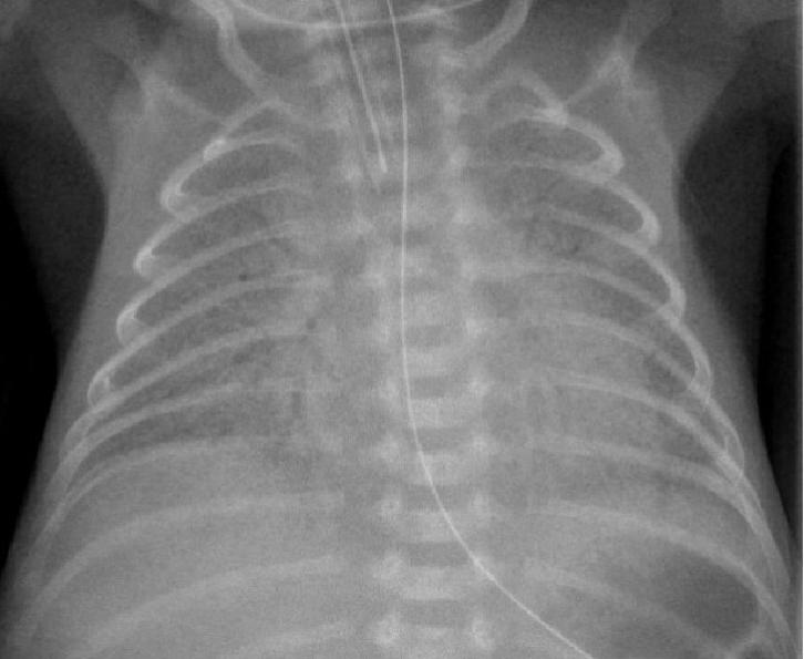
1、28周早产儿,呼吸困难1天。

可见双侧对称弥漫分布的的颗粒状高密度影。可见支气管充气。
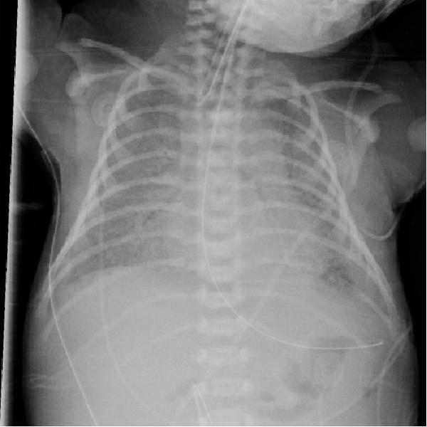
2、新生儿在剖腹产后数小时内出现呼吸困难。

仍可见双侧对称弥漫分布的的颗粒状高密度影,支气管充气征。
这就是典型的新生儿特发性呼吸窘迫综合征(RDS)。
新生儿特发性呼吸窘迫综合征(RDS)又称肺透明膜病,是引起新生儿呼吸困难常见病之一。 与Ⅱ型肺泡发育不成熟,肺表面活性物质缺乏或减少有关,本病多见于早产儿、剖宫产儿和其母患有糖尿病、妊高症的新生儿,其次胎龄 < 32 周、体重 < 2000g新生儿发病率明显高于胎龄 > 32 周,体重 > 2 000g新生儿。肺泡表面活性物质缺乏或减少,致使肺泡弥散性不张,肺顺应性下降,导致患儿呼吸窘迫胎龄愈小,发病率愈高,病程发展快,早期死亡率高。一般认为本病系自限性疾病 ,如果患儿能渡过危险期,则有自愈倾向,其病程约需 48 ~ 72h。如果处理不当或病情严重,则可能会死于呼吸衰竭。
其特征性 X 线表现为:
1)两肺野透光度普遍减低,呈毛玻璃状,或两肺野中内带多发细小颗粒状或小结节和网状影,下肺野较上肺野更为显著;
2)气管支气管充气显著,在两肺野密度普遍性增加的对比之下显示更为清楚;
3)胸廓扩张良好,横膈位置正常。 对怀疑本病者,短期(1 ~ 2h)连续拍片观察,对诊断意义较大;有文献提出凡 6~ 12h 胸部影像尚无确切网粒阴影者,可排除本病。
X线分级:
Ⅰ级:表现为两肺野透光度普遍减低,两肺野中内带可见细颗粒状或网状影,肺野可见支气管充气征,心脏与膈肌轮廓清楚;
Ⅱ级:表现为两肺野透光度进一步减低,细颗粒状或网状影融合成点状小结节影,肺野可见支气管充气征,心脏与膈肌轮廓尚清晰;
Ⅲ级 :表现为两肺野密度均匀增高,支气管充气征明显,心脏与膈肌轮廓模糊;
Ⅳ级:表现为肺野完全不透明,呈“白肺” 样改变,支气管充气征尚清晰,心脏与膈肌轮廓不能分辨
可有合并症:早产儿呼吸窘迫综合征机械通气1天后合并气胸

出生1天X线行机械通气

第2天X线,可见左侧气胸
主要和以下疾病鉴别:
新生儿感染性肺炎
吸入性肺炎
早产婴肺