半年没见的同学说我脸歪了。
回家对着镜子看了半天,好像,确实不一样了。到底发生了什么?

脸歪
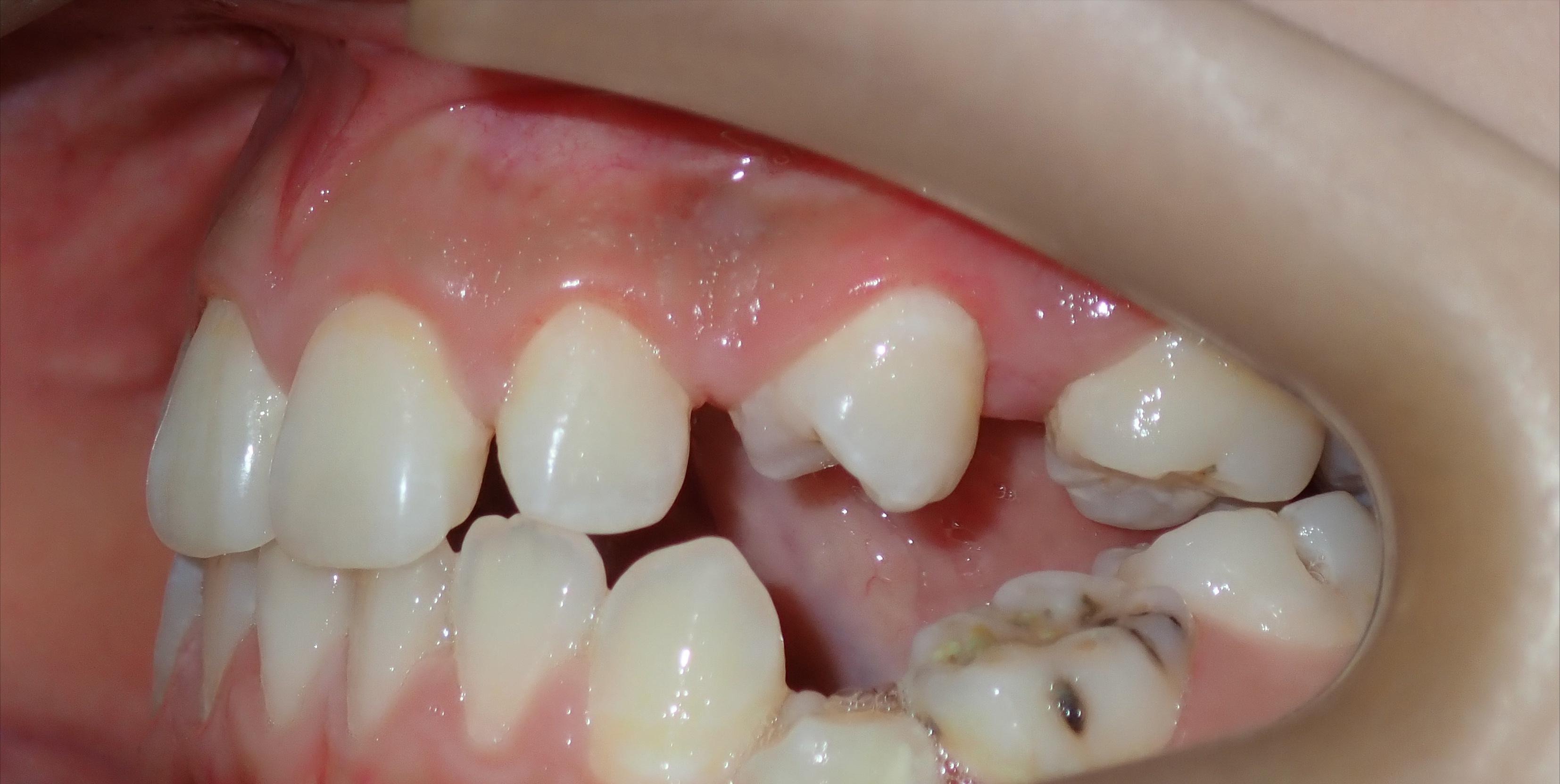
思来想去,想起去年拔了颗牙:去年有一段时间,左边一颗大牙疼得厉害,去口腔医院一看,医生说要做什么根管治疗,把牙神经杀死,然后再补起来,牙外面再套个假牙,全部做下来得几千块,我当时一寻思,这不抢钱吗?
回家后又疼了好几天,最后在小区门口的诊所花300块钱拔了。

拔牙了
拔了牙后那个位置就一直空着,我自己会下意识的不用那边嚼东西,毕竟食物压在牙龈上还是挺疼的,时间一长,也习惯了用右边的牙齿吃饭。
难道脸歪和这个有关系?

疑惑
一问医生,她说我这是偏侧咀嚼!
而长时间的偏侧咀嚼会造成很多问题,第一个就是脸会歪!
脸歪有两个方面的原因,牙齿和肌肉。先说肌肉,偏侧咀嚼会导致两颊的咬肌受力不均匀,一边长时间使用就比较发达,另外一边没有锻炼肌肉就会有一定程度的萎缩,于是出现了脸歪、大小脸。

咬肌
再有就是牙齿,长时间在一侧运动,下牙牙列就会带动下颌骨往运动的那一侧发生偏斜,严重的时候下牙会偏斜半颗门牙的距离!体现在脸上,就是偏下巴!
先不说健康问题,偏下巴、大小脸真的影响颜值!

偏颌对颜值的影响

偏颌对颜值的影响
当然,除了偏侧咀嚼等原因,还有一种情况可能会造成大小脸——瘦脸针。瘦脸针就是通过注射药物让肌肉在一定时间内吸收不到营养,从而萎缩,而某些因素会导致肌肉萎缩程度不一样,意外出现大小脸。

脸歪
第二个出现的问题,就是常用的那一侧牙齿长期负重,过度磨耗,导致牙齿敏感;不用的那边牙齿没有食物摩擦来进行清洁,牙结石堆积,诱发牙龈、牙周炎症。这些对牙齿的伤害一旦造成,就是不可逆的。

磨耗不平衡
第三个问题,会被多数人忽略:关节症状。
我们颞颌关节的形状和位置,相对来说是比较稳定的,偏侧咀嚼不仅给牙齿造成不平衡的磨耗,对关节也会产生不对称的力量,时间一长,关节头、关节盘、关节韧带都会受到一些损伤。

颞颌关节
而关节损伤不会表现得特别明显,偶尔有酸痛、弹响也容易被忽略,发展到最后张口受限、长期疼痛,严重的时候要通过手术才能缓解问题。
那么,怎么解决偏侧咀嚼的问题呢?
如果不是牙齿因素造成的偏侧咀嚼,只是单纯的习惯问题,那只能通过自己有意识的去纠正这个不好的习惯。

开颌
如果是因为锁颌、开颌等错颌畸形方面的原因,可以通过矫正解决。
如果是缺牙这类原因导致的偏侧咀嚼,那就要解决缺牙的问题,通过修复(假牙、种牙)来解决。

瘦脸针
那偏侧咀嚼的问题解决了,两边脸的肌肉还是不对称怎么办呢?瘦脸针可以帮忙,但是要慎重,找正规的医院来做这一项治疗。
我们一般建议每半年做一次口腔检查,见一次牙医,让牙医为你的口腔健康保驾护航,把所有的牙齿问题扼杀在摇篮里。