颈长肌钙化性肌腱炎 (calcific tendinitis of the longus colli muscle),又称咽后钙化性肌腱炎 (retropharyngeal calcific tendinitis)或急性钙化性椎前肌腱炎 (acute calcific prevertebral tendinitis)是一种自限性疾病,其典型表现为急性颈痛、颈部僵硬和吞咽困难。确诊的关键是将本病和其他类似临床表现的严重或危及生命的疾病加以鉴别,如咽后脓肿、脑膜炎等,避免不必要的抗生素或外科干预治疗。
此病最早由Hartley于1964年首次报道,国外常引起重视,很多高影响因子文献(如 Lancet、Arthritis Rheumatol、JBJS am)均有报道,而国内中文文献报道较少,据我检索,仅2篇报道且为影像科医生报道,但此类患者多就诊于急诊科、骨科和耳鼻喉科等,说明国内临床医生对这个疾病认识不足。



颈长肌急性钙化性肌腱炎常急性发病,如认识不足,很容易误诊误治,贵在早期明确诊断,治疗主要为非甾体抗炎药,一般1-2周会自愈。
颈长肌解剖
颈长肌是位于C1-T3椎体前缘的成对肌肉,由上斜肌、直肌和下斜肌组成,在上内侧附着于寰椎的前结节。从侧面看,颈长肌与前纵韧带均位于颈椎椎体前方,形成厚度3-4mm的软组织层。钙化常发生于上斜肌。

(PMID: 663244)

(PMID: 19451311)

(PMID: 23179983)

临床表现
颈长肌钙化性肌腱炎的临床表现、体征和影像学表现均与发生在肩、髋、肘部的急性肌腱炎合并钙质沉着相类似,也与齿状突加冠综合征和儿童颈椎间盘钙化症发病类似,请点击蓝字查看既往推送。
典型三联征是急性颈痛、颈部僵硬和吞咽困难 ,其他伴随症状和体征包括枕部头痛、颈椎活动受限、张口受限、咽喉痛、咽部水肿、斜颈、头晕和伴有炎性指标升高(白细胞、CRP和血沉)的低热,其年平均发病率为0.50/10万人年。
2010年,Park教授回顾文献总结71例颈长肌急性钙化性肌腱炎的特点发现,最常见的症状是颈部疼痛(94%)、活动受限(45%)、吞咽痛(45%)、颈部僵硬(42%)、吞咽困难(27%)、喉咙痛(17%)和颈部痉挛(11%)。


危险因素
文献报道,重复性创伤、缺血、坏死和遗传倾向被认为是可能的病因。部分患者有感冒、咽炎等病史。大部分患者无明显诱因,突发症状和体征。
诊断
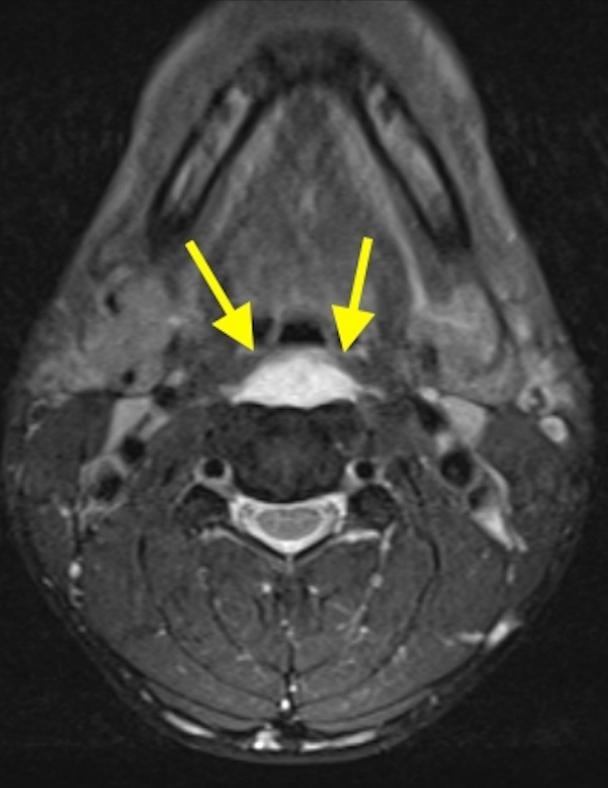
明确诊断主要通过影像学方法,颈椎CT是关键。 颈长肌钙化性肌腱炎特异性的影像表现是C1-4椎体前缘软组织肿胀和积液与C1椎体前弓下方不规则钙化沉着共存。

