
本文来自微信公众号中日友好医院口腔医学中心
改革开放以来,人民群众的生活水平不断提高,绝大多数人民已解决温饱问题。随之而来的是饮食结构的巨大变化,伴随生活水平提升的是含糖食物的摄取量剧增,在儿童青少年中这一问题尤其突出。
01
牙列阶段与牙齿萌出
首先,我们了解一下儿童的牙齿。人的一生有两副牙齿:乳牙与恒牙。牙列的整个发育过程可分为三个阶段,即乳牙列阶段、混合牙列阶段和恒牙列阶段。从6个月第一颗乳牙萌出开始,到6岁第一恒磨牙萌出前,称为乳牙列阶段。从第一颗恒磨牙萌出开始,到12岁全部乳牙被替换完毕,称为混合牙列阶段。此后牙列中全部为恒牙,称为恒牙列阶段。乳牙与恒牙的萌出顺序和时间见图1、2。

图.1. 乳牙萌出时间。

图.2. 恒牙萌出时间。
02 龋病的流行病学
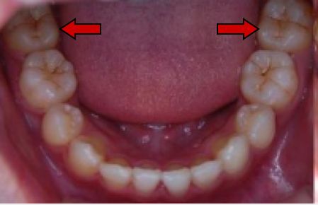
2005年第三次全国口腔健康流行病学调查结果:5岁儿童乳牙患龋率66%,而未治疗率达97.1%。可见我国儿童乳牙存在患龋率高、就诊率极为低下这一严峻的现状。而且,由于口腔保健工作的不完善,低龄儿童的患龋率有越来越严重的趋势。加强低龄儿童龋病的预防,已迫在眉睫。乳牙龋的防治工作刻不容缓。到了混合牙列期,随着恒牙逐渐萌出,恒牙的患龋率开始升高。以12岁儿童为例,据第三次全国口腔健康流行病学调查结果显示,恒牙患龋率为28.90%。而混合牙列期第一恒磨牙常被家长误认为乳牙(图3),不予重视,因此,治疗乳牙的同时,应常规检查年轻恒牙有无患龋,一旦发现,应及时治疗。

图.3. 第一恒磨牙易被家长误认为是乳牙。
03 龋齿的病因
在临床工作中经常有家长问:“为什么我们家孩子也不怎么吃糖而且也天天刷牙,牙齿还是坏了?”为了回答这个问题,我们得先了解龋病的病因。我们的口腔是个潮湿、高温且富含微生物的环境,有研究显示牙菌斑(附着于牙齿表面的口腔微生物群落)中能分离出超过500种不同的微生物。正常情况下,口腔中的微生物绝大多数都是“正常菌群”,各种微生物之间形成“生态平衡”,相互影响,相互制约。但是当我们的口腔卫生欠佳时,口腔中的“生态平衡”就会遭到破坏,致龋菌大量繁殖,就构成了第一个要素-细菌。这些致龋菌只有在分解食物中的糖产生酸性物质时,才具有真正意义上的致龋能力,而食物,就是第二个要素。
临床工作中,确实会见到少数患者,他们口腔卫生维护做得很好,也很少吃糖,但是就是容易得龋齿,这种情况下我们就要更多地在“他们自己身上找原因”,这就是第三个要素-宿主。宿主因素,通俗地讲就是龋齿的易感性,就是说这个人容不容易得龋齿。宿主因素主要包括牙齿矿化程度、唾液量和唾液流速、全身因素等。牙齿矿化程度不难理解,牙齿矿化程度越好,对抗酸性物质腐蚀的能力就越强,反之亦然;唾液的一项重要功能就是自我清洁作用,唾液量越多且流速越快,对牙齿表面的食物残渣和细菌的冲刷作用就越强;全身因素相比于矿化程度和唾液而言影响较小,主要包括微量元素、全身疾病、内分泌、遗传等。以上三个要素共同作用下,需要经过一定时间,才能形成龋齿的实质性病变,所以时间就构成第四个要素。
综上所述,龋病发病机制可以总结为:致龋细菌分解了食物中的糖产酸,酸性物质腐蚀龋高易感性个体的牙齿,此过程持续一段时间后形成龋齿,如图4。

