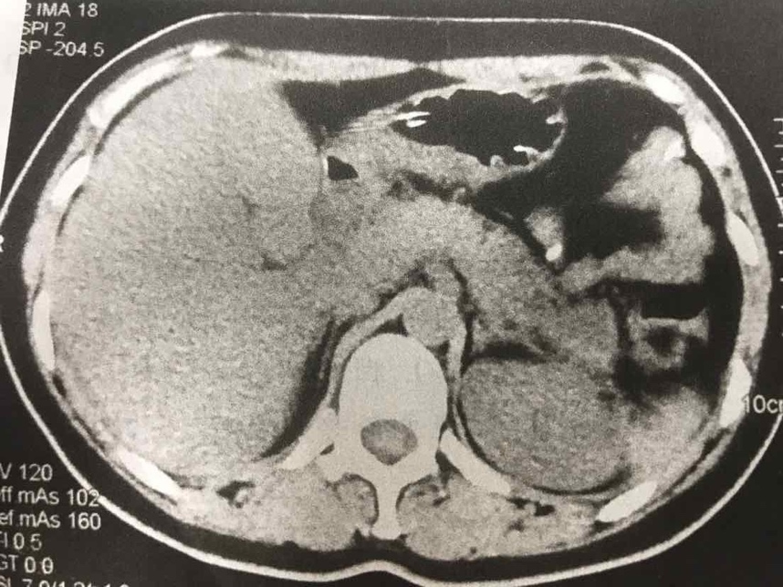
胸腹部增强CT:双侧胸腔积液,双下肺膨胀不全;胰腺周围脂肪密度不均匀增高,胰周及腹腔积液;肝内胆管轻度扩张。

重要的检查结果有三项:
1.血淀粉酶和脂肪酶增高;
2.腹部B超和CT提示胰酶病变;
3.产科B超和胎心监护排除产科急症。
结合患者的病史及上述检查结果,支持急性胰腺炎的诊断。
进一步进行分型:
患者Ranson评分>3分(血钙低,白细胞高,血糖高),BalthazarCT分级为E级,考虑为重症胰腺炎。
就病因进行分析:
该患者无胆源性胰腺炎证据:无右上腹痛,B超示胆管正常,ALP\GGT\ALT未见异常;无酒精因素;无手术和创伤史;无药物史;无其他少见原因如甲状腺旁亢等疾病。该患者入院时实验室检查甘油三酯19.2mmol/L,因此考虑高血脂症是该患者发病的主要病因。进一步的处理应注意监测生命体征,避免全身并发症,支持治疗,考虑终止妊娠的合理时机。

治疗方案:
1. 一般治疗:禁食、胃肠减压、静脉营养支持。
2. 及时终止妊娠:急诊科、消化科、妇产科、重症监护科等各科会诊后,均建议尽早终止妊娠。在全麻+局麻下行急诊剖宫产术,术中见乳糜样腹水200ml,手术顺利,术后转入重症监护病房。
3. 抑制胰腺分泌:给与生长抑素静脉泵入,疗程14天。
4. 早期应用抗生素:泰能0.5g,1次/8h,静脉点滴,疗程14天。
5. 早期给予空肠内营养:剖宫产术后第5天,给予留置空肠营养管,先给予葡萄糖盐水空肠泵入20ml/h,一天后给予百普素(短肽型肠内营养剂)空肠泵入20ml/h。遵循循序渐进的原则。
6. 抑酸治疗:静脉给予法莫替丁20mg,2次/日。

理由:
必须及时终止妊娠的指征:重症;明显的流产或早产征象,胎儿宫内窘迫;严重感染或MODS。规范应用抗生素、生长抑素非常重要。生长抑素及其类似物可以通过直接抑制外分泌而发挥作用。重症急性胰腺炎起病一周后,因继发感染的机会明显增加,故对重症胰腺炎提倡早期给予抗生素,抗生素根据药敏试验及抗生素穿透胰腺组织的能力,选择泰能,或三代头孢。及时应用肠内营养,可以减少全身性炎症反应综合征(SIRS),保证能量供应,避免肠衰竭,肠道细菌移位,减少或避免"二次打击"。

对于诊断急性胰腺炎的妊娠妇女,首先要明确疾病的分型,一般来说轻症急性胰腺炎妊娠患者,给予禁食水等内科保守治疗,病情多能缓解;对于重症急性胰腺炎妊娠患者,多科协作至关重要。只有做到多科室精诚合作,才能选择合适时机终止妊娠,在重症监护室严密监测生命体征,挽救多脏器功能衰竭,内科认真观察病情变化,及时调整治疗方案,挽救患者生命。
急性胰腺炎常见的病因为胆源性、饮酒、高脂血症等。如发现诱因,应尽可能去除。本例发作前有暴饮暴食病史,入院时实验室检查发现血脂增高,达19.2mmol/L,患者出院后应该嘱患者注意饮食,定期复查血脂,应用降脂药,加强宣教。
#清风计划# #2019算数健康大会# #健康科普大会#
有任何疑问,可以点击我主页左下角的“免费咨询”一栏,或者到平安好医生app直接搜索我的名字,找我详细沟通~
免责声明:部分图片来源网络,若有侵权,请联系删除!