病例介绍
地点:印度孟买白杰白瓦迪亚儿童医院小儿内分泌科
患儿,男,4岁10个月,因低血糖、休克和电解质失衡而被送往急诊室。最近两天以来轻度发热和多次呕吐的病史;过去两年来皮肤变黑,在嘴唇、牙龈、关节和指甲床上更为明显。患儿嗜盐,发育不良。
出生体重为2.7kg,没有明显的围产期事件。来诊时的体重为12.6kg(Z评分2.63),身高为100cm(Z评分1.91);体重:身高Z评分2.33。卡介苗接种。
体格检查发现全身色素沉着,无淋巴结肿大。男性生殖器发育正常。无腹胀,无明显肿块,无腹水。
入院时血钠为118 Meq/L,血钾为6 Meq/L,血糖为1.5 mmol/L。静脉血气分析显示代谢性酸中毒。
初步诊断:原发性肾上腺功能不全。
静脉输液、氢化可的松(50mg stat,随后是100mg/m2/d,然后逐渐降至10mg/m2/d)和氟氢可的松治疗。
全血细胞计数显示血红蛋白水平为10g/dl,总白细胞计数为12400/mm3,以淋巴细胞为主(75%淋巴细胞),血小板计数正常。红细胞沉降率显著升高(100 mm/h)。血清皮质醇水平为94 nmol/L(280~550 nmol/L),血浆ACTH水平为155.9pmol/L(0~10)。血浆肾素活性高达24 ng/mL/h(0.15~2.33),血清醛固酮水平低:0.029 nmol/L(仰卧位正常值0.3 nmol/L)。基础和促肾上腺皮质激素刺激的血清皮质醇水平分别为81.66 nmol/L和83.8 nmol/L,符合原发性肾上腺皮质功能不全。基础和刺激17α-OHP水平分别为0.75nmol/l(正常值<1.7nmol/l)和0.6nmol/l(正常值<9.6nmol/l)。
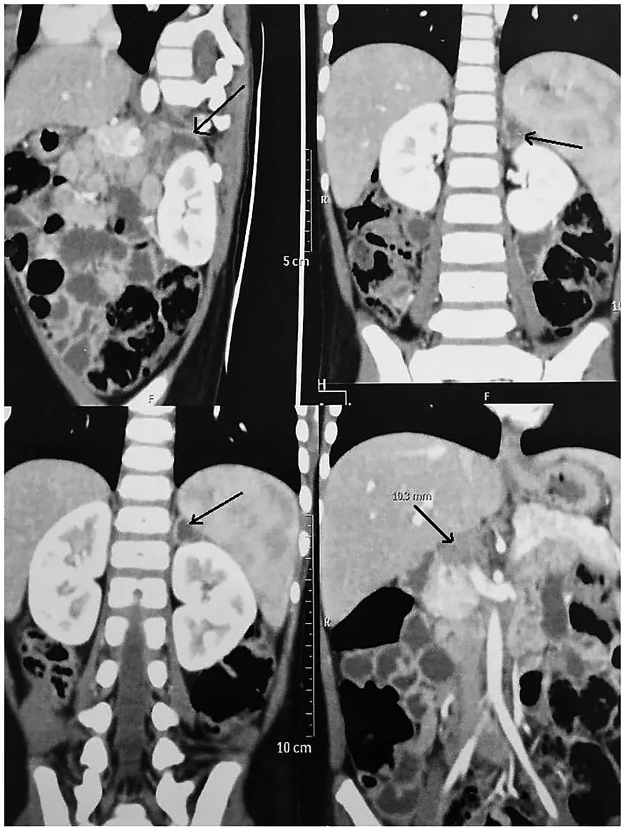
腹部CT显示左肾上腺脓肿1.8×1.1× 2.3厘米,t2呈异源性高信号,t1呈低信号,左肾上腺肿大呈异源性外周增强,门周淋巴结坏死,提示感染病因,结核可能性大。右肾上腺正常。

结核菌素皮肤试验呈阴性。胸片未见肺结核,痰中抗酸杆菌呈阴性。艾滋病毒呈血清阴性。家长肺结核的筛查为阴性。
CT引导下肾上腺脓肿活检,抽吸干酪样物质。结核分枝杆菌对利福平耐药,Genexpert分析阳性。将样本送去培养,鉴定为结核分枝杆菌。
最终诊断为急性肾上腺功能不全,由抗药性肾上腺结核引起。
立即开始接受二线抗结核治疗(ATT)-吡嗪酰胺、莫西沙星、氯氟西明、环丝氨酸和阿米卡星治疗。
病例述评
肾上腺结核菌感染仍是导致肾上腺功能低下的重要原因,尤其在发展中国家表现更加明显。约有20%~30%的Addison's病由肾上腺结核引起。相比国内,国外罕有肾上腺结核病例报道,自身免疫性肾上腺炎为大多肾上腺皮质功能低下的原因。相关研究表明有明显临床症状者肾上腺腺体至少一半遭到破坏,当累及双侧肾上腺90%以上时会出现皮质功能低下的一系列典型临床症状。原发性肾上腺皮质功能不全的临床表现具有多样性,极易被一些细小感染而掩盖症状,大约60%~100%的 患者会出现最常见的临床症状诸如体弱、乏力、厌食、恶心、呕吐、体重减轻、低血压、皮肤色素沉着。国外也曾有因无故发热猝死的肾上腺结核的报道。由于肾上腺结核临床较少见,临床相关文献报道较少,极易导致误诊误治。一些初诊为肾上腺肿瘤合并肺结核(病史)的患者,往往在使用抗结核药物治疗后肾上腺体积缩小,才被发现是肾上腺结核。肾上腺结核临床上以双侧肾上腺结核多见。临床医生及影像医生对本病缺乏全面分析,且影像对肾上腺结核的检查征象酷似肾上腺肿瘤,均是造成误诊的主要原因。结合该病例同时复习相关文献报道特将肾上腺结核诊断治疗现状归纳如下。
