
医生语:
一位老年性痴呆患者,出现严重的精神病性症状,对于精神科专业人员来说,如何选择抗精神病药物是一个巨大的挑战;如果,这位患者又存在严重的躯体疾病,对于治疗的抉择,更是难上加难........
83岁的高奶奶
是一位阿尔茨海默病患者,
最近她从早到晚都在自言自语,
脾气暴躁,晚上也不睡觉,
不让护工阿姨给其擦身、洗漱,
甚至动手打人、踢人。

郭忠伟主任团队对高奶奶进行了详细检查和心理量表评估,神经精神量表评分(NPI):20分,诊断为“ 阿尔茨海默病伴幻听症状 ”。
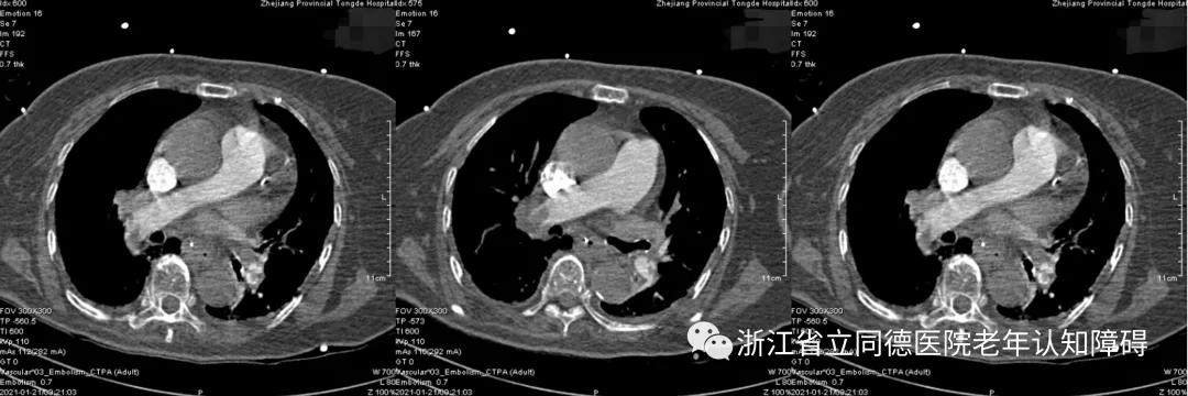
然而,高奶奶的特殊疾病经历使医生对选择抗精神病药物却有了顾虑:原来在此之前1个多月左右高奶奶因呼吸急促、氧饱和度下降曾在重症监护病房(ICU)闯过鬼门关,当时高奶奶的血液检测: 氧合指数仅100mmHg,D-二聚体>30mg/L ,胸部CTA检查提示左右肺动脉主干及多发分支栓塞,确诊“ 肺动脉栓塞 ”,病情十分危重,经过抗凝、呼吸机辅助治疗,高奶奶“肺栓塞”病情好转。

肺CT:肺栓塞
抗精神病药会大大增加血栓形成的风险,面对近期内有“肺栓塞”病史的高奶奶,我们该如何抉择,要不要使用抗精神病药物?选择哪种抗精神病药物效果最好、不良反应最轻?
一边是高奶奶目前这样精神紊乱的状态,如果不及时有效的干预,对她自己也是一种耗竭;一边是抗精神药物不良反应可能带来的生命威胁。如何才能让这两个“跷跷板”处于一个平衡的状态呢?老年认知障碍团队的郭忠伟主任提出可进行 药物基因检测 来选用最佳的抗精神病药物进行精准治疗。高奶奶家属知情后,同意。

基因检测报告图
结合高奶奶的临床症状和药物基因检测报告,郭忠伟主任团队为高奶奶选择了最佳的抗精神病药物-- 奥氮平片 ,根据患者的病情变化从小剂量开始,每晚1.25mg口服,根据病情变化缓慢调整剂量,约半个月后,高奶奶的病情得到了很大的改善:白天自言自语也显著减少了,脾气变得温和,能和陪护和睦相处,听从陪护的生活起居安排,晚上睡觉安稳,神经精神量表评分(NPI):8分, 此时的奥氮平片剂量是7.5mg 。期间高奶奶没有发生过胸闷气促症状,监测奥氮平血药浓度在治疗范围,定期复查D二聚体未见升高, 氧合指数稳定在500-600mmHg 。
但是大概用药1个月的时候高奶奶出现了流涎、乏力的情况,郭忠伟主任团队分析后,考虑是奥氮平药物的不良反应,于是逐渐减量,约1周左右减量至每晚 2.5mg ,这时候高奶奶凭空对话又多了起来,有时候会发脾气,和陪护相处总体还和睦,考虑到高奶奶的精神症状再次有了波动,且奥氮平血药浓度在治疗范围下限,故停止继续减药。
大概过了5天,高奶奶流涎明显减少了,不再有乏力感,走路也有力气了,还常常开心地和陪护一起打扑克牌。后续在奥氮平每晚2.5mg的用量下,高奶奶病情一直平稳,复查D二聚体、血气分析也均在正常水平。

D二聚体动态检测图
在 精准医疗 的指导原则下,通过 药物基因检测 和 药物血药浓度监测 两个利器,郭忠伟主任团队选用合适的药物、找到药物最优的治疗剂量,为高奶奶设计了最平衡的治疗方案。这个不可多得的方案为高奶奶恢复平衡状态奠定了坚实的基础,高奶奶的女儿见状很是欣慰。

小贴士
1. 伴有严重躯体疾病的阿尔茨海默病患者,选择抗精神病药物对于精神科医生来说是一个巨大的挑战。
2. 目前,药物基因检测和血药浓度监测是精神科医生更加科学选药、安全用药的技术手段。
药物基因检测是通过已知的基因组学理论,对患者药物代谢酶和药物作用靶点基因进行检测,以判断患者对药物所表现的个体差异,基于个体差异化设计出针对该患者的最佳治疗方案。
血药浓度监测是以药代动力学原理为指导,分析测定药物在血液中的浓度,尤其适用药物依从性难以判断、药物耐受性不佳、治疗剂量下无效、药物相互作用的情况,可以用于指导用药剂量优化。
上述两者方法结合已经成为对患者进行精神药物治疗的重要工具。临床采用两者相结合的方法使给药个体化,以期待达到治疗效果最大化和不良反应最小化,达到临床安全、有效、合理用药,可作为选择用药和剂量调整的重要参考。
人物简介

郭忠伟 精神医学专家
郭忠伟,浙江省立同德医院老年三科主任、“记忆力减退”门诊创立者。浙江省551高层次人才。擅长:老年期痴呆诊治。门诊时间:记忆力减退(周五全天,翠苑院区;周一下午,天目山院区);睡眠医学中心门诊(周三下午,翠苑院区)。

周颖璨 中西医结合医师
周颖璨,女,中西医结合医师,硕士研究生,浙江省立同德医院认知障碍团队核心成员。擅长:中西医结合治疗老年期痴呆。
本文作者/周颖璨
内容审核/郭忠伟