当今工作、生活压力都越来越大,网上每天都有过劳之后突发心脏骤停的报道,每一次发生的时候作为一名心内科医生一看到报道尚且触目惊心,何况老百姓呢?
每次发生这种情况的时候,作为一名医生也会根据网上的报道分析一下病情,无奈每次都因线索太少,最后归为心源性的原因。

我相信每一位发生心脏骤停的患者之前都一定有各种各样的症状,也可以说是蛛丝马迹,但是无奈,患者不懂得这些症状的重要性,可能都被忽略了。最后只能归结为突发情况。
临床工作很多年,见过太多各种各样的被忽略的症状,小症状→中症状→大症状,而这些小症状也很多,今天跟大家着重谈一下心慌。
心慌,临床上也成为心悸,是一种很常见的临床表现。
是一种心脏跳动的不适感或心慌感,心率快的时候感到心脏一种跳动的不适,心率慢的时候则感到跳动的有力感,心率不快不慢的时候则有可能是早搏、缺血和其他心律失常等情况。
所以说不管心跳是快是慢是正常,都会有心慌的感觉,并不一定是心率加快独有。
而引起心慌的原因很多,精神紧张、饮酒、药物原因、贫血、甲亢、发烧、低血糖等原因都会引起,还有中青年女性多见的心脏神经*能官**症,这些都会引起心慌,这些原因大多是可逆的,或者说生理性的。

下面太谈一谈心内科最常见的心慌原因。心动过速,专业名词有室上速,房性心动过速;心动过缓,专业名词有高度房室传导阻滞,窦性停搏等;还有房性早搏,室性早搏,心房颤动心房扑动等;还有心肌缺血引起的,比如冠心病等。
昨天入院的一名70岁老大爷就是一个典型的心慌患者。老大爷既往头晕病史多年,一周前发作头晕的时候出现了明显的心慌,老大爷警惕性非常高,来到了我们医院心内科门诊,行心电图是ST-T改变,这个改变没有特异性,需要动态的看,但是很多基层医院的大夫随便就给患者下了个心肌缺血的诊断,然后背上好多年冠心病的帽子,很多貌似缺血的心电图其实没有什么意义。


接下来我们给老大爷做了个心电图运动负荷试验,就是运动状态下的心电图,评估运动状态下有没有心电图缺血的动态改变,比如运动后出现心慌缺血较前加重,休息后明显减轻,我们就诊断为心电图运动负荷试验阳性。
阳性就需要继续往下走,如果阴性一般就门诊随诊了。
接下来有两条选择,门诊行冠状动脉增强CT检查,或者说直接入院行冠状动脉造影。
这位老大爷选择了直接入院行冠状动脉造影,这个选择的好处就是直接确诊,严重的话还可以直接治疗。
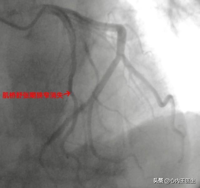
今天上午,这位大爷行冠状动脉造影提示冠状动脉肌桥,这就很明确的排除了冠心病。肌桥一般问题不大,就是血管在部分肌肉的下面穿过,可能活动状态下影响部分血供,心脏肌肉收缩的时候血管被压迫变窄,舒张期狭窄明显解除。


这就是老大爷心慌的诊断过程。
每个人的病情不一样,心慌原因也不一样,这位大爷的诊断过程得以顺利进行很大程度上得益于大爷相信我们。
不要惊慌失措自己吓自己,也不能马大哈什么都不在乎,放松心态,从容就医。
我是心内科王医生,做大众看得懂的科普,尽我所能,修己医人。