脊柱高难度手术揪出元凶“罕见病”
彰显三甲医院综合实力
近日,郫都区中医医院骨伤科团队成功完成一例高难度腰椎肿瘤切除术,为患者成功“排雷”,免疫组化火眼金睛,确定非常罕见的肿瘤原发性脊柱硬膜外淋巴瘤,为患者揪出元凶,彰显我院三甲医院的综合实力。

患者病情复杂,手术难度高!

脊柱的周围包绕着重要的神经血管
对脊柱肿瘤进行手术是医学界最难治疗的疾病之一
长久以来在世界范围内也被称为手术禁区
脊柱肿瘤的外科治疗过程,充满了未知和险境
对医生来说也是巨大的挑战
脊柱肿瘤,不是绝症,但后果严重
面对难题,骨伤科靠实力和技术迎难而上!
1年前,72岁的邹大爷(化名)开始出现左下肢疼痛、麻木,疼痛剧烈难忍,严重时完全无法行走,这让邹大爷十分痛苦,家人也是心急如焚。
当时,邹大爷通过吃止痛药、输液以及针灸理疗后,疼痛得以缓解。可好景不长,很快病痛再次找上门来,经过多次治疗后,邹大爷对自己的病变得“老道”了起来,开始自己在药店购买药品服用缓解疼痛。可毕竟自己也不是医生,经过这样的折腾,病情好像越来越严重了。
于是他前往其他医院经过一系列检查,医生告诉他考虑为肿瘤病变,并告知家属手术的风险极高,极有可能危及生命,不巧的是这也被邹大爷听到了,不愿进行手术,选择回家疗养。孝顺的子女并不打算消极治疗,经过打听了解到郫都区中医医院有一名脊柱外科手术很厉害的专家后,家人说服邹大爷带着他找到了我院骨伤科邓俊才主任,邓主任经过全面了解后,当即决定收入骨伤科住院部进一步诊断及治疗,他的细致入微的沟通和专业的态度让邹大爷放下了戒备的心,同意入院治疗。




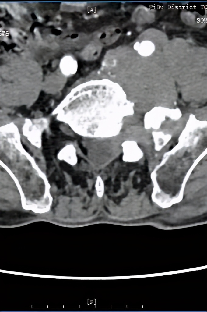
术前CT及MRI检查发现腰5/骶1椎管及左侧神经根管、椎旁软组织肿块
经过术前的检查和邓主任丰富的临床经验,使诊断渐趋明朗, 邹大爷的肿瘤需要进行手术切除,任其发展会产生严重的后果。
脊柱肿瘤在骨科领域属于顶尖的手术,难度极大,风险极高,这不单单需要手术者有精湛的手术技术,还是手术者心理与体力等综合素质的考验,同时也需要多学科合作,对医院的综合实力也有相当高的要求。
随着大力引进和外送学习培养人才,我院骨伤科专业水平不断提高,脊柱专业目前已能完全独立开展各类脊柱外科手术,包括脊柱椎间盘退变性疾病、骨折、感染、肿瘤、畸形以及各类微创脊柱外科手术,能够独立开展脊柱肿瘤的全脊椎切除术、脊柱畸形的矫形术等高水平脊柱外科医生才能开展的高难度脊柱外科手术。
所以我们有信心打赢这场仗!
精密合作,拆“弹”成功
骨伤科迎难而上!
术前: 积极完善术前准备及预案。经麻醉科、心血管病科会诊后,排除手术禁忌,同时由输血科保证血液供应,解决了“后顾之忧”。骨伤科组织科室医生讨论,最终决定手术方案。
术中: 手术如期进行,由骨伤科主任邓俊才主刀,科室医生精确配合。邓俊才主任长期从事脊柱外科工作,丰富的手术经验让他即使是面对这样高难度的手术也能从容应对。为确保手术的安全性和准确性,需进一步确定肿瘤的性质和病因,术中进行了冰冻切片,骨伤科根据病理科及时准确的诊断反馈,历经4小时,一气呵成,成功完成肿瘤切除。
术后: 生命体征平稳,转入重症医学科密切监护治疗。
目前患者恢复良好,等待全身情况允许后行下一步治疗。
免疫组化火眼金睛
帮患者揪出元凶——竟是罕见病!
手术过程中,病理科术中冰冻病理性检查排除神经源肿瘤,术后的病理学检查明确诊断,这为骨伤科精准手术起到了巨大的指导和帮助。

