或许有些养殖户还不知道什么是猪附红细胞体病,下面就了解下。
引言:
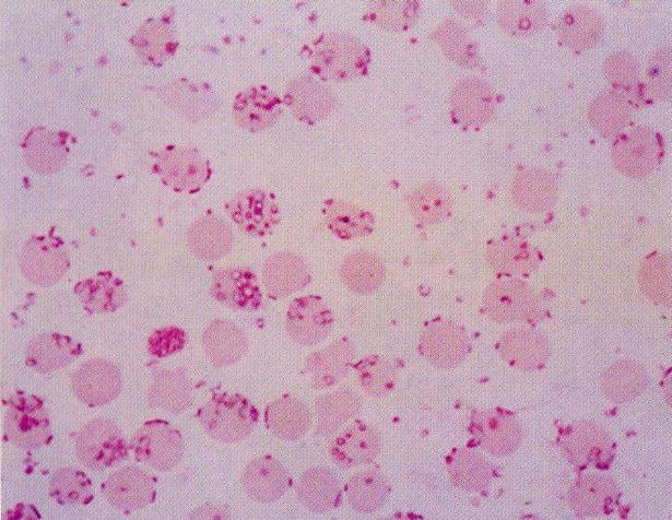
猪附红细胞体病是一种由附红细胞体感染引起的传染病,人畜都可感染。此病在我国已经出现20余年,近年有趋于严重的发展态势,很多养殖户损失惨重。

感染对象:
猪附红细胞体病除了猪以外的其他动物发病率不高,且可发生在各年龄的猪,其中断奶后和阉割后几周的仔猪最容易被感染,其次是母猪,所以是养猪户非常头疼的病。

此病是怎么传播的?
经过翻阅资料发现,它的传播途径目前还并不十分明了;已知的是通过血液传播的,如猪咬架受伤、舔食伤口,也可通过吸血昆虫传播。

临床症状
发病表现为皮肤发红,精神萎靡,贫血,黄疸等体温可达40~42℃,期间伴有喘气、咳嗽食欲减退或废绝,两耳发绀;发病后期皮肤苍白,体温下降,生命衰竭。
治疗措施
1、注射治疗
打四环素、多西环素、磺胺间甲氧嘧啶钠、土霉素等。一般连续打3-4天可见疗效
2、拌料治疗
勉益力管家+混感抑菌素;勉益力管家一包拌1000斤饲料,混感抑菌素,一桶拌1吨饲料,一小袋拌200斤饲料。治疗和预防猪瘟、口蹄疫、传染性肠胃炎、附红细胞体、肺炎、圆环等病毒性疾病有显著疗效。

防治措施
1、疫苗注射
此病目前并无免疫疫苗,但可做好猪瘟、蓝耳、猪链球菌、伪狂犬等病的疫苗防疫,可以保证猪处于高度免疫状态,能有效防止猪附红细胞体病的混合及并发性感染;

不锈钢注射器
2、加强管理
加强饲养管理,定期消毒,保证猪舍卫生,经常喷洒杀虫药剂防蚊虫,合理分配猪只密度,以防止互相咬架;医用工具确保不重用,严格消毒
3、坚持自繁自养
建议采用自繁自养,全进全出的饲养模式;外购的猪要做好血液检查,并隔离观察,确保其健康后再混养
欢迎大家积极讨论,提出见解!