遗传多发性软骨瘤多大能做手术 (骨瘤会遗传给子女吗)

骨软骨瘤是最常见的良性骨肿瘤。其病因至今尚未明确。常见于长骨的干骺端,也可发生在肩胛骨、骨盆和脊柱附件上。肿块为位于骨表面的骨性突起物,表面有软骨帽,中间有髓腔。骨软骨瘤好发于10—20岁的青少年,,占良性骨肿瘤的1/3。大小随着人体的发育而逐渐增大,18岁后肿瘤通常会停止生长。

临床上有单发性和多发性之分。单发性骨软骨瘤恶变率低,约1%。多发性骨软骨瘤在医学上多称为遗传性多发骨软骨瘤。遗传性多发骨软骨瘤有家族遗传性,较单发性骨软骨瘤恶变率高,据报道其恶变率在5%到25%之间。

(此处已添加医疗卡片,请到*今条头日**客户端查看)

单发骨软骨瘤的临床表现

肿瘤多表现为肢体局部的无痛性肿块。肿瘤多不经意间被发现。若肿瘤压迫周围组织或其表面的滑囊发生炎症,则可产生疼痛。少数发生在肘部、腘窝、椎管内等特殊部位的骨软骨瘤会压迫神经、血管而出现相应症状,甚至会导致受压骨骼变形。如果骨骼成熟后肿瘤仍生长,伴有疼痛,需怀疑肿瘤恶变的可能性。

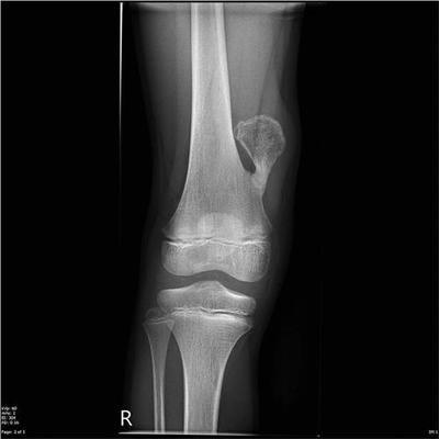
X线片可见近干骺端部位的骨性突起,基底部有时较宽,有时较窄,蒂部与骨干相连,髓腔彼此相通。突起的表面为软骨帽,不显影,所以肿瘤的实际大小可能要比x线平片上要大。和x线相比,CT和核磁共振对位于骨盆、肩胛骨和脊柱上的骨软骨瘤能够更清楚的显示软骨帽的范围及与周围软组织的关系,具有更好的显示效果。

骨软骨瘤癌会遗传吗,骨软骨瘤怎么避免遗传给孩子

遗传性多发骨软骨瘤的临床表现

男性多发,肿瘤分布广泛且相对对称。在全身任何存在软骨的骨骼中几乎都有可能发生。由于肿瘤多发,所以很难依据外科手段全部切除。多表现为全身多发的骨性包块,常伴有骨骼短缩和畸形,如膝、踝、肘、腕关节的内外翻畸形。影像学上和单发的骨软骨瘤基本相同,只是肿瘤数量上的不同及存在骨骼畸形而已。

骨软骨瘤癌会遗传吗,骨软骨瘤怎么避免遗传给孩子

诊断根据病史、体征及影像学检查诊断并不困难。

治疗

(一)、单发骨软骨瘤的治疗

1、如无症状骨软骨瘤,大部分不需手术治疗,只需定期观察即可。2、对于肿瘤有恶变倾向者需手术治疗。3、对于肿瘤表面滑囊反复感染者需手术治疗。4、肿瘤自身骨折者需手术治疗。5、肿瘤引起肢体疼痛和功能障碍者需手术治疗。

(二)、遗传性多发骨软骨瘤的治疗

1、如无症状骨软骨瘤,大部分不需手术治疗,只需定期观察即可。 2、肿瘤引起肢体疼痛和功能障碍者需手术治疗。3、 压迫神经、血管者需手术治疗。4、肿瘤巨大,影响外观者需手术治疗。5、有明显的骨骼畸形者。6、肿瘤生长活跃,有恶变倾向者。

手术方法

无论是单发的骨软骨瘤还是遗传性多发骨软骨瘤均需切除肿瘤表面骨膜、软骨帽、骨质及基底部周围部分正常骨质。对于遗传性多发骨软骨瘤而言如需处理骨骼畸形,通常情况下需等到骨骼成熟时再行矫正手术。

骨软骨瘤癌会遗传吗,骨软骨瘤怎么避免遗传给孩子

南方医科大学第三附属医院(广东省骨科医院、广东省骨科研究院)姚京辉大夫,希望对大家的健康有帮助!