甲状腺是人体重要的内分泌器官,甲状腺的疾病也较多,其中就外科而言甲状腺结节是一种常见病多发病,甲状腺结节多为良性(超过90%),甲状腺良性结节较小时仅需定期随访,无需特殊治疗。但甲状腺结节绝大部分是不会自行消散,而随访的目的仅仅是及早发现其恶变或待其出现症状时在及时处理。因为较大结节可能会引起颈部不适、胸闷、声音嘶哑等情况,其中约有20%的结节最终会演变为恶性肿瘤既常说的甲状腺癌,因此及时的处理一些较大的良性结节是十分有必要的。目前甲状腺结节的治疗方式有很多,有常规的手术治疗,也有腔镜的美容手术,而所有这些治疗方式无一例外均会对患者造成手术创伤及瘢痕形成,腔镜的美容手术虽将原位于颈部的伤口隐藏到腋窝,乳晕,口腔的较为隐蔽的位置,但手术本身由于游离面较大,创伤并未减少反而增大,因此目前 公认为甲状腺的腔镜手术仅作为一种美容手术而非微创手术,基于以上原因近些年随着技术的发展和患者自身的微创诉求,逐步发展出一种真正真正意义上的兼顾微创治疗和完美美容效果的甲状腺治疗新方法——甲状腺热消融术,该手术具有术后无瘢痕(—真正完美的美容手术)、创伤小、恢复快、术后无需吃药等优点。
甲状腺肿瘤热消融术主要是利用各种射频、微波等技术产生的局部高温高热将甲状腺结节灭活,这一“消”的过程使结节失活而不影响正常的组织从而达到杀死肿瘤组织的效果;灭活后的组织被人体免疫系统识别为异物,通过人体的自身免疫将灭活组织吸收,进而达到“融”的目的。在这一消一融的过程中达到治疗目标,肿瘤失活、肿块消失。甲状腺结节微波消融术是一种体内原位灭活肿瘤以达到局部根治(热切除)的技术手段。
这些抽象的概念大家可能会云里雾里,不知其为何物,但是如果说起微波炉,想必很多人都知道,就是那个让你不再吃冷菜冷饭的加热神器,而微波消融术的原理与此有异曲同工之妙。因此,可以简单地理解,微波消融术就是将一根尖端带有“微型微波炉”的特制针,经皮穿刺到肿瘤区域,释放微波使肿瘤组织产生高温,凝固坏死,之后机体吸收清除坏死物,使病灶缩小甚至完全消失,从而有效治疗疾病。
甲状腺微波消融手术过程可概括如下:在彩超引导及监测之下,通过直径仅仅为 1.4mm 的微波穿刺针,将热能导入甲结节结节内,针尖发热,产生达100-120度的高温,可使结节或癌灶发生凝固坏死使甲状腺结节在高温的作用下凝固坏死,治疗后一段时间,坏死组织逐渐纤维化,最终被人体吸收,该方法可最大限度的保留甲状腺正常腺体,避免术后长期服用药物的窘境,大大提高患者生活质量,热消融术目前已成为甲状腺良性结节首选的治疗方法。

通过电极释放射频或微波振荡,使组织内的分子等随高频震动(左),将电能转换为热能,使组织凝固坏死(右)

