
椅子腿断了无非是不能坐,它不会疼,拿钉子钉起来,或侧面绑块木板,再钉起来,就更结实了。
骨是人的支架,没有骨头,人就不会站立起来,就像一团泥。
人的胳膊、腿的骨头断了不但会疼痛,还不能干活、不能走路,所以人的骨头断了,也需要接起来。

骨头断裂就是骨头折了,即医生所说的骨折,是指骨的连续性中断。
骨折原因
就和椅子腿断了一样,人的骨折也是有原因的。大部分是外伤引起,也有由于肿瘤、感染或其它成骨不全引起的叫病理性骨折。
外伤又分为直*力暴**、间接*力暴**和疲劳损伤。
1.直接*力暴**
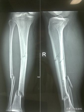
*力暴**直接作用于骨骼某一部位而致该部骨折,常伴有受伤部位不同程度软组织损伤。如车轮撞击,重物砸、压所致的胫腓骨开放骨折。

2.间接*力暴**
间接*力暴**作用时通过纵向传导、杠杆作用或扭转作用使远处发生骨折,如从高处坠落足部着地时,躯干因重力关系急剧向前屈曲,胸腰脊柱交界处的椎体发生压缩性或爆裂骨折。
3.积累性劳损
长期、反复、轻微的直接或间接损伤可致使肢体某一特定部位骨折,又称疲劳骨折,如远距离行走易致第二、三跖骨及腓骨下1/3骨干骨折。
临床表现
1.全身表现
(1)休克
地震、塌方、车祸等可致多发性骨折、骨盆骨折、股骨骨折、脊柱骨折及严重的开放性骨折,患者常因广泛的软组织损伤、大量出血、剧烈疼痛或并发内脏损伤等而引起休克。
(2)发热
骨折处有大量内出血,血肿吸收时体温略有升高,但一般不超过38℃,开放性骨折体温升高时应考虑感染的可能。
2.局部表现
骨折的局部表现是疼痛、肿胀、活动障碍和骨折的专有体征。
骨折专有体征:
(1)畸形:骨折端移位可使患肢外形发生改变,主要表现为短缩、成角、延长。
(2)反常活动:正常情况下肢体不能活动的部位,骨折后出现不正常的活动。
(3)骨擦音或骨擦感:骨折后两骨折端相互摩擦撞击,可产生骨擦音或骨擦感。
以上三种体征只要发现其中之一即可确诊,但未见此三种体征者也不能排除骨折的可能,如嵌插骨折、裂缝骨折。
检查
1.X线检查
凡疑为骨折者应常规进行X线拍片检查,可显示临床上难以发现的不完全性骨折、深部骨折、关节内骨折和小的撕脱性骨折等,即使临床上已表现为明显骨折者,X线拍片检查也是必需的,可以了解骨折的类型和具体情况,对治疗具有指导意义。
X线摄片应包括正、侧位片,必须包括邻近关节,有时需加摄斜位、切线位,行健侧相应部位的X线片可做对比。
2.CT检查
对于骨折不明确但又不能排除者、脊柱骨折有可能压迫脊髓神经根者及复杂骨折者均可行CT检查。三维CT重建可以更直观便捷地进行骨折分型,对治疗方案选择帮助很大。
3.MRI检查
有些x线和cT不能显示的骨挫伤、裂纹骨折有非常优势。对于病理骨折、脊髓神经根及软组织损伤的显示有独特优点。对于鉴定新鲜骨折还是陈旧骨折方面无可替代,目前已广泛用于脊柱骨折的检查。
诊断
根据临床表现及影像学检查即可确诊或排除诊断。
治疗
治疗骨折的三部曲是复位、固定、功能锻炼。
1.复位及目的
复位是将骨折后发生移位的骨折断端重新恢复或接近原有解剖关系。
复位的方法有闭合复位和手术切开复位。闭合复位几乎不破坏骨质血运,愈合快,但很可能达不到解剖复位。
切开复位可能会破坏骨质血运,愈合慢,甚至不愈合;还会失血,可能引起休克、输血反应;还有伤口感染、皮缘坏死、骨外露、不愈合。
复位不好,会出现旋转或成角畸形,超过允许范围,会影响功能。如尺桡骨成角影响前臂旋转,胫骨成角、旋转会有明显的膝内外翻及膝踝关节面不平行引起后期的骨关节炎等。
2.固定及原理
骨折复位后,因不稳定,容易发生再移位,加重周围软组织损伤和剧烈疼痛。开放骨折还会引起感染,因此要采用不同的方法将其固定在满意的位置,使其逐渐愈合。
常用的固定方法有:小夹板、石膏绷带、外固定支架、牵引制动固定等,这些固定方法称外固定。
如果通过手术切开用螺钉、钢针、钢丝、钢板、髓内针、及其组合等固定,则称内固定。
螺钉、钢针、钢丝单独或通过钢板、髓内钉将骨折缝合起来,起到保持复位的固定作用,经过一定时间,骨折愈合,恢复功能。
从这个角度看,骨科医生就像是木匠,因为用的工具也是锤子、锯子、凿子等。

切开复位后的内固定多能牢固,不像外固定,断端间总是有一定的相对活动,这又引发了另一个问题,骨痂的形成,骨痂形成后就像铁管焊接后的弧形隆起,焊弧越大越结实,事实上内固定太牢固,又影响骨痂形成,在骨科学上叫应力摭挡,表现在取除内固定后容易再骨折。
所以才有能手法复位外固定的,尽量手法复位外固定。不过医生总是依据患者年龄、骨折部位、身体状况来选择一种最适合患者的复位固定方式。
而且医生总是建议用组织相容性好、硬度接近生物力学的钛钉、钛板,既有利于复位固定,又有益于丰富骨痂形成。骨折固定原则是用最简单的方式,获得最牢固的固定。
植入物太多时,会增加软组织损伤程度,会增加手术时长,同时会增加感染的风险,要知道感染会给患者带来灾难性后果,主要在痛苦方面和经济方面。
手术的时机也很重要,太早了,容易对患者的健康状况认识不足,更重要的是患者全身状况及局部软组织条件可能不良,所以手术前一定要对患者全身及局部情况进行评估,改善。
注意,行骨折切开复位内固定时,软组织分离不要太广,骨膜剥离不能太大,内固定物不要放置太多,关闭切口或伤口时不能有张力,张力太大时伤口放置VSD持续吸引是非常不错的办法。
如果感觉内固定不够牢固,毫不犹豫增加外固定。

3.功能锻炼
通过受伤肢体肌肉收缩,增加骨折周围组织的血液循环,促进骨折愈合,防止肌肉萎缩,通过主动或被动活动未被固定的关节,防止关节粘连、关节囊挛缩等,使受伤肢体的功能尽快恢复到骨折前的正常状态。