近年来随着体检的逐渐普及,越来越多的人在体检时发现有肾囊肿,也经常会因这个问题困扰不已。肾囊肿是泌尿外科最常见的肾脏囊性占位,发病率约为10%,随着年龄增加而增加,其中单纯囊肿占90%,复杂囊肿占10%。体检超声或CT发现的囊肿中多数为单纯囊肿。囊肿平均生长速度为1.6mm/年(-1.3cm~1cm),平均增长比例为3.9%-5.1%,76%囊肿在诊断后逐年增大,而24%保持不变或缩小,年轻患者囊肿生长速度快,老年患者囊肿生长速度慢,多房囊肿生长速度快,单房囊肿生长速度慢,囊肿生长速度与恶性变无相关性。

在没有肾囊性疾病的家族病史或慢性肾脏病的证据的情况下,多数单发和多发性肾囊肿是良性的。单纯肾囊肿是需要短期随访的,囊肿大小被认为是随访策略中的重要因素。由于体积增大(6-8 cm)或感染、出血、破裂等并发症,约2%-4%的肾囊肿可能在随访中会出现腰痛等症状。
肾囊肿通常根据CT或核磁等影像学检查分为Bosniak I, II, IIF, III, and IV级,通常I级和II级被认为是单纯囊肿,而其他被认为是复杂囊肿,随着级别的增高,囊肿的恶性可能也在增加,I, II, IIF, III和IV级的恶性可能分别为0-1%,0-10%,4.7-24%,>50%和>90%。如果囊肿中出现不规则增厚的分隔、不规则增厚的囊壁、囊肿内部不均质、尤其出现可增强的囊内结节、厚壁分隔和囊壁需要密切关注,应及时就医。
肾囊肿是否需要手术取决于很多因素,大小并不是绝对手术指征,对于4-5cm及以上的囊肿,如果是良性的囊肿可以考虑手术,也可以观察,但如果囊肿引起临床症状、造成肾脏积水或怀疑有恶性可能应手术治疗,术前还必须要排除肾盏憩室,重复肾,肾上腺囊肿等疾病。目前肾囊肿的治疗尚无基于循证医学证据的指南,但基于文献资料,IV级囊肿和确定的III级囊肿应考虑手术干预;IIF级囊肿密切随访CT检查; I级和II级囊肿密切随访超声检查。
(撰写:葛玉成,詹睿超;审校:王文营)

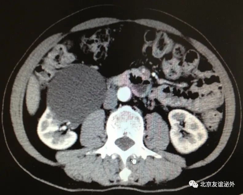
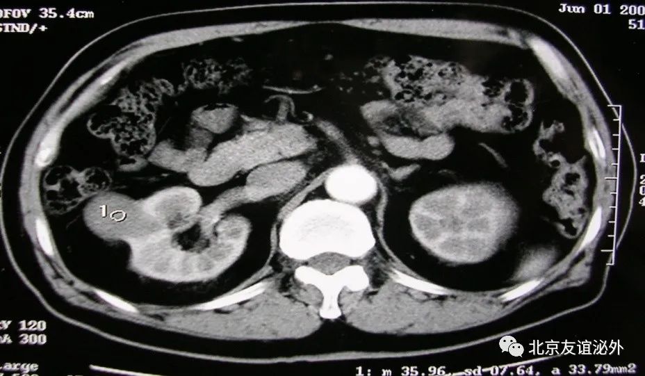
图1. Bosniak I级良性囊肿,是临床上最常见的囊肿