图:C1椎体前弓下方不规则钙化沉着

图:椎前积液

图:椎前积液和C1椎体前弓下方不规则钙化沉着

图:椎前软组织肿胀
颈椎侧位片能够显示上颈椎前纵韧带和颈长肌组成的软组织影增宽,密度增高,正常时宽度为3-4mm,急性炎性水肿时可增宽到1cm以上,并可显示椎前软组织内的钙化影,一般位于C1-2水平 。此外,还可见颈肌痉挛引起的颈椎前凸消失。颈椎侧位平片所见的发育性寰椎前弓的下方附属小骨片、寰椎前弓的撕脱骨折以及茎突舌骨肌韧带的钙化极易与本病所见的钙化混淆。
CT的高分辨率能够明确肌腱内的钙化,能够明确是钙化而不是其他骨骼来源的高密度影。 钙化一般位于寰椎前弓的下方和枢椎齿状突的前方,少部分可位于下颈椎前侧 。CT有助于明确椎体前积液的存在和排除其他病理表现,如骨折或脓肿。MRI对诊断不是必须,但有时可帮助确定软组织异常,排除咽后脓肿,脊椎炎或肿瘤。 MRI检查T2加权在椎前可见局限性的裂隙样区域,大多位于C1-4水平,呈高信号改变,这反应是由于炎症引起的积液 。T2加权、脂肪抑制序列和T1加权对鉴别积液和脂肪组织、含脂肪的骨髓以及咽后感染、脊椎炎有重要作用。MRI检查在钙化检查方面存在不足,T2加权呈低信号。

图:总结71例颈长肌钙化性肌腱炎患者的影像学特点发生率
鉴别诊断
- 本病急性颈痛发作时常伴有颈项僵硬,临床多疑为 脑膜炎 ,但无明显全身症状和体征,经化验、影像学检查不难鉴别;
- 本病常见吞咽困难与疼痛,常疑为 食管疾病 ,经食管钡餐造影即可鉴别;
- 本病咽后壁软组织影增宽,近似 咽后壁脓肿 ,但无椎体骨质破坏,全身症状不明显,可以鉴别;
- 本病钙质沉着多在上颈椎,而 颈椎间隙内钙质 沉着多在下颈椎且累及多个间隙,为二者不同处;
- 寰椎前弓在颈部过伸性外伤时可引起 骨折 ,X线片可见小碎骨片分离,与此病不同。
此外,也应与齿状突加冠综合征、感染性脊柱炎、淋巴结炎、会厌、口咽和脊柱肿瘤等。在此情况下,正确的诊断将会减少有创性检查的数量,并可能减少不必要的抗生素和外科干预治疗。
因颈长肌钙化性肌腱炎常伴椎前软组织肿胀和积液,重点应与咽后壁脓肿鉴别,咽后壁脓肿常需抗生素和外科干预。

发病机制
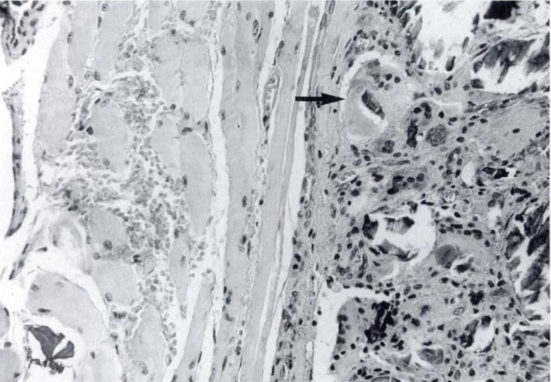
目前认为,颈长肌钙化性肌腱炎是由颈长肌肌腱内羟基磷灰石晶体沉积引起,并伴有无菌性炎症反应。