向上滑动阅览
1 临床表现
肾上腺结核会导致肾上腺皮质功能减退,同时可导致醛固酮、皮质醇、性激素分泌减少,反馈性地使ACTH增加,从而会有一系列表现:
①ACTH增加导致促黑素增多,继而引起全身皮肤色素沉着增加;
②醛固酮减少:低血钠、高血钾,血压降低,易发直立性晕厥及多系统反应性降低表现;
③皮质醇减少:低血糖、易感染、贫血;
④性激素减少:男性性功能减退,女性月经失调。约60%~100%患者会出现不同程度的疲劳、厌食、体重减轻、恶心、呕吐、低血压、皮肤色素沉着等症状。此病发病年龄没有特异性,以20~50岁女性患者发病居多,这些患者94.7%可找到肾上腺外的结核改变,没有。肾上腺外结核灶患者仅占5.3%。
2诊断
目前对肾上腺结核的明确诊断多见于术后病理或尸检,其临床表现及影像学特点不具有特异性且相对隐匿,在活动性肺结核的尸检中发现约6%合并肾上腺结核,即便行病理活检也有很低的检出率。肾上腺结核的诊断尚无统一标准,但患者皮质功能减低症状及结核病史、接触史或自身结核病灶证据对诊断肾上腺结核仍具有重要的指导作用。
2.1 实验室检查
患者通过实验室相关检查能及早发现皮质功能低下状况,例如血皮质醇、17-OH、17-KS及醛固酮降低、ACTH增高、低钠高钾、正细胞正色素性贫血、淋巴细胞及嗜酸性细胞增多、PPD(+)、T-SPOT、PCR等。
2.2超声超声检查
对较大的肾上腺占位具有良好的定位及定性作用,但对肾上腺结核的诊断不及CT诊断。肾上腺结核的超声诊断上指出其可行性,但考虑其诊断大多需要一些经验丰富的超声医师才能完成,在诊断肾上腺结核上临床诊断不作为首选。
2.3 CT诊断
CT检查对临床高度怀疑病例的诊断有一定帮助,郭应坤的研究统计表明91%的肾上腺结核为双侧性,51%肿大的腺体多有完整的轮廓,单侧肾上腺结核相比双侧肾上腺结核而言诊断上更具难度。早期肾上腺结核CT表现为肾上腺体积增大,增强扫描可见病灶边缘环形强化,但经过积极的抗结核干预后,肾上腺体积会逐渐恢复,病灶呈现不规则边缘,伴或不伴有钙化,若肾上腺结核病程晚期,肾上腺则呈现缩小或完全钙化。回顾性研究肾上腺结核患者的CT特征后,认为肾上腺形态、大小、钙化及低密度均与病程长短有关。根据肾上腺结核CT表现可以推测病程的长短,并据此分成3期,即:I期:双侧肾上腺增大,但仍具正常肾上腺分支结构,钙化出现率低,且较细微,可有局限性低密度,此时病程多在1年以内;II期:双侧肾上腺明显增大,形态相对不规则,钙化常见且较粗糙,呈散在分布,无局限性低密度,此时病程在1~4年之间;III期:肾上腺大小正常或萎缩,失去正常肾上腺形态,钙化呈致密斑块状,此时病程常在4年以上。目前此种分期诊断方法较多被引用认同。随着科技进展,近年来CT引导下活检也逐步开展,并能明确诊断。另外国内也有报道结合内分泌检查结果,高分辨率CT亦可区分肾上腺结核和肾上腺肿瘤,这对肾上腺肿块诊断鉴别意义重大。
2.4病理诊断
对于有明显的原发性肾上腺皮质功能不全伴双侧肾上腺增大,且有肾上腺外结核感染灶的患者,一般无需行病理检查;但有12%的患者无肾上腺外结核灶,对于这类患者肾上腺病理活检还是很有必要的。