图.4. 龋病的病因。
04 龋齿的临床表现
说完了龋齿的病因,我们再来了解一下龋齿都有哪些临床表现。在此之前,我们有必要了解一下牙齿正常结构(图5)。

图.5. 牙体组织结构层次。
牙体组织由内而外分为牙釉质、牙本质和牙髓。龋齿的临床表现可以归纳为:
1.色泽改变。牙体组织变色,呈现白垩色、棕黄色、黑色等。
2.外形缺损。牙体组织被酸性物质腐蚀后形成缺损。
3.质地改变。牙体组织被酸性物质腐蚀后变软。
4.进行性发展。牙齿一旦患龋,如果不去除局部存在的菌斑致病因素,病变就会缓慢、持续地进展,很难自动停止,也没有自愈性。
5.感觉变化。仅波及牙釉质的早期龋损,患牙可以完全没有疼痛和不适症状。一般是当龋进展到牙本质层出现龋洞时,患牙会出现对冷热刺激敏感。经常进食嵌塞或食物嵌入龋洞时疼痛等症状,但均为一过性表现,刺激消失,症状随之消失。
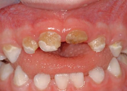
图6、7显示临床上最常见的乳牙龋齿色泽改变和外形缺损。

图.6. 乳牙龋齿色泽改变和外形缺损。

图.7. 乳牙龋齿色泽改变和外形缺损。
05 乳牙龋齿的危害
会有一些家长错误地认为:“既然乳牙是要替换的,那就没有必要治疗了。”其实,龋齿对于儿童的危害超过成人,这种危害既影响局部也影响全身。特别是乳牙龋及其继发病变造成的后果,有时比恒牙龋更广泛、更严重。因此,对乳牙龋应该更加重视和及时治疗。那么,乳牙的龋齿具体会有哪些危害呢?
(一)局部影响
1、影响咀嚼功能
2、引起恒牙萌出异常
3、引起继承恒牙发育异常
4、诱发不正常咬合:
1)近远中关系异常,
2)垂直关系异常
5、损伤口腔粘膜等软组织
6、影响颜面发育
(二)对全身的影响
1、影响全身发育
2、全身抵抗力减弱
3、牙源性病灶感染、低热、风湿性关节炎、蛛网膜炎、肾炎、风湿热等
4、对儿童身心发育影响(发音和美观)
06 龋齿的预防要点
下面,我们来谈谈不同年龄段的孩子该如何预防龋齿。
(一)胎儿期
1、父母开始制定孩子口腔保健计划的最好时机。
2、父母良好的口腔保健习惯及其对孩子的示范作用,将有助于促进父母和孩子的口腔健康。
(二)婴儿期(0-1岁)
1、从第一颗乳牙萌出开始就要进行口腔菌斑清洁。
2、孩子第一次口腔检查:第一颗牙齿萌出的时间或最迟在孩子12个月之前。
检查目标:
a. 通知父母使用上述口腔保健措施是必要的;
b. 孩子的牙科检查、氟状况的评估、与喂养和奶瓶龋有关的饮食建议及其它的健康状况咨询;
c. 孩子开始熟悉牙科环境、牙科工作人员的时间,避免或减少将来的牙科治疗恐惧。
(三)幼儿期(1-3岁)
1、提倡开始刷牙去除菌斑。约在3岁左右,可以开始使用牙膏。注意潜在的氟化物吞咽,每次刷牙用小豌豆大小的牙膏。
2、刷牙这一过程主要还是靠父母来完成。
(四)学龄前期(3-6岁)
1、孩子刷牙能力显著提高,但父母仍是口腔卫生保健的主要提供者。注意氟化物的吞咽, 每次用豌豆大小的牙膏。
2、建议可以开始使用牙线。
3、家庭中可以指导性地使用氟凝胶和含氟漱口水,应少量且仅局限于那些中、高度龋患孩子的家长。
(五)学龄期(6-12岁)
1、孩子的责任心增强,自己能进行口腔保健,但父母的参与仍是必须的。
6-9岁,父母帮助清洁孩子难以到达的区域。
9-12岁,父母进行积极的监督。
2、氟凝胶和漱口水仅用于那些高危龋的孩子。
3、随着早期错合畸形治疗的增加,增加了龋及牙周疾病的危险。因此需特殊关注这些孩子的口腔卫生保健。增加刷牙和使用牙线的频率和程度。除使用含氟牙膏外,也提倡使用氟凝胶和含氟漱口水。
(六)青少年期(12-18岁)
1、青少年具有足够的口腔保健能力,但是否自觉地进行成为这一年龄段的主要问题。
2、不良的饮食习惯和青春期激素的改变增加了青少年患龋和牙龈炎症的危险。
3、激励他们像年轻成年人那样增强责任心;
4、同时家长不要*制专**,要准备采纳孩子的个性改变;加强对孩子口腔卫生保健的指导,增加青少年关于菌斑和预防口腔疾病的知识并要求他们的积极参与。
(七)提倡正确刷牙
建议儿童刷牙采用竖刷法,需强调要刷至少3分钟,早晚各一次。具体方法见图8。