术中冰冻:小圆细胞增生性病变,恶性倾向

常规病理:恶性肿瘤,形态学倾向淋巴瘤

免疫组化:非霍奇金淋巴瘤,B细胞来源。
原发性脊柱硬膜外淋巴瘤(PSEL)非常罕见,虽然原发性脊柱硬膜外淋巴瘤占所有硬膜外脊柱肿瘤的10%,但硬膜外部位是淋巴瘤的罕见表现部位,仅占所有淋巴瘤的 0.1-3.3%。



由于PSEL的发病率低,因此缺乏既定的管理标准。传统上,外科手术是压迫脊髓的恶性肿瘤(例如PSEL)的首选治疗方法,特别是减轻脊髓压迫并获得正确的组织学诊断。如果存在脊柱不稳,可能需要前路或后路脊柱融合。但是,大多数学者建议采用综合治疗,包括手术,放疗或化疗。
目前,骨伤科对于骨科常见病的诊治已朝着“微创、无痛、加速康复”的方向快速发展,力争为区域内的大众提供更优质的医疗服务。
而对于罕见病的研究也迈上了新台阶。近年来,医院各个科室业务水平大幅提高,对罕见病的诊治能力相应提高,麻醉科、重症医学科、病理科、放射科、检验科等科室为临床的发展也做出了杰出的贡献。
团队介绍
科室简介

骨伤科为四川省重点中医专科,采用 “门诊-住院-手术-康复”一体化的先进理念,以精湛技术为基础,以优质服务为载体,全方位为骨科患者服务。科室医生共15人,副主任医师3人,硕士研究生导师1人,硕士研究生以上6人,目前建立了脊柱外科、关节外科、创伤骨科、骨科康复四个亚专业。
脊柱外科: 主要是脊柱骨折、感染、肿瘤、畸形、椎间盘退变性疾病等脊柱疾病的诊治,广泛开展各类脊柱外科手术,尤其在脊柱肿瘤(全脊椎切除重建)、脊柱畸形矫形、各类脊柱微创等方面独具特色。
关节外科: 针对各类关节炎、骨坏死、畸形、脱位、感染、肿瘤等疾病,开展髋膝关节置换、微创关节置换、关节畸形矫正、关节翻修、肿瘤关节置换,关节镜下半月板成形术、膝关节韧带重建术、肩关节稳定性重建术、肩关节盂唇修补术、肩关节肩袖缝合术等。
创伤骨科: 继承了中医骨科的优良传统,并坚持先进的治疗理念和技术,在常见四肢骨、多发伤、老年骨质疏松骨折、复杂骨折、高龄患者骨折、骨折微创治疗等方面具有丰富的治疗经验。
骨科康复: 引进先进的康复理念,形成了骨科-康复一体化的治疗模式,结合中医特色优势,开展针灸、推拿、穴位注射、穴位敷贴、各类康复训练等方法,缩短骨科患者的康复时间,促进功能的进一步恢复。
脊柱外科专家简介

邓俊才
副主任医师
骨伤科主任
硕士研究生导师
成都中医药大学硕士研究生导师。先后在第三军医大学、全军*战野**外科研究所、成都中医药大学、四川省人民医院学习工作。
擅长各类脊柱外科疾病的诊治,尤其擅长脊柱肿瘤的全脊椎切除、各类脊柱畸形的矫形及各类微创脊柱外科手术。
曾获中华医学会骨质疏松与骨矿盐分会“骨松实力”总决赛二等奖,中国医师协会骨科医师分会“第三届骨科规范化手术视频征集评选”总决赛脊柱组亚军,2018年中国骨科最具影响力医师风云榜脊柱专业100强,2019年中国骨科区域豪杰榜西南地区50强。现任中国医师协会骨科医师分会青年讲师团讲师,中国残疾人康复协会肢残康复专业委员会委员,中华临床医师杂志特约编辑。先后在国内外学术期刊上发表文章10余篇,参与多项国家级及省部级科研课题,参编著作有《实用骨关节结核病学》(副主编)、《创伤骨科学》(副主编)等。

张建
副主任医师
骨伤科副主任
泸州医学院临床医学本科毕业,先后在四川大学华西医院及四川省骨科医院进修学习。
擅长脊柱骨折、开放性骨折、复杂性骨干骨折、关节内骨折、骨盆骨折手术,胸腰椎骨折经皮椎弓根螺钉内固定手术,腰椎退变性疾病TLIF手术,腰椎间盘突出症经皮椎间孔镜手术,老年骨质疏松性胸腰椎骨折经皮椎体成形等手术治疗。四川省康复医学会脊柱脊髓损伤专业委员会脊柱微创学组委员。
来源:郫都区中医医院