来源:文章来源:华夏影像诊断中心
先天性髋关节脱位
先天性髋关节脱位(Congenital dislocation of the hip,CDH),即为发育性髋关节脱位(Developmental dislocation of the hip,DDH),发育性髋关节发育不良(Developmental dysplasia of the hip,DDH),是髋臼、股骨近端和关节囊等均存在发育上缺陷而致关节的不稳定,直至发展为髋关节的脱位。
是儿童骨科最常见的髋关节疾病,发病率在1‰左右,男:女比约为1:6,左侧多于右侧,约2:1,双侧约占35%。DDH包括髋关节脱位、半脱位和髋臼发育不良,较以往“先天性髋关节脱位”的名称更能够代表该病的全部畸形。
由多因素所致。该病的危险因素有:女孩、第一胎、多胎;有家族史者;胎位不正,如臀位,羊水少;有足部跖内收畸形或肌性斜颈等;错误的襁褓方式-蜡烛包。北欧、北美多,非洲很少,我国北方多,南方少。(如意大利,德国,我国东北地区习惯性将婴儿伸直包裹,发病率较高。而热带地区习惯性将婴儿绑在背部,髋关节呈外旋,外展位)。
头臼同心是髋关节发育的先决条件。
分析:
1、髋臼:
正常呈拱形球窝状。正常髋臼发育以横向生长为主,其速度为2.1mm/年,6~8岁后髋臼外缘向下倾斜生长。
DDH患儿髋臼发育时其生长发育时横向生长速度略快于正常,但无向下倾斜生长的趋势。



2、股骨头:
正常呈球形,脱位后由于受压变为不整的椭圆形,头臼不称可造成复位困难。关节软骨面一般光滑。
脱位后可使得股骨头骺发育迟缓、二次骨化中心出现延迟。
股骨头骨骺发育情况:正常出生后,
6个月至6岁为馒头形
3岁至6岁为对圆形
6岁到7岁呈现半圆形
男性17岁闭合,女性14岁闭合。

3、股骨颈:
颈干角:DDH可合并发生髋内、外翻。
前倾角:正常新生儿25~35°,随年龄逐渐减小。
脱位后肌肉收缩使头向前旋转,前倾角变大,可达 60°以上。
4、骨盆与脊柱:
脱位侧骨盆常伴发育异常,如:假臼形成、髋臼基底增厚、坐骨结节分开、耻骨联合增宽等。
单侧脱位后骨盆发生倾斜、代偿性脊柱侧弯出现,并随年龄加重。
双侧脱位腰椎前凸显著增加、臀部后翘、骨盆较为垂直。
5、盂唇:
胚胎六周,髋臼和股骨头之间由间质细胞连接而出现间隙,中间的间质细胞逐渐吸收,形成关节腔。任何刺激使间质细胞停止吸收,即出现盂唇。胚7~8周,关节囊、髋臼盂缘形成。
DDH盂唇过度增大、内翻可阻碍复位,尤其合并头臼不称时,常常复位失败。
6、关节囊:
正常关节囊起于髋臼缘、止于大小转子间嵴,新生儿关节囊厚度约0.5~1mm。
脱位使关节囊拉长,其前方由于髂腰肌压迫而出现压迹,造成挛缩,甚至呈现葫芦状,阻碍股骨头复位。有时拉长的关节囊与髂骨翼产生粘连,关节囊前方完全覆盖髋臼缘,形成类似皮鼓臼,造成复位不能。
随年龄增长及负重的影响,关节囊顶部的持重部位可显著增厚,达3~8mm。
7、圆韧带:
脱位后圆韧带改变不一,部分病例拉长、增宽和肥厚。部分病例可局部消失或完全消失。
正常小儿圆韧带内血管在不同时期发生变化,脱位者多数栓塞。

8、肌肉与髋关节横韧带:
肌肉:脱位后髋周肌肉均相应发生挛缩、肌腱纤维变性,其严重程度与年龄和脱位高度成正比。
髋臼横韧带:脱位后髋臼横韧带比正常更为突出、硬韧和增宽,甚而影响股骨头中心复位。
DDH主要病理特点:
①髂腰肌紧张、挛缩,压迫髋臼的入口;
②关节囊变形呈葫芦样;
③股骨头颈变形,主要有股骨头呈椭圆形,股骨颈短,股骨颈前倾角增大;
④髋臼变形,主要有髋臼窝浅小,呈三角形,髋臼指数增大,关节盂唇内卷;
⑤股骨头圆韧带增粗变长,关节软骨变性等。
髋关节脱位也可分为两大型。
一.单纯型
1、髋关节发育不良:又称为髋关节不稳定,X线片常以髋臼指数增大为特点,多数采用髋关节外展位而随之自愈,约1/10将来发展为先天性髋脱位,还有少数病例持续存在髋臼发育不良,年长后出现症状。
2、髋关节半脱位:X线片有髋臼指数增大,髋臼覆盖着部分股骨头,这是一种独立的类型,可长期存在而不转化为全脱位。
3、髋关节全脱位:股骨头完全脱出髋臼。
二.畸形型
典型者呈双髋脱位,双膝关节处于伸直位僵硬,不能屈曲,两足平足呈外旋位,还常合并上肢畸形 。该型治疗困难,疗效不佳,均需手术治疗。
DDH根据股骨头脱位的高低可分为四度:
Ⅰ度:股骨头仅向外方移位,位于髋臼同一水平;
Ⅱ度:股骨头向外、上方移位,相当于髋臼外上方水平;
Ⅲ脱出的股骨头位于髂骨翼的部位;
Ⅳ脱出的股骨头上移达骶髂关节水平。
X线:
股骨头近端骨化中心出现(4~6月龄),即可推荐。
平片常规摄双髋正位和蛙式位片,典型表现包括:
①股骨头向外上移位;
②股骨头骨骺发育小、不规整,或出现延迟;
③髋臼顶发育不良呈斜坡状,髋臼角加大,可达50° - 60°;
④患侧股骨发育较细小,股骨颈短缩。
⑤骨盆:单侧脱位骨盆倾斜,双侧脱位骨盆较垂直、前倾。
⑥包绕股骨头的半弧形关节囊其上缘与髋臼顶不相接,其上方可见三角形透亮区。

