点 击 邵 逸 夫 医 院 星 标 我 们

打嗝的体验每个人都有过
嗝~
是一口气喝完冰可乐的满足感

嗝,嗝,嗝!
往往是因为吃太急、笑太欢等等

那如果是停不下来的打嗝呢
嗝,嗝,嗝,嗝,嗝,嗝,嗝,嗝,嗝……
事情就没那么简单了!

一向身体健康的老李,最近就在医院好好上了堂课。
一天中午,老李吃完饭,开始莫名其妙地狂吐不止,一下午吐了10多次。以为是胃肠炎,到社区医院挂了两天盐水,呕吐是好起来了,但人的精神却越来越差。
而且,老李开始疯狂打嗝。
嗝,嗝,嗝……嗝,嗝!嗝,嗝,嗝,嗝~
老李身边的热心人纷纷给他传授止嗝妙招,比如大口喝水、憋气、拧耳朵根、针灸…各种老方法都试遍了,还是嗝,嗝,嗝……
家人见状,把老李送到了邵逸夫医院急诊室。
急诊医生仔细问了老李的病情,发现事情并没有那么简单。老李除了打嗝,最近还有视力下降,看东西重影,左侧太阳穴隐隐作痛。
医师敏锐的直觉提示:此人并非简单的肠胃炎,有可能存在神经疾病。所以第一时间请了神经内科会诊并收住入院。
医生找出罪魁祸首
竟然是脑子里长了肿瘤
神经科医师发现,除了打嗝,老李还有左侧眼睑下垂和左侧眼球“动眼神经麻痹”。
“呃逆(打嗝)的中枢在颅内,动眼神经的中枢也在颅内,且存在左侧颞部头痛,首先考虑颅内急性病变!”神经内科王谨主任医师第一时间将罪魁祸首锁定在颅内。
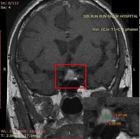
立即给老李预约了头颅磁共振检查。果然,查出老李的脑子中间长了颗鹌鹑蛋大小的垂体瘤!还伴有出血。

脑子里的肿瘤怎么会引起打嗝呢?
“打嗝”,在医学上被称为呃逆,本质是一种神经反射。“呃逆反射弧”一受刺激,一兴奋,我们就会控制不住地打嗝了。
常见的胃肠疾病刺激会引起呃逆,但其实很多人都不知道,中枢损害也是一大原因。
一般的“嗝,嗝,嗝”,也就是急性呃逆,每次持续几分钟,最长几个小时也就结束了。
当“嗝,嗝,嗝,嗝,嗝,嗝”超过2天时,我们称之为顽固性呃逆,这时候就不要再试什么偏方妙招了,赶紧到医院排查,大多数与胃肠道、中枢系统疾病(常见的如脑血管事件,脑肿瘤和外伤)有关。
老李打嗝的原因,是垂体瘤伴有出血,继发了肾上腺皮质功能减退、低钠血症导致的。
神经内科医生对症下药,仅一天时间,老李的打嗝就完全好了。后来又联系了垂体瘤方面的专家——神经外科主任杨树旭主任医师,为老李用微创的内镜手术解决了根本问题“垂体瘤”。肿瘤切除术后一周,老李就高高兴兴地康复出院了。

多了解一点
垂体瘤
垂体位于脑基底部,是颗小不点儿。
它长得虽小,作用却很大,可以说是人体内分泌的“司令部”。垂体含有不同种类的细胞,这些细胞可生成不同种类的激素。
垂体瘤是一种常见的脑肿瘤,绝大多数垂体瘤为良性,有一些甚至都没有症状(尤其是较小的腺瘤)。但是大部分垂体瘤会导致各种内分泌失调症状及肿瘤压迫症状。
垂体瘤会引起哪些症状?
月经期缺失或不规律,乳房有泌乳(女性)
性欲水平较低或勃起问题(男性)
肢端肥大症:部分身体组织(尤其是手部、足部和颌部)变得比正常情况下更大,通常历时较长
库欣综合征:可造成体重增加、高血压、骨质疏松和肌肉无力等
甲状腺功能:患者感觉震颤、紧张或疲倦
巨人症(儿童):这种疾病可让患儿生长非常迅速,身长高于同龄的其他儿童。患儿有时存在巨大的头颅
视力改变
头痛
如何治疗垂体瘤?
偶然发现且没有症状的垂体瘤
通常无需治疗。但是,需要定期随访来监测肿瘤变化情况。
较大的垂体瘤或引起症状的垂体瘤
通常需要治疗,不同的治疗方法包括:
药物
可缩小某些腺瘤,降低其生成激素的量。但是,药物并非对所有垂体瘤都有效。
手术
许多垂体瘤都采用手术进行治疗。近年来内镜经鼻手术发展迅速,使垂体瘤的手术疗效有了显著改善。手术时,医生会在鼻腔内做切口,然后用一种特殊的工具取出瘤体(如下图),头面部没有手术疤痕。

放疗
一般应用于手术后的辅助治疗,防止手术后残留垂体瘤再次增大。
治疗后,可能需要定期随访,以监测垂体瘤是否再次增大。部分患者还需要长期激素治疗来纠正体内激素水平。

王谨
神经内科主任医师
专长:对急慢性脑血管病的防治,各类神经系变性及脱髓鞘疾病,中枢神经系统感染等常见及疑难病具有扎实丰富的医治经验,尤擅长于癫痫的综合-合理治疗,对控制癫痫发作及提高病人生活质量有独到见解。近年来在国内领先开展原发性颅内低压病因诊断和硬膜外血贴治疗,取得显著成效,该原发性颅内低压,癫痫,神经影像。
门诊时间:
庆春院区:
周一上午(名医)
周三上午(头痛专家门诊)
下沙院区:
周四上午(名医)

杨树旭
神经外科主任医师
专长:颅内肿瘤、椎管内肿瘤、颅内血管性疾病、面肌痉挛和三叉神经痛等的微创治疗、癫痫的外科治疗以及重型颅脑外伤的救治,尤其在颅内动脉瘤手术夹闭,颅底肿瘤的手术治疗,经鼻内镜下鞍区肿瘤(垂体瘤等)切除等方面积累了丰富的经验。
门诊时间:
周四全天(专家)
周二下午(垂体瘤专病名医门诊)
供稿:邵逸夫医院 神经内科、神经外科
原创作品,转载请注明来源及出处
