今天的推送略微有点重口味,因为咱们要讲的是洗牙,相信正在看手机的你,可能至今都还没体验过洗牙吧?也许你会好奇,我的牙齿看起来很洁白啊,为啥要专门花钱去洗牙?

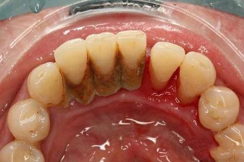
小编不得不提醒下大家,你们每天照镜子看到的只是牙齿表面,请问你们看过牙齿背面的真实模样吗?(不怕被吓到的可以用小镜子自己照照)
有可能是这样

图片来源网络
还有可能是这样

图片来源网络
是不是看着挺慎人?(为了大家的感受,更恶心的就不放出来了)
牙结石本身还带着臭味,不仅如此,厚厚的牙结石正在慢慢侵犯你的牙龈,长期下去,容易出现牙龈出血、肿痛,再拖久一点,就会破坏牙周组织,导致牙齿松动,最后掉牙~

图片来源网络
还觉得洗牙没必要的小伙伴,不要高兴的太早,小编这就给你们看看洗牙的真实过程,附上视频~
(内容过于真实,请慎点~)
实录极品牙结石洗牙过程先是揪心最后浑身舒爽_腾讯视频
怎么样?
还自信的认为自己的牙齿很干净吗?
这话可不要让牙医听到哦~

咳咳,言归正传,口腔是细菌进入人体的第一道门槛,如果连牙齿健康我们都不保护好,那么你的身体也不会健康到哪里去。

所以,现在不行动还等什么时候,定期给牙齿洗个澡,让它们呼吸一下新鲜空气吧~
【本文来源子和口腔官方公众号:cdzhkq】