有老虎牙怎么办 (有牙齿要蛀了该怎么办)

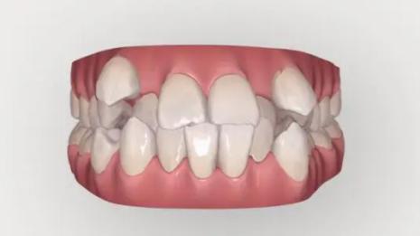
有很多人会有两个*牙虎**,有些人的*牙虎**小小的,与牙列排的很整齐,不影响笑容的美观;但也有人的*牙虎**会突出来,影响美观,让人很想拔掉它!但现在,有*牙虎**的人不用担心,可以使用牙齿矫正技术进行矫正,帮助*牙虎**回到它应该在的位置。

有牙齿的老虎怎么样,有老虎牙怎么拔

*牙虎**到底是什么呢?

*牙虎**一般会在 1 2 岁的时候萌出,也经常被称为犬牙,是上颌的两颗尖牙,它是正常的牙齿,只是长在了错误的位置,导致突出。因为它很像狗狗或者老虎的牙齿,所以称之为*牙虎**。如果去问医生,医生一般都不会建议你拔掉*牙虎**。因为他们在口腔中扮演着很重要的作用。它们一般牙体会比较粗壮,牙根很深,抗病能力也很强,不容易得龋病,作用主要是用来撕裂食物,并且作为骨骼支撑面部肌肉。如果拔掉会影响口腔的结构,口角和鼻翼会塌陷,让人有衰老和和干瘪的感觉。所以*牙虎**还是很重要的,一般在矫正*牙虎**的时候,医生不会建议你拔掉*牙虎**,但有可能会需要拔掉其他的牙齿,为矫正*牙虎**预留位置。

有牙齿的老虎怎么样,有老虎牙怎么拔

*牙虎**用什么矫正方法比较好?

首先我们要知道牙齿矫正是什么。牙齿矫正又被称为正畸治疗。它主要是通过矫正器来调整牙齿、骨骼和神经肌肉之间的关系,目的是达成口颌系统的平衡、稳定和美观。也就是让我们的牙齿变得整齐,美丽和好看!牙齿矫正目前有三种方式,分别是传统的钢丝矫正器,半隐形式陶瓷托槽矫正器,无托槽隐形矫正器。无托槽隐形矫正是近年来普及的技术,可以在不为人知的情况下进行牙齿矫正,拥有较高的私密性和美观性,并且比钢丝牙套更加健康卫生。隐形矫正如果是成人需要 2 -3 年的时间,如果是孩子,需要的时间会变短。

有牙齿的老虎怎么样,有老虎牙怎么拔

总之,如果遇到了*牙虎**或者类似的牙齿畸形情况,比如牙齿拥挤等。

有牙齿的老虎怎么样,有老虎牙怎么拔

请一定要及时去进行牙齿矫正,不仅是为自己的健康负责,也可以让自己更加自信,有更美的笑容!