前天发了一例异位胸腺瘤微头条,有网友私信想要更详细一点的背景常识。今天就写一下。
胸腺的解剖位置是在人体的前上纵隔。

胸腺在人体的部位示意图
异位的胸腺瘤是一种较为罕见的疾病,由于其位置多种多样,因此在诊断和治疗上存在一定的困难。
通常,异位胸腺瘤多位于中下纵隔,但也可能出现在其他非胸腺组织分布的区域。比如,在一些非常罕见的情况下,异位胸腺瘤还可能出现在头颈部、腹腔、盆腔等。

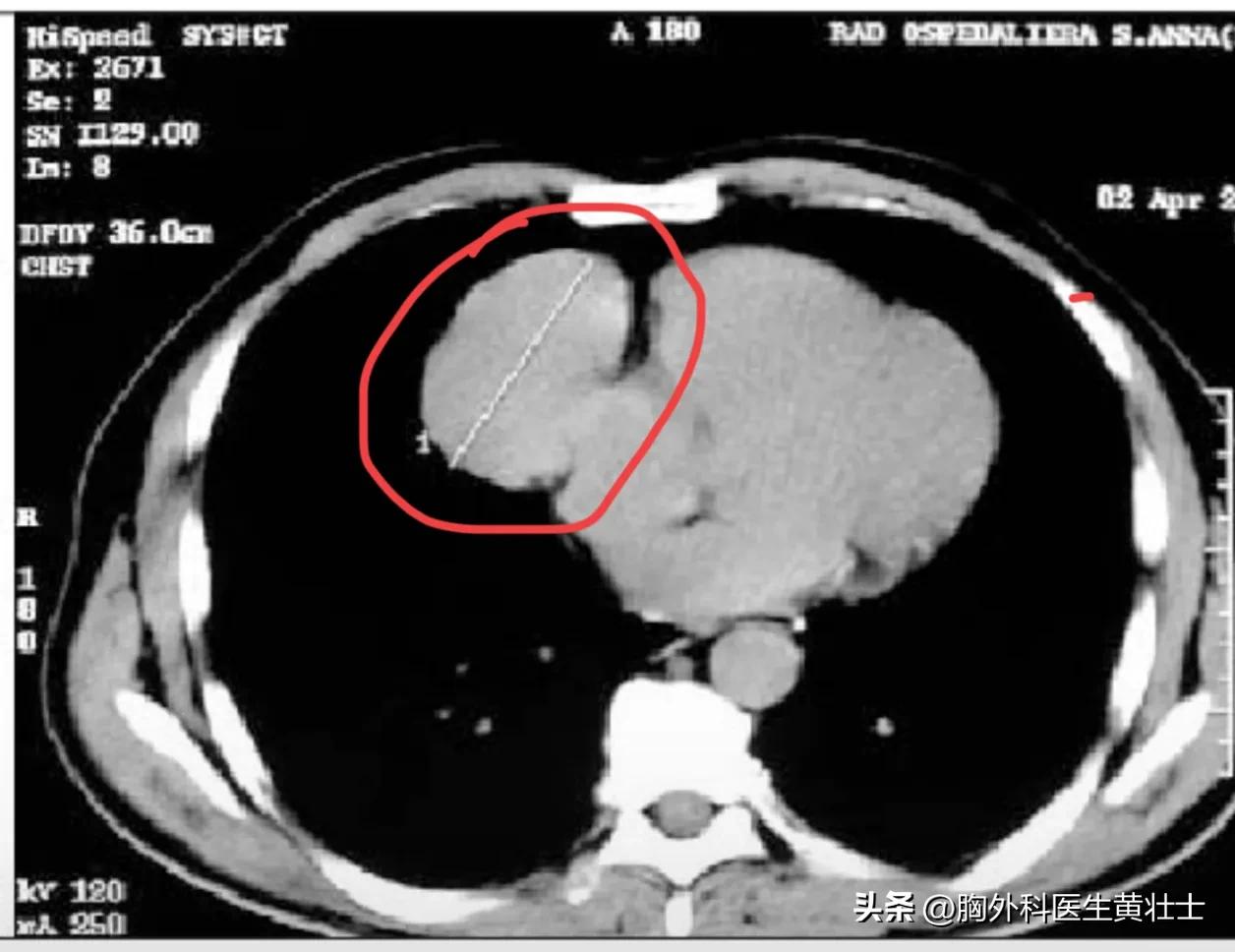
异位到中纵隔的胸腺瘤(红色圈内)
异位胸腺瘤的形态多样,可能为单发、或多发的囊性、实性或混合性肿块;也可能是微小的散在结节。
对于较小的异位胸腺瘤,可能是在体检或偶然被诊断出来。然而,较大的异位胸腺瘤通常会导致一系列症状,包括胸痛、气短、声音嘶哑、吞咽困难等。
异位胸腺瘤的诊断需要结合影像学检查和组织学检查。其中,CT和MRI可以帮助确定异位胸腺瘤的位置、大小和形态;而组织学检查则可以确定异位胸腺瘤的病理类型。
对于小肿块,医生可能会选择进行活检或切除以确诊异位胸腺瘤。对于大肿块,可能需要进行手术切除以缓解症状,并且还需要附加进一步的治疗措施,如放疗或化疗。
虽然异位胸腺瘤的病因尚未完全清楚,但这种疾病通常与免疫系统相关。
胸腺作为免疫系统的一部分,可能在某些情况下发生异常增殖,导致胸腺瘤的形成。

胸腺与人体免疫系统关系密切
虽然异位胸腺瘤较为罕见,它的诊断和治疗在临床上具有一定的挑战性。因此,需要医生根据患者的具体情况进行个体化的诊断和治疗。