图:光镜可见典型的钙质肉芽肿病变,多核巨噬细胞吞噬钙质结晶(箭头)

图:扫描电镜可见大量钙质结晶
治疗
首选非甾体抗炎药,可配合颈托制动,严重情况下可加用皮质类固醇药物。一般1-2周症状会明显消失,大多数患者数月后,钙化和椎前积液能够完全消失而痊愈。

愈后
本病为自限性疾病,愈后良好。
典型病例介绍

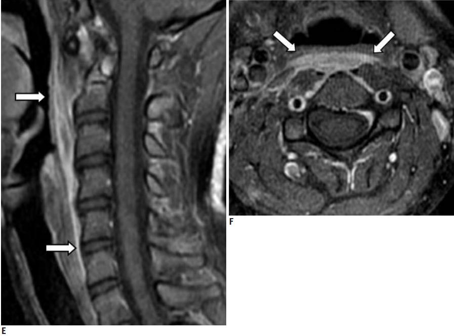
36岁女性,急性颈痛、吞咽困难伴颈部僵硬,MRI示C1-2前部颈长肌增厚呈低信号,提示钙化(长箭头)和C1-4椎前积液(无线箭头),经类固醇和止痛药治疗8天后症状消失,复查MRI提示上述表现消失。(PMID: 18765656)

C1-2前侧低信号(无线箭头)和C1-5椎前水肿(长箭头)
(PMID: 19567634)

40岁男性,低热伴急性颈痛、张口困难1天,颈椎CT提示椎前钙化(箭头),经洛索洛芬60mg,每日三次,连续五天治疗,3天后症状改善,3月复查CT钙化消失。(PMID: 25918175)

32岁男性,颈肩部疼痛1月,喝水时轻度吞咽困难伴颈椎活动受限,无发热,化验指标正常,经非甾体抗炎药和秋水仙碱治疗后症状改善,4月后复查颈椎侧位片(D,E)钙化消失。(PMID: 25941110)


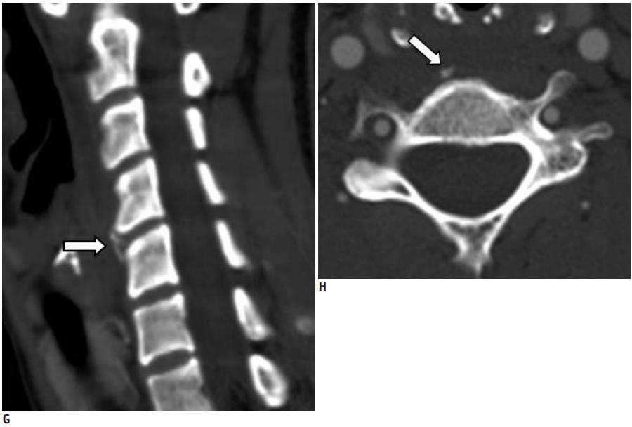
30岁女性,诊断为颈长肌钙化性肌腱炎,但钙化位于不寻常的位置:C4-5椎间隙前侧。A:颈椎侧位片示寰枢椎半脱位(长箭头)和椎前软组织肿胀(无线箭头);B,C和D:颈椎MRI示C1-6椎前软组织肿胀伴积液,D示齿状突骨侵蚀(无线箭头)


上述病人,E为增强,F为抑制像,G和H:经非甾体抗炎药治疗3天后查颈椎CT示C4-5椎前无定形钙化。


上述病人,I和J: 入院4天后复查颈椎MRI示椎前积液明显减少; K,随访2个月复查CT示C4-5前钙化灶减小。(PMID: 21852912)

欲了解齿状突加冠综合征请点击上面图片

欲了解儿童颈椎间盘钙化症请点击上面图片
其他参考文献:
Lancet. 2019;393(10185):e40
Medicine (2017) 96:46(e8343)
Semin Arthritis Rheum. 2010 Jun;39(6):504-9.
J Bone Joint Surg Am. 1994 Nov;76(11):1636-42.