今天新收到一个福建Perthes病孩子妈妈寄来的复查片子,我开心的告诉说孩子恢复的“more than perfect”

那么儿童股骨头坏死Perthes病程结束后,结果好或者不好有统一的评价标准吗?答案是有的。目前应用最广泛的是Stulberg等于1981年提出的影像学分级标准,Herring等2004年又做了进一步量化说明。

Stulberg SD, Cooperman DR, Wallensten R. The natural history of Legg- Calvé-Perthes disease. J Bone Joint Surg Am. 1981;63:1095-108.
Legg-Calvé-Perthes Disease Part I: Classification of Radiographs with Use of the Modified Lateral Pillar and Stulberg Classifications Herring, John A., Kim, Hui Taek, Browne, Richard. JBJS: 2004;86:2103-2120
Stullberg等进行了一项重要的长期随访,对99髋儿童时期均接受非手术治疗的Perthes病孩子,平均随访40年,分析从 发病—骨骼发育成熟时髋关节形态—50岁时髋关节骨性关节炎发生情况 ,总结Perthes病自然病史(natural history),分析这些髋关节骨在发育成熟时股骨头形态、头臼关系与远期髋关节骨关节炎的关系。并提出Perthes髋在骨骼发育成熟时头臼形态结构与匹配的分级,用于评估和预测远期骨关节炎的发生风险。


S1:影像学正常髋关节。

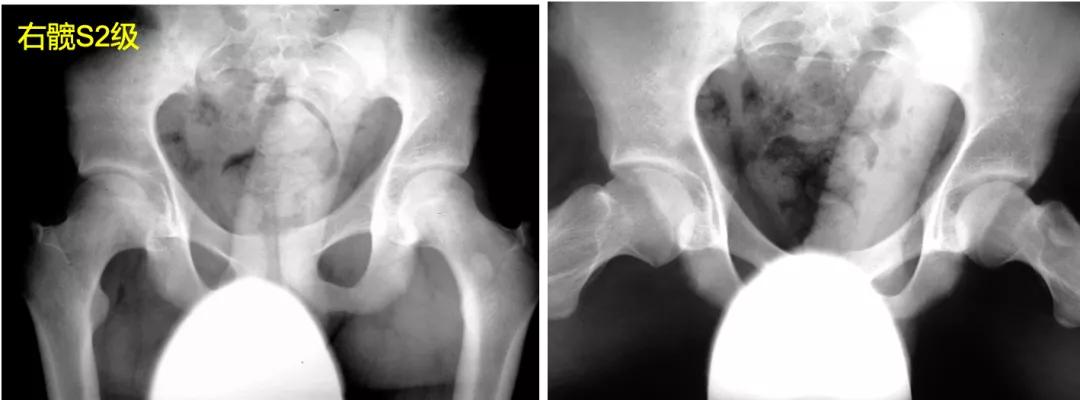
S2:股骨头呈圆形(不圆不超过2mm),在髋关节正侧位片中与髋臼呈同心状,但存在股骨头膨大、股骨颈变短。

S3:股骨头呈卵圆形,在正位片或蛙式位片上,股骨头不圆>2mm。

S4:股骨头扁平,在正位片或蛙式位片上,股骨头负重区扁平>1cm,髋臼也呈扁平状,畸形匹配。

S5:股骨头扁平塌陷严重,头臼不匹配。

总结
Stulberg分级将髋关节是否匹配总结为:①球形适配(1 级、2 级),不易发生骨关节炎;②非球形适配(3 级、4 级),成人时会有轻中度骨关节炎;③非球形非适配(5 级),50 岁前即出现严重骨关节炎。所以,对于儿童期Perthes病的治疗,我们应该尽量避免股骨头变形、头臼不匹配,追求Stulberg1、2级的结果。

注:本文Stulberg分级配图均来自John Herring 2004年JBJS-Am经典文献。