1、什么样的眼睛才叫下三白眼(下睑退缩)?
如图所示,下三白眼指的就是一个人的眼睛眼珠子靠上,下睑缘位置偏下,黑眼珠被全部暴露,所以下睑的露白就增多。正常情况下下睑缘是和角膜缘相切,下三白即下睑缘低于角膜缘之下,医学上叫下睑退缩。


这种情况多见于先天性的,但随着现在网红眼的流行,特别是下睑下至手术的兴起,很多下至术为了一味的增大睑裂,造成下睑退缩(下三白眼外观)。


2、下睑下至手术导致人为故意的下三白眼(多为下睑退缩)外观


如上图为典型的下睑下至手术导致的下睑退缩(下三白)可怕外观,我想问问有多少人能接受这种术后外观?至少我个人是反对做成这样的。我认为一个人的眼睛大,是为了有神,但不是一味的追求的大而做下至手术让下降缘足够的下移造成人为的下三白眼。当然也有人说,很好啊,带个大美瞳就好看了。但我个人是绝对反对这样做的。
3、后天出现的下三白眼多是因为了去除多余的下睑皮肤的眼袋术导致,和下至手术
下睑退缩(下三白)还要一个重要原因,就是眼袋去除术,总以为下睑皮肤可以通过多去点来达到皮肤绷紧没有皱纹的程度!这是大错特错的想法!往往由于经验不足的医生,为了顺应患者的要求(去除下睑皱纹),而不顾后果的大量去皮,导致缝合后由于重力的关系,整个中面部将下睑缘“拉”下来,使睑缘离开本应该贴附的眼球,同时向下移位(即导致下睑退缩),甚至睑缘畸形,结膜外露,这种情况修复比较棘手。

这种下睑退缩的矫正通常要采用成形术或睑板条技术,术后短期内外眼角的形状会变形,眼睛外观变小,这是需要手术患者术*考前**虑清楚必须接受的事实。
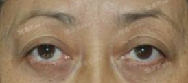
4、天生的下三白眼睛要警惕上睑下垂的存在
上睑下垂一般给人眯眯眼、小眼睛的感觉,但这里需要特别提醒一种情况,就是下睑退缩。合并下睑退缩的上睑下垂,即使上睑盖住黑眼珠很多,有时候整体依然显眼大(但实际眼大无神),这种情况很容易被先入为主的大眼现象蒙骗,被误判为没有上睑下垂。

(上睑下垂患者伴下睑退缩)
我的临床工作中很多人问我,为啥我的下睑露这么多眼白?为啥黑眼珠感觉“跑“了上去?这里简单对上睑下垂患者出现下睑退缩的原因作一个解释。非专业人员可能是比较难懂,我们直白一点可以这样理解:眼球上有两块肌肉是协同的,一块是提上睑肌(我们常说的上睑提肌)和米勒氏肌(Müller肌),另一块是上直肌,上直肌是直接与眼球表面相连,上睑提肌和米勒氏肌是与睑板相连,如果上睑提肌和米勒氏肌没有力量了,上直肌的力量就会加强,上直肌的力量加强就相当于眼球在“往上转”, 眼球在“往上转”的时候而下睑缘的位置不会一起上移,这就相当于黑眼珠“往上跑”了,就像翻白眼那个样子,当我们通过提肌手术,把上睑提肌和米勒氏肌的力量加强的时候,上直肌的力量就相对放松了下来,眼球就比较正位了。

这就是通过矫正上睑下垂改善下睑退缩案例,对于此类情况,有的人改善明显,有的人改善相对没那么明显,提出这个现象主要是想提醒大家:下睑退缩、上睑盖住黑眼珠较多的患者,在未手术前会给人一种大眼的假象,即眼大无神,相较于明显眼小无神的患者,这种状态很容易导致误判,认为无需行上睑下垂矫正术,实际不然。
这种情况先天性的不怕,术前诊断至关重要,我平日习惯通过坐卧位测量更能提高诊断的准确性。

#下至##下睑下至##非常病历##眼部整形##整形#