要点 一些中年血管瘤患者表现为下肢静脉曲张,经验不足的医师可能误诊为静脉曲张。先天性血管瘤的特点是发病年龄为儿童或青少年,患肢增粗明显,查体病变范围广,结合磁共振、血管造影可以明确诊断。治疗应该首先考虑介入治疗。由于手术切除时出血多,治疗不彻底,效果不理想,因此手术切除不是首选措施。
病例报告
术 前 患者陈GF,男52岁,自10岁发现左侧下肢腘窝皮肤有直径2cm包块突出于皮肤表面,在15岁时在山东济南中医院局部手术切除部分病灶,此后病变一直存在变大,曾去过国内多家医院诊治,怀疑是静脉曲张。患者于2023年2月27日到北京航空总医院血管外科特需门诊咨询后入院治疗。查体发现左侧下肢明显比右侧增粗畸形,腘窝皮肤外观葡萄色,皮肤皱褶高出皮肤表面,向下蔓延到小腿的中间部位。大腿后内侧可见隆起的包块,阴囊肿大,皮肤有紫色的橘皮样外观。 MRI(图1,2)和静脉造影(图3)显示为静脉血管畸形。

图1 左腿MRI显示下肢小腿静脉血管畸形

图2 左腿MRI显示下肢大腿静脉血管畸形

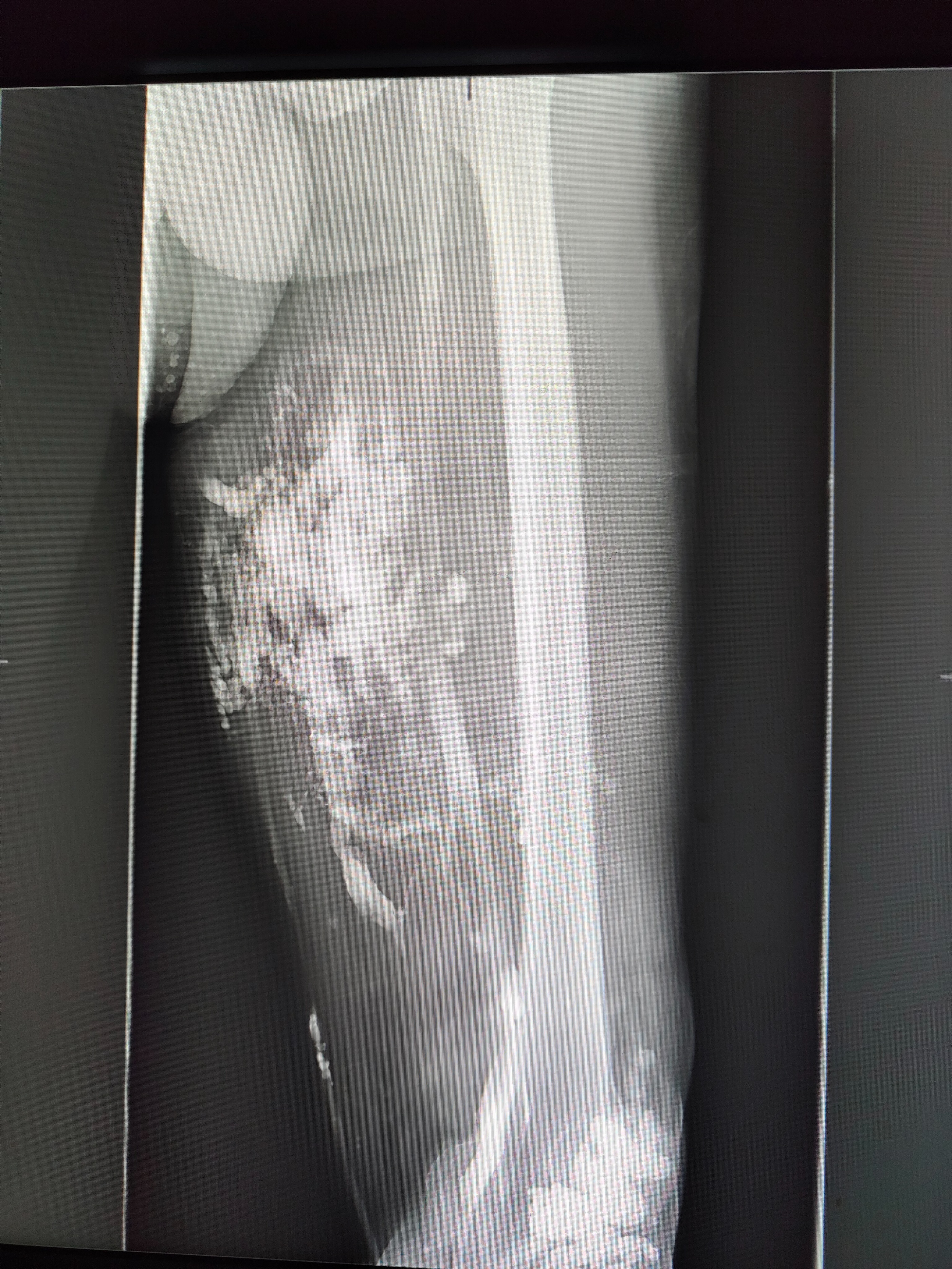
图3 静脉造影提示下肢静脉畸形,血管分布杂乱无序
手术过程
2024年3月1日在硬膜外麻醉下手术,病灶内注射聚桂醇泡沫硬化剂, 激光闭塞病灶,小腿部位病灶手术切除,术中见病灶如海绵样或马蜂窝样,出血多。
术后效果
术后采取绷带加压包扎,抗凝抗栓治疗。术后7天出院,出院时症状明显改善,腿变细 (图4)。

图4 血管瘤治疗后,腿外观明显改善变小
病例讨论
患者在国内多家医院治疗,诊断不明确,曾按静脉曲张治疗。确切诊断是先天性静脉血管畸形,容易和K-T综合症混淆。K-T综合症特点是色斑沉着,静脉曲张,或伴有骨骼发育异常。 由于血管畸形,范围广,出血多,手术切除不是首选的治疗措施,应该首先考虑介入治疗,或硬化剂注射治疗和热消融闭塞病变。本例治疗后腿沉重坠胀感等不适症状消失。腿外观形状改善。
术者简介 任师颜 北京航空总医院血管外科主任医师。 北京大学医学部副教授、研究生导师。山东滨州医学院医学学士,第三军医大学外科学硕士,军医进修学院(*013院医**)外科学博士,美国加州大学旧金山分校(UCSF)博士后和加拿大哥伦比亚大学(UBC)博士后。通过美国、加拿大医师执照考试,在法国巴黎大学Paul Brousse 医院、美国UCSF附属医院、加拿大UBC医院和北京协和医院血管外科工作交流。北京市医学科普专家。擅长外周血管疾病,特别是血管瘤、KT综合征、静脉曲张、深静脉血栓后综合症、下肢难治顽固性溃疡(老烂腿)、血栓闭塞性脉管炎(Buerger's 病)的处理。 综合微创技术治疗静脉曲张,术后即可步行,住院时间0-1天, 无传统手术的痛苦。血管瘤、KT综合征患者治疗后症状改善明显。