病历摘要
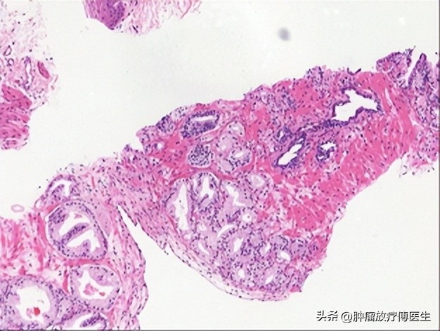
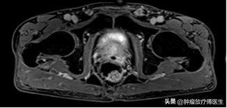
患者,男,76岁。2015年10月于外院体检发现前列腺特异性抗原(prostate specific antigen,PSA):19ng/ml,2015年10月21日就诊于我院泌尿外科,查PSA 17.590ng/ml;盆腔磁共振(MRI)示(图1)前列腺体积稍大,大小约4.7cm×3.1cm×3.6cm,左侧外周叶内可见结节样异常信号影,大小约2.2cm×1.6cm,边界欠清,考虑前列腺癌。全身骨显像未见异常。2015年10月26日行前列腺穿刺病理活检示(图1-2)(左外腺)前列腺增生症,局灶低级PIN,(右外腺)前列腺增生症,背景中见小灶高分化前列腺腺泡细胞癌,Gleason评分3+2=5。

图1 2015年10月23日放射治疗前盆腔MRI

图2 2015年10月26日前列腺穿刺活检病理
【临床诊断】
前列腺腺癌(T2N0M0,Ⅱ期,中危)。
【治疗过程】
根治性放疗:2015年11月6日行前列腺癌根治性调强适形放射治疗,考虑患者病灶局限于前列腺内,76岁高龄,为提高生活质量,放射治疗范围为小靶区照射,不良反应轻,故不予盆腔预防照射,靶区包括前列腺及双侧精囊,肿瘤照射剂量72Gy/40f/8w。
同步内分泌治疗:放射治疗过程予以“比卡鲁胺50mg口服,1次/日+注射用醋酸亮丙瑞林3.75mg皮下注射,1/4周”内分泌治疗。
疗效:2015年12月29日放射治疗结束复查(图3)PSA 0.088ng/ml,睾酮12.25ng/dl,提示治疗有效;2016年5月27日复查PSA<0.079ng/ml,2016年12月28日复查PSA 0.052ng/ml,2017年7月复查PSA 0.01ng/ml。考虑疾病控制良好,故停止内分泌治疗。2018年6月复查PSA 0.004ng/ml,睾酮89.75ng/dl。放射治疗后随访至今无排尿困难,无尿频、尿急、尿痛及血尿脓尿,无发热、腰痛、骨痛等,生活自理、健体娱乐活动正常,生活质量高。

图3 2015年12月28日放射治疗中复查盆腔MRI
病例分析
(1)患者明确诊断为前列腺癌(T2N0M0,Ⅱ期,中危组),因患者盆腔MRI提示肿块局限于前列腺内,因此T分期为T2;中危因素包括PSA 10~20ng/ml。根据美国国立综合癌症网络(National Comprehensive Cancer Network ,NCCN)指南Ⅱ期患者预期生存期大于等于10年,可选择放射治疗联合全雄激素阻断内分泌治疗或根治性前列腺癌切除术+盆腔淋巴结清扫术,该患者无其他基础疾病,预期生存期大于等于10年,首选放射治疗及内分泌治疗,患者76岁高龄,为提高生活质量,放射治疗范围为小靶区照射,不良反应轻,可耐受,有效控制病情。
(2)随着前列腺癌诊断技术的提高,越来越多的前列腺癌在早期即被确诊。然而,在确诊为早期前列腺癌的患者中,部分患者由于年老多病而不能耐受手术,而他们的肿瘤分化程度可能较差,分期偏晚,采取等待观察处理的方式肯定不合适,这时可采取与手术治疗效果差不多但创伤小、能耐受的治疗方法——放射治疗。放射治疗是指应用放射线治疗疾病的一种方法。人们很早发现,当用放射线照射癌细胞时,癌细胞会慢慢死亡。30年临床实践证明,足够剂量的放射治疗(至少70Gy以上)可以有效控制前列腺癌,达到与根治手术相同的疗效。
参考文献:
《前列腺癌病例精解》科学技术文献出版社,2020.5