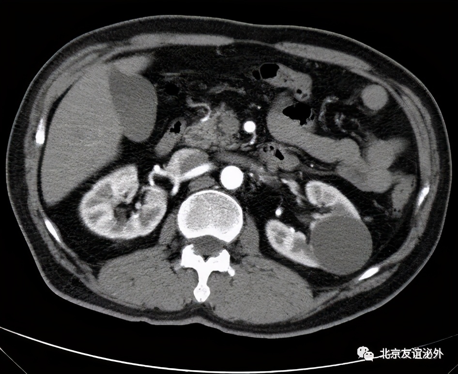
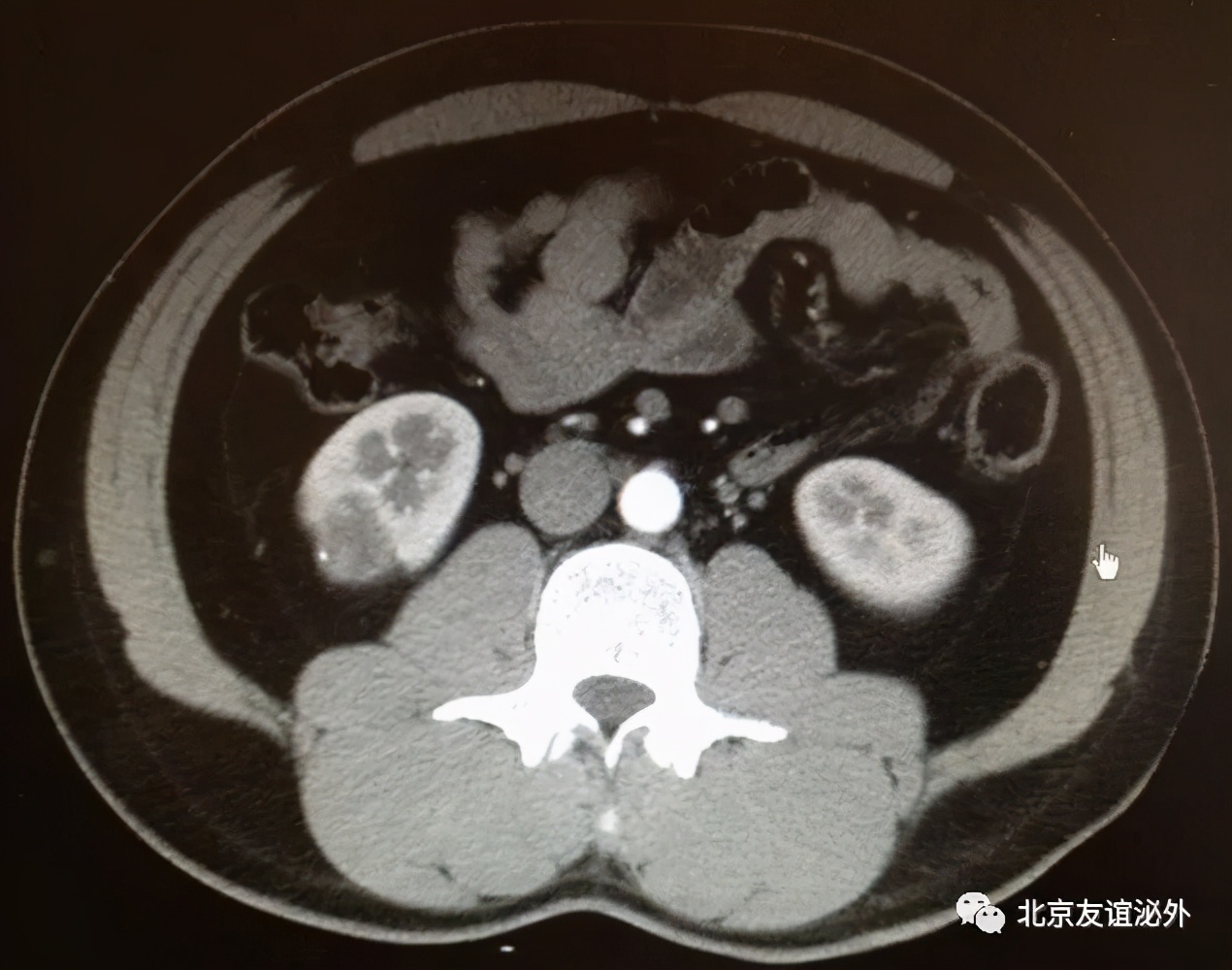
图2. Bosniak I级恶性囊肿(肾透明细胞癌),临床极为少见

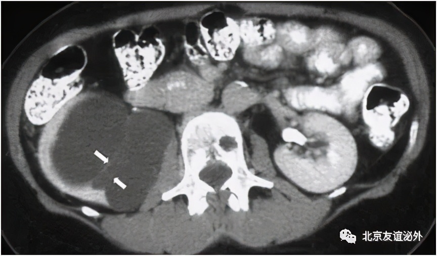
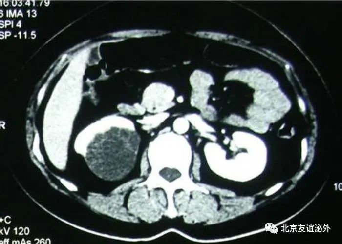
图3. Bosniak II级良性囊肿(囊肿内少量细小分隔)

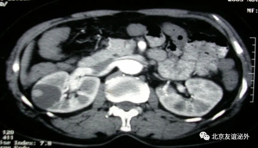
图4. Bosniak IIF级良性囊肿(囊肿伴乳头状瘤)

图5. Bosniak IIF级恶性囊肿(高密度囊肿,肾乳头状细胞癌)

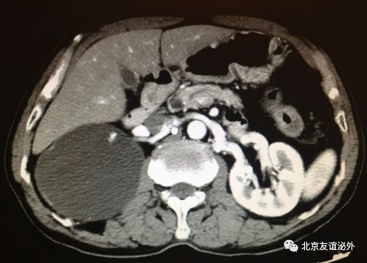
图6. Bosniak III级良性囊肿(肾脏淀粉样变)

图7. Bosniak III级恶性囊肿(肾透明细胞癌)

图8. Bosniak IV级恶性囊肿(囊内结节为肾透明细胞癌)