这是我们刚治疗的一个晚期胰腺癌,病人56岁。患者在一个月前因上腹部不适至医院检查,发现胰腺肿瘤,然后至上海瑞金医院,经过腹腔镜下活检穿刺,确诊为“胰腺癌肝转移”,予以了一次化疗,因化疗反应比较重,所以没有后续进一步治疗。现在患者体重下降了20斤左右,由于无法传统手术切除,至我们中心进行治疗。

病人病历和病理
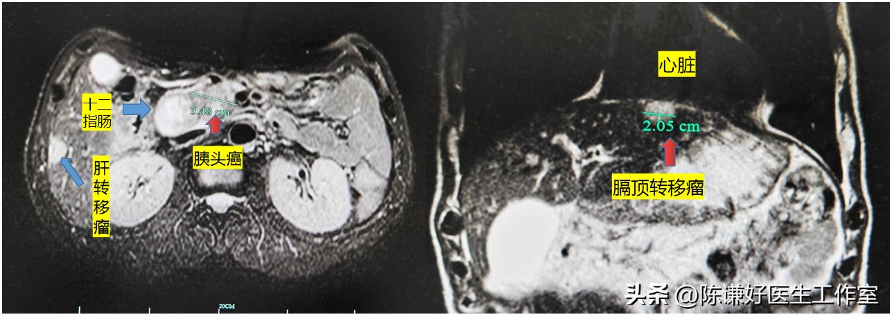
病人术前磁共振显示肿瘤发展迅速,肝内已经有多发转移,这种临床一般诊断为晚期胰腺癌,目前国内大多数医院主要治疗方案是以化疗为基础,然后联合肝动脉灌注化疗,靶向免疫治疗。但是大多数效果均不理想,一般中位生存期在3-6个月左右。

病人术前磁共振图像
对于这样的患者,我们中心的治疗方案是先海扶刀对胰腺肿瘤和肝转移瘤进行消融减瘤,消灭原发病灶,减轻患者肿瘤负荷,再联合化疗+肝介入治疗,一般能对肿瘤进行一个有效的控制。并且海扶刀治疗属于微无创治疗,对病人身心干扰小,恢复快,对其他肿瘤内科治疗有辅助作用。

胰头癌海扶刀治疗前后图像对比
患者最终在我们中心接受了微无创的海扶超声消融治疗,术中对胰腺肿瘤和肝转移瘤都进行了消融,术中显示肿瘤坏死满意,病人术后第一天随访,几乎没有特殊不适,术后第一天输完液后就出院回家了,然后在当地继续肿瘤内科治疗。

肝膈顶转移瘤海扶刀治疗前后对比
这个病人尤其特别的是,患者肝转移瘤位于膈顶,靠近心脏,如果选择传统的治疗方法,很难处理,即使使用微创的射频消融或者微波消融,损伤膈肌和心脏的风险比较高,而海扶刀治疗属于微无创治疗方法,对这些特殊部位的肝转移瘤也能进行很好的消融。