上图:骨盆正位

上图:骨盆蛙式位
1.Von-Rosen (外展内旋位)摄片法

婴儿仰卧位,双下肢外展45度,尽力内旋位摄片。
正常时骨干轴线向上的延长线经髋臼外缘相交于腰5与骶1的平面以下。但脱位时此线经髂前上棘相交于腰5骶1平面以上。

2.骨盆平片测量法

如图所示两侧髋臼Y形软骨连成为Hilg-eneriner线,简称为H线,股骨上端距H线之距离为上方间隙。股骨上端鸟嘴距坐骨支外缘为内侧间隙,正常均值上方间隙为9.5mm,内侧间隙为4.3mm。若上方间隙小于8.5mm,内侧间隙大于5.1mm应怀疑髋关节脱位。若上方间隙小于7.5mm,内侧间隙大于6.1mm可诊断为髋关节脱位,此法简易可靠。

3.Perkin象限

当股骨头骨骺核出现后可利用Perkin象限,即两侧髋臼中心连一直线称为H线,再从髋臼外缘向H线做一垂线(P),将髋关节划分为四个象限,正常股骨头骨骺位于内下象限内。若在外下象限为半脱位,在外上象限为全脱位。


新生儿正常股骨上端鸟嘴状突起位于内下象限内。若在外下象限为半脱位,在外上象限为全脱位。

股骨头预测骨骺法
即以股骨颈上缘为底边,作一等边三角形,三角形顶点为预测股骨头骨骺,再结合Perkin方格法判断。


4.髋臼指数
从髋臼外缘向髋臼中心连线与H线相交形成的锐角,称为髋臼指数。
出生时,髋臼指数为25.8°~29.4°,6个月婴儿19.4°~23.4°,2岁以上者在20°内。
当小儿步行后此角逐年减小,直到12岁时基本恒定于15度左右。大于正常值者说明臼顶倾斜度增加,为髋臼发育不良。多数学者认为超过30°就有明显脱位趋向。


5.CE角
也叫中心边缘角(center edge angle),即股骨头中心点与H线的垂线,髋臼外缘与股骨头中心点的连线所形成的夹角。
其意义是检测髋臼与股骨头相对的位置,对髋臼发育不良或半脱位有价值。
此角正常范围为20°~46°,平均35°。15°~19°可疑;小于15°甚至负角,表示股骨头外移,为脱位或半脱位。


6. Shenton线:
正常闭孔上缘弧形线与股骨颈内侧弧形线相连在一个抛物线上,称为Shenton线,髋脱位、半脱位病例,此线完整性消失。


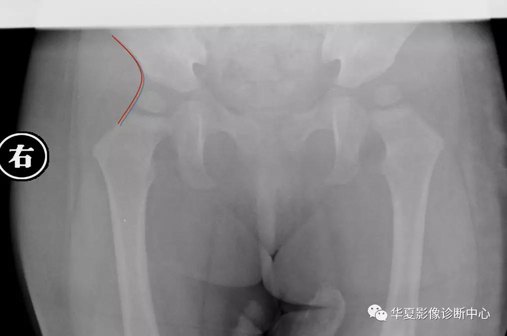
7.外侧线(Calve线)
外侧线(Calve线)即髂翼的外侧面与股骨颈外侧面的弧形连线,正常为连续的。


8.Sharp角:
该角对Y字形软骨闭合后检测髋臼发育不良有意义,它不是诊断髋脱位一项指标,而是随访判定髋臼发育情况的指标。即两侧泪点的连线和泪点与髋臼外缘连线所形成的夹角。测量正常值约男为32°~44.5°,女为34.5°~47.5°。

9.AHI
是检查髋臼对股骨头的覆盖情况,即股骨头的内缘到髋臼外缘的距离(A),与股骨头最大的横径(B)的比值。
AHI=A/B×100;其正常范围为84~85。

【版权声明】本平台属公益学习平台,转载系出于传递更多学习信息之目的,且已标明作者和出处,如不希望被传播的老师可与我们联系删除