甲状腺热消融的手术示意图
自2020年以来阜阳市第二人民医院普外科一病区已成功开展多例该技术,是广大颖淮甲状腺患者在家门口就可享受的这一技术。

术前准备,手术仅需局麻,无需全身麻醉

术中精准定位,并注射隔离带保护重要血管、神经等,尽量将损伤讲到最低

消融前后通过超声造影可以看出消融后肿块完全失活

术后患者颈部手术区域皮肤仅有穿刺点,无任何手术瘢痕。

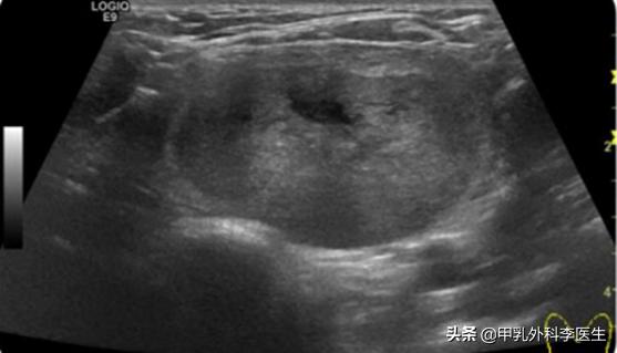
术前肿块体积:4.8cm*3cm

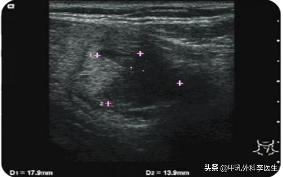
术后3个月肿块体积:3.7*2.1cm

术后6个月肿块体积:1.8*1.4cm
术后6个月肿块体积:1.8*1.4cm
从上图在术后的长期随访中甲状腺肿物体积明显缩小。
甲状腺结节微波消融适用于哪些患者?
1)甲状腺单发或多发的良性结节,直径≧ 0.5cm;
2)良性存在与结节明显相关的症状,如:颈部不适、疼痛、吞咽或呼吸困难等;
3)外科手术残留的结节,或者残余正常腺体组织内新生结节;
4)术后复发的甲状腺恶性结节及淋巴结转移者;
5)严重的瘢痕体质及美容要求者;
6)儿童的甲状腺结节、准备受孕的女性甲状腺结节者;
7)患者高龄合并心肺功能障碍不能耐受手术,或者心理压力大影响正常生活而拒绝临床观察及不愿意接受外科治疗者为相对适应症。
8)高功能腺瘤,患者又拒绝手术及 碘131治疗,可以考虑消融治疗;
温馨提示:
1)大部分结节经过1年的随访均会消失,个别患者的消融坏死区域吸收极其缓慢,存在数年之久,但是没有给患者带来任何不良影响;
2)消融后结节变硬了:结节经消融后水分脱失,质地变硬,因此术后摸上去反而比治疗前硬了,这是正常且必然的术后改变,最终绝大多数患者的结节都会被吸收;
3)消融后结节的超声表现类似恶性肿瘤:消融区的超声影像表现与术前不同,回声减低且较杂乱,其内未见血流信号,因而易被没有治疗经验的超声医师或临床医师误判为恶性肿瘤,甚至建议患者再行手术切除,造成没必要的手术创伤,因此,我们强烈建议患者回到您的主治医师处复诊;
4)甲状腺癌的消融治疗是否有效和安全:根据大量研究报道成果,甲状腺微小乳头状癌的微创消融治疗有着与传统开刀手术同样的治疗效果,但给病人带来的损害则低的多,通俗地说:性价比最高。国内微创介入专委会消融分会已经把部分甲状腺微小癌的微创消融治疗写入了专家共识,为甲状腺微小癌消融治疗的普及提供了规范的治疗和理论依据(但同时也提醒患者甲状腺的微小癌的消融治疗必须谨慎)。对于多次开刀手术的甲状腺癌,微创消融手术的优势是所有医生公认的,没有任何异议;甲状腺结节微波消融技术达到了不开刀、微创伤消除甲状腺良性病变的目的。术后患者的甲状腺功能保留完好,不需终身服药,目前已成为世界卫生组织(WHO)推荐的甲状腺良性病灶的治疗技术。
5)有些患者的甲状腺结节要分期消融:不同患者之间存在个体差异,有些患者的甲状腺结节不仅数量多,而且体积大,位置深或者是与重要的大血管、气管、食管、神经等相距甚近,不适合一次性消融治疗。或者有些患者的结节虽然具备一次性消融的条件,但是治疗过程中可能发生这样那样不能耐受的情况,为了安全起见,医生会适时中止治疗,如果结节还没有全部消融完,那么就会留待下一次继续消融。