图.8. 刷牙方法图解。
(八)为孩子进行窝沟封闭
牙齿在发育时期,牙尖与牙尖之间的融合处形成点隙裂沟的形态。有时沟裂很窄很深且口小底大,加之底部釉质层很薄甚至却如。因此,此处聚集的细菌和形成的菌斑不易清除,其代谢过程生成的有机酸等也容易滞留在原位,是龋易发生和扩展的部位。针对牙齿的这一特殊结构,我们可以利用牙科材料将这些点隙裂沟封闭起来,这样就大大降低了点隙裂沟处发生龋坏的风险。这就是我们常说的窝沟封闭。建议6-7岁时封闭第一恒磨牙,11-13岁封闭第二恒磨牙。窝沟封闭防龋原理示意图见图9.

图.9. 窝沟封闭防龋原理示意图。
(九)饮食指导
饮食指导方面,我们建议家长做到以下几点。
1)控制含蔗糖多的饮食
2)避免粘着性强和在口腔停留时间长的饮食
3)间食同时给茶、水和牛奶饮料
4)间食后口腔清洁
5)睡前、饭前不给间食
6)合理使用哺乳瓶(1--1.5岁停用,10个月练习用杯子)
07 龋齿的治疗
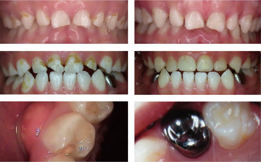
龋齿常规治疗方法为充填治疗,也就是俗称的补牙,治疗步骤大体为:利用旋转器械和挖匙等去除腐败的牙体组织,并对窝洞的形态进行制备,最后利用充填材料对窝洞进行充填。图10显示儿童龋齿治疗前后的对比图。目前常规的充填材料为复合树脂,这种材料经过几十年的发展,生物学和力学性能都有了大大的改善。它具有美观、快捷、价格相对低廉等优点。另一方面,复合树脂的缺点也不容忽视。复合树脂材料随着时间的推移会发生边缘微渗漏、老化、折断、着色等一些列问题。其中,边缘微渗漏会导致充填体和牙齿界面发生继发龋,造成治疗失败。继发龋的发生也需要前面提到的细菌、食物、宿主以及时间这四个要素。换句话说,即便是做了完善的充填治疗后,如果在这四个要素方面做得不够好,牙齿还会再次龋坏。所以,儿童口腔医生建议至少每6个月要进行一次口腔检查。

图.10.儿童龋齿治疗前后对比。
08 结束语
本篇文章中我们带您了解了儿童龋齿的病因、危害、临床表现、治疗、预防等知识。不难发现,我们很多家长在孩子的龋病防治方面重视程度不够或者虽说足够重视但是存在着一些观念上的误区。而家长的不作为和错误观念会增加孩子患龋的风险,造成额外的时间、金钱的支出甚至孩子不得不忍受额外的痛苦。
作为家长,如果我们能从孩子很小的时候开始就为他/她进行正确的口腔卫生维护,保持良好的饮食习惯,定期做口腔健康检查,尽早处理早期的口腔健康问题,这将大大有利于建立孩子良好的牙科态度,从而有助于孩子终身保持良好的口腔健康,而良好的口腔健康是孩子身心健康成长的重要保障。让我们一起努力,以正确的理念和科学的方法做好龋齿的防治,让孩子终身受益!
作者介绍:全星宇
毕业于北京大学口腔医学院并获得口腔医学博士学位,毕业后任职于中日友好医院口腔医学中心,目前是一名住院医师。主要从事儿童口腔相关临床、科研工作,擅长乳牙及年轻恒牙龋病、牙髓病及根尖周病的综合防治及儿童牙外伤的综合诊治与咬合诱导。以第一作者身份在中华口腔医学杂志发表学术论文一篇。