| 研究速递2021-06-22
光动力疗法(PDT)是一种局部消融技术,它是一种通过光激活后产生氧自由基来诱导细胞死亡的局部消融技术。人们对光动力疗法的兴趣源于它对恶性细胞具有相对选择性,以及对结缔组织的影响较小,且可维持管腔的完整性。自1995年以来,美国食品与药物管理局(FDA)已经批准光动力疗法用于缓解梗阻性食管腺癌,随后于2003年将适应证扩大到高级别上皮内瘤变的Barrett食管治疗。
支持在胃肠道使用光动力疗法的数据通常来自对卟啉钠的研究,这是第一代光敏剂,不幸的是,它不是一种化学纯的化合物。最近的一项Ⅰ期研究证明,在12例局部晚期胰腺癌(LAPC)患者中,不同剂量的卟啉钠进行光动力治疗是安全的。这种疾病的患者在确诊时往往无法接受根治性手术切除肿瘤,但可能受益于细胞消融术。值得注意的是,在光动力治疗后18天的横断面影像上,这种治疗能够产生可测量的肿瘤坏死,结合后续NAB-紫杉醇联合吉西他滨化疗,可导致2.6个月的中位无进展生存期。
虽然卟啉钠介导的光动力疗法已被证明是有效的,但它的广泛应用受到多个缺点的限制,最显著的缺点是半衰期较长,从而导致皮肤光敏性持续时间延长,这要求患者在术后至少30天内避免阳光照射、全面覆盖皮肤和保护眼睛。除了急性毒性以外,常见的术后主诉还包括可能需要使用麻醉剂的吞咽疼痛、腹痛及胸痛。维替泊芬是美国FDA批准的第二代光敏剂,在患者安全性方面有显著优势,半衰期可在数小时内下降,使得光敏期缩短至约一天。维替泊芬光动力疗法与非根治性手术相比,可更安全可行地“清除”肿瘤,与老式光动力疗法药物相比有多方面的优势。
近来,有研究评估了对局部晚期胰腺癌患者实施超声内镜引导下维替泊芬介导的光动力治疗的安全性及有效性,该研究2021年发表于《消化内镜》( Gastrointest Endosc )杂志2月刊。
该研究前瞻性入选有充分胆汁引流的局部晚期胰腺癌患者。纳入标准包括需有组织学证实的局部晚期或晚期胰腺癌,有足够的胆汁引流,无不可控感染,并且经医师认定为不适宜进行手术切除,且不能受益于具有治疗意图的化疗。排除标准包括肺或肝以外的转移、3个以上或单个大于5 cm的肺转移灶、累及十二指肠或大动脉管壁50%以上以及在过去2周内有治愈意向的患者。
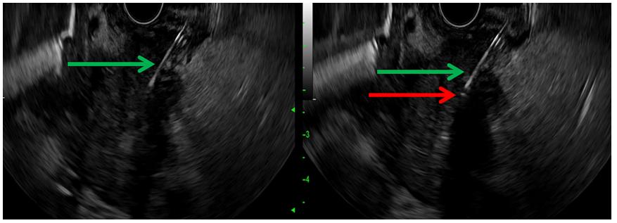
具体内镜操作过程如下。于-28天至0天进行高分辨率、增强对比的胰腺CT扫描。第0天,在光动力治疗前60~90 min以0.4 mg/kg的剂量方案静脉注射维替泊芬。如果有过敏反应,患者需要于术后预防性口服环丙沙星500 mg或同等广谱抗生素共3次,以使疗效持续24h。然后患者在麻醉监护下应用丙泊酚进行镇静。该研究使用线性超声胃镜仪器(奥林巴斯UCT180)及奥林巴斯F75处理控制台,引导19号细针穿刺针进入肿瘤肿块预期消融点,该治疗点需要与血管或十二指肠壁间隔至少1 cm距离。进针越过该点后,随着细针被收回,缓慢推进0.4 mm芯径的光纤及1 cm长的圆柱型消融端,以将其直接放置到所需位置(如图1所示)。

图1. 超声内镜引导下放置光纤,用于光动力治疗。A,在超声内镜下,在胰头肿块内可见19号FNA针(绿色箭头)。B,通过穿刺后光纤消融端在超声下表现为一个小高回声点(红色箭头)。
同时可使用弹性成像技术,以确保细针在肿瘤内的放置(如图2所示)。一旦消融光纤在肿瘤内所需位置就位,激光就被激活,以50 J/cm的速度照射333 s。术后第2天进行CT检查,在第1、2和14天监测不良事件发生情况。

图2. 弹性成像证实超声内镜引导下细针穿刺进入肿瘤以进行光动力治疗。A,在内镜超声下,胰头肿块内可见19号穿刺针(绿色箭头)。B,弹性成像显示胰头肿块与周围组织相比硬度增加(蓝色)。
结果显示,在纳入研究的8例患者中(62.5%男性,平均年龄65±7.9岁),5例在T3分期,2例在T2分期,1例在T1分期。大多数患者(4例)的胰头有原发病变。试验前肿瘤平均直径为(33.3±13.4)mm。术后第2天进行CT扫描,5个病灶显示坏死区,平均直径为(15.7±5.5)mm,3例无坏死。在手术或手术后观察期(第1~3天)没有观察到不良事件,也没有注意到患者报告结果的变化。在这项前瞻性研究中,超声内镜引导下的维替泊芬光动力治疗是可行的,并在特定局部晚期胰腺癌患者中展现出微创消融治疗前景。
研究者说
这项研究是第一个评估超声内镜引导下维替泊芬介导光动力治疗人类胰腺癌的系列病例。结果显示,大多数患者在手术后48h内可在CT影像上看到肿瘤坏死区。虽然研究参与者数量较少,但通过分析发现,对光动力治疗应答者往往具有位于胰头的较小病变,且大多数应答者左侧门脉高压和动脉血管受累发生率也较低,这些结果可帮助我们进一步确定可能更易诱导坏死的患者和肿瘤特征。与经皮CT引导的方法相比,通过超声内镜进行光动力治疗具有明显的优势。超声内镜是一种动态程序,允许实时可视化及定位针头,以确保在避开关键解剖结构的同时适当地瞄准病变。左侧型门静脉高压症是由恶性浸润和血管结构阻塞引起的,可能会导致广泛的静脉曲张,而常规多普勒超声可以很容易地看到和避开这些静脉曲张。超声内镜的另一个潜在优势是降低了临床复发的风险。超声内镜引导下细针穿刺与腹膜复发率增加无关,而有证据表明,接受CT引导下细针穿刺诊断胰腺癌患者与接受超声内镜引导下细针穿刺患者相比,随后发生腹膜癌的概率更高。总之,这项研究已经证明,在内镜超声引导下,维替泊芬介导的光动力疗法是安全的,能够在治疗后48h内诱导可见肿瘤坏死。该手术有望成为一种微创消融疗法,以增强对化疗无效的胰腺癌患者的肿瘤反应。
首都医科大学附属北京友谊医院 方芮整理,张澍田教授审校
本文版权属于中国医学论坛报,转载请注明出处