
作者:Tsai
本文为作者授权医脉通发布,未经授权请勿转载。
颅内占位性病变是神经科的“百变星君”,不仅类型多样,位置各异,而且擅长伪装。颅内囊性病变是其中的一大类,病情预后可好可坏,相对其他性质的病灶而言在影像学上更易识别。本文主要从影像学角度出发,根据颅内囊性病灶的病因、病灶分布及影像学特征性表现,探究脑子里“囊泡”的秘密。
来挑战:看图识病
颅内囊性病变(Intracranial cystic lesions,ICL)相信大家并不陌生,首先先放几张图,大家猜一下是什么疾病,答案文末揭晓。

图1

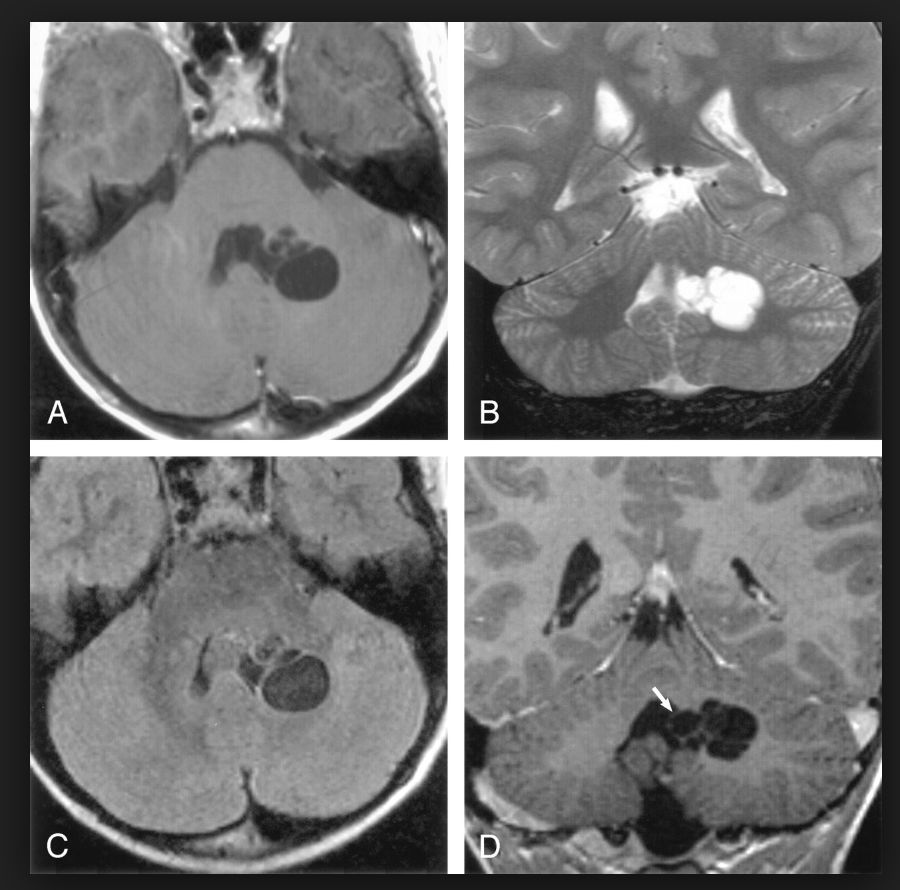
图2

图3

图4

图5
线索一:原发病
ICL包括先天性、感染性及肿瘤性囊性病变,不同病变囊液性质不一。根据患者病史或是既往影像学报告,可大致判断病因方向,帮助疾病的良恶性分类。

线索二:病变部位
ICL在颅内的发病部位具有特征性,在MRI上根据病灶分布位置可进一步缩小诊断范围。表2归纳了常见ICL的病变病灶分类。

在疾病诊断方面,首先需要根据颅内病灶位置,明确是颅内或是颅外病变,同时根据与小脑幕的相对位置进一步区分,是否靠近中线,是否位于脑室内等进一步分析。

图1 颅内囊性病变的鉴别诊断流程
线索三:影像学表现
完成ICL病灶部位的诊断后,需要进一步根据MRI等影像学表现进一步鉴别。根据患者是否合并肿瘤,将相关常见疾病的MR表现归纳如下:

总结
本文主要以颅内囊性病灶的影像学表现为线索,从病灶病因、分布位置、MR表现等角度帮助鉴别类似疾病,帮助早期诊治。在临床实践中,因个体差异性以及疾病病程差异,其MR表现或许并不典型,需要进一步结合其他辅助检查明确。
答案揭晓图1 脑内皮样囊肿
图2 脑脓肿
图3 扩大的血管周围间隙
图4 星形胶质细胞瘤
图5 表皮样囊肿
参考文献:
[1] Taillibert S , Le Rhun E , Chamberlain M C . Intracranial Cystic Lesions: A Review[J]. Current Neurology and Neuroscience Reports, 2014, 14(9):481-86.
[2] Ahlhelm F , Shariat K , S. Götschi, et al. Intracranial cystic lesions[J]. Der Radiologe, 2018, 58(2):120-131.
[3] 高波 吕翠. 神经系统疾病影像诊断流程[M]. 人民卫生出版社, 2014.