3鉴别诊断
3.1嗜铬细胞瘤
嗜铬细胞瘤为肾上腺髓质肿瘤,一般多为单侧发病,约10%的为双侧,一般都有一定家族遗传病史,影像学检查少有<3 cm肿瘤存在。一般不伴有肾上腺皮质功能减低症状,患者多消瘦,典型患者还同时伴有高血压、头痛、心悸、多汗,口服一般降压药往往控制血压不理想,行香草扁桃酸(vanilmandelic acid,VMA)检测多高于正常,相对容易鉴别。
3.2肾上腺皮质癌
肾上腺皮质癌多为单侧发病,病灶内有坏死或钙化,增强CT显示边缘强化明显,部分有腹膜后淋巴结肿大,甚至远处转移。患者多有皮质功能亢进症状,有满月脸、水牛背等库欣综合征表现。
3.3原发性醛固酮增多症
原发性醛固酮增多症由肾上腺皮质球状带分泌醛固酮激素增多引起,患者无皮质功能低下表现,临床症状以高血压、低血钾、低肾素、碱中毒为主,结合患者临床表现及血醛固酮及钠钾水平易于鉴别。
3.4 肾上腺转移性肿瘤
肾上腺转移性肿瘤多源于肺癌、乳癌、胃癌、肝癌和胰腺癌,病灶可发生在一侧。肾上腺,也可是双侧转移。影像学检查可发现肾上腺肿大,中心伴有出血或坏死。增强CT扫描可见环形强化。临床上多伴有原发病相关症状,无皮质功能减低表现。
4治疗
肾上腺结核一旦确诊,需及时治疗。目前,规律、全程的抗结核和激素终身替代治疗发是治疗肾上腺结核的有效方法。在与肿瘤无法鉴别,不能明确诊断时,排除手术禁忌也可手术治疗。
4.1 激素治疗
一般激素多选用氢化可的松,起始时每日剂量约20~30 mg,以后可逐渐减量,约至15~20 mg。具体剂量需结合患者身高、体重、性别、年龄、劳动强度适当调整。若ACTH控制不理想,无法改善皮肤色素沉着,需改用长效激素替代治疗。同时患者需摄入充足的钠盐,每日至少8~10 g。针对血压偏低、头晕、乏力的患病人群,需加用9α-氟氢可的松。患者治疗期间发生发热、手术、外伤等应激情况,糖皮质激素的使用剂量应增加2~3倍。
4.2抗结核治疗
肾上腺结核抗结核治疗同样需要遵循早期、联合、适量、规律、全程的原则,其疗程至少18个月,必要时行终身抗结核治疗。病程<1年的患者抗结核治疗后肾上腺皮质功能可完全恢复正常。超过1年的患者多有肾上腺皮质功能低下,避免激素使用时结核播散,需要先行抗结核治疗半年后再行激素替代治疗。
4.3 手术治疗
肾上腺结核手术需掌握如下手术指征方可手术:
①结核未处于活动播散期;
②结核球病灶>2 cm干酪样灶不易愈合;
③病灶难与肿瘤鉴别;
④术前应用有效抗结核用药2周以上。
患者术后仍需抗结核治疗至少6个月。术者术中术后需严密观察患者,当患者出现发热、腹胀、恶心、呕吐、精神萎靡、乏力嗜睡、肌肉僵痛、血压下降症状时,考虑肾上腺危象的发生。需积极干预治疗,最初1~2 h内迅速静脉滴注氢化可的松100~200 mg,5-6 h内达500-600 mg,第2~3 d可给予氢化可的松300 mg,然后每日减少100 mg;同时积极补液(前两日每日2000~3000 mL),积极控制感染及其他诱因。待患者好转后激素逐渐减量,1周后恢复正常替代量。
综上所述,肾上腺结核在我国是引起肾上腺皮质功能低下的主要原因,该病临床较少见,多会误诊为肾上腺肿瘤,提示临床医师切勿忽视与主诊断无关的临床症状,尤其注重患者结核病史及Addison病相关症状,一经诊断需尽早治疗,避免拖延病情。