患者:男,63岁,既往体检,无糖尿病及高血压病史

病史
2019年9月13日无明显诱因下出现下肢疼痛,疼痛较重,难以行走,持续无缓解,在当地医院就诊,予以对症支持处理后,症状缓解。
2019年9月15日出现发热伴寒战现象,体温最高达39℃,在当地予以治疗,症状未见缓解,并出现呼吸困难现象。当地医院就诊,肺部CT提示肺部出现弥漫性病变,予以气管插管机械通气治疗,但氧合难以维持。
2019年9月19日转入安徽省立,收治急诊ICU进一步诊疗。
检查
2019年9月19日入院时
血常规:白细胞增高19.87*10^9/L;血小板降低 34*10^9/L

生化:肌酐增高 164umol/L、PCT增高 26.02ng/ml


2019年9月20日
血管炎及自身抗体均为阴性


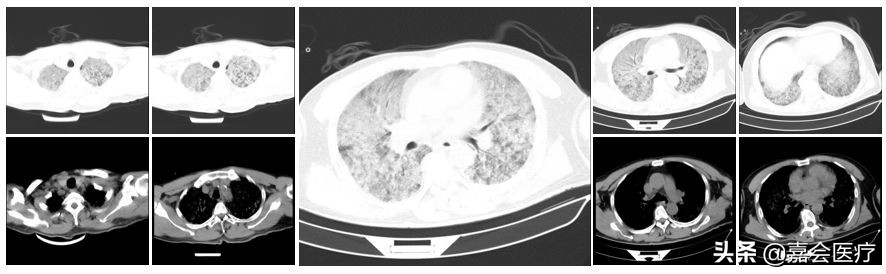
影像检查

初期治疗
激素(甲强龙0.5g);
抗病毒(达菲+阿昔洛韦);
抗细菌(万古+阿奇霉素);
ARDS六步法,拟行VV-ECMO治疗。
是什么病原体引起如此发热、呼吸困难和奇怪的腿痛?

病原学诊断
肺泡灌洗液
• 二代测序:结果如下

二代测序检测出这么多菌,哪个才是真正的病原体呢?

真相只有一个:钩端螺旋体(问号钩端螺旋体)
钩端螺旋体病
早期:钩端螺旋体血症,表现为急性发热、全身酸痛、结膜充血、腓肠肌压痛、浅表淋巴结肿大、出血倾向等
中期:为各器官损伤和功能伤害
晚期:各种变态反应后发症
钩端螺旋体病三症状:寒热、身痛、全身乏力
钩端螺旋体病三体征:眼红、腿痛、淋巴结肿大
后续治疗
青霉素、头孢曲松、头孢噻肟钠静脉注射,疗程7天。

本案例中肺泡灌洗液及二代测序病原微生物基因检测技术再立一功,嘉会检验也有病原微生物基因(二代测序)检测哦~
版权声明:文章内容由嘉会医疗医疗团队撰写并审核,任何其他机构或个人未经允许不得转载。