这是一个20年前的病例,小编今天分享给大家的主要目的是:给予患有此病的朋友以鼓励和信心,希望患有此病的朋友增强抗病的决心,早日战胜病魔,恢复健康体魄。

医案过了20多年,但是放在今天仍然有积极意义。20多年前的医疗条件比现在差很多,都有治愈的病例。何况今天各方面的医疗条件一定比20年前好得多,希望此医案给喜欢中医的以研究和借鉴,开拓更好的药方,造福需要的病患。

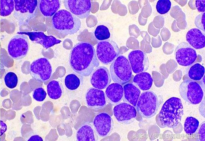
病例:梅晓华,男,26岁,吴廷巾车坊大姚六队农民。因胸闷、腹胀、发热、头晕、乏力就医,发现脾肿大,于1996年9月20日经苏州吴县市笫一医院检査白细胞560 x 10的9次方/L,骨髓象示粒系显著增生占98%,以中、晚幼粒细胞为主,诊断为慢性粒细胞白血病。

其染色体检查:染色体数目46,9;22异位。临床检查脾在肋下5 指,中医辨证属肝经实热症积。用药选用高氏慢粒验方(《中医治癌大成》1080页)加干扰素300万U肌注治疗,每周3次,3周后白细胞下降至146 x 10的9次方/L,脾脏开始缩小。

至1996年10月28日复查血红蛋白102g/L,红细胞3.65 x 10的12次方/L,白细胞5x10的9次方/L,中性粒细胞0.64,淋巴细胞0.35,单核细胞0.01,血小板80 x10的9次方/L,B超示脾肋下4cm。至1996年11月22日出院,继续中药及干扰素治疗,连续3个月。

1997年1月4日复査,血红蛋白110 g/L,白细 胞5.4x10的9次方L,脾肋下未触及,骨髄象也完全缓解,改用补肾为主, 佐以解毒祛邪中药汤剂巩固维持治疗,每2天服一剂。至今已经5年,情况良好,保持无病生存,已从事正常工作。

案理析要:立案虽简,但辨象论治已寓其中。舌淡脉细,已示气血两虚。冬、芪、术、胶,并补气血,虽为扶正,实已蕴藏抗癌之义。