“在这看会儿动画片,闻到香蕉味儿以后闭上眼睛睡一觉,牙齿就像变魔术一样都变好啦!”
口腔科葛鑫主任正温柔安抚,即将开始进行全麻下口内牙病治疗的5岁孩子。
01 重度龋齿 孩子疼痛不愿意进食
5岁的辰辰(化名)由于口腔卫生习惯不佳,一年前就开始有了龋齿。
后续发展到口内存在多个虫牙,等到3个月前,已经出现了牙齿疼痛、牙龈肿起脓包等现象,辰辰妈妈带着去医院就诊。
看着平时性格开朗、活泼好动的辰辰,到了医院看到身穿白大褂的医生,感觉特别害怕,怎么也不愿意配合检查和治疗。

(图片来源于网络)
医生检查出,辰辰口内存在多个患牙。全部治疗完成需要多次复诊,耗费时间较多,治疗周期较长。由于孩子害怕,辰辰妈需要考虑。
四天前,发现辰辰一侧龋齿疼痛,几乎不太愿意进食了。这下更是急坏了辰辰妈妈。

正巧,市人医(市四院)航天城院区口腔科开设儿童口腔专科门诊,特地带着辰辰来试试。
02 5岁孩子全麻下进行口腔治疗 安全吗?
口腔科葛鑫主任详细询问病史,全面检查辰辰口内情况,确诊是重度婴幼儿龋,并提出全身麻醉下口腔综合治疗的方案。
近年来,对于儿童牙科恐惧症及重度婴幼儿龋患者,全身麻醉已经成为儿童舒适化牙科诊疗的一个重要手段,可有效避免儿童牙科就诊的畏惧心理。
一次性完成所有牙齿治疗,缩短治疗周期,减少了复诊次数。但手术治疗时间长, 对医生经验和技术要求较高。
考虑到口腔手术位于颌面部,术野狭小,与麻醉工作区域存在一定的重合。麻醉团队和口腔科团队多次沟通,现场演练麻醉手术流程,全力保障麻醉顺利平稳。


手术前1天,麻醉科胡胜主任团队进行了术前访视和安全评估,整个团队分工明确,配合流畅,为手术提供了坚实的保障。
03 约2小时 团队协作顺利完成手术
为缓解辰辰恐惧情绪,术前准备及实施麻醉时,为辰辰放映他喜欢的动画片,转移注意力。

6月18日上午9时23分,全身麻醉完毕,口腔手术正式开始。
葛鑫主任依照术前制定的治疗计划,按顺序进行多颗乳牙的治疗。

盖髓术、根管治疗术、预成金属冠修复、乳牙拔除、间隙保持器印模制取……
每个步骤都有条不紊地进行,麻醉团队全程监护,在整个手术团队的通力配合下,上午11时整,手术顺利结束,全程耗时约2小时。
术后,在复苏室麻醉团队全程监护辰辰复苏过程,确保辰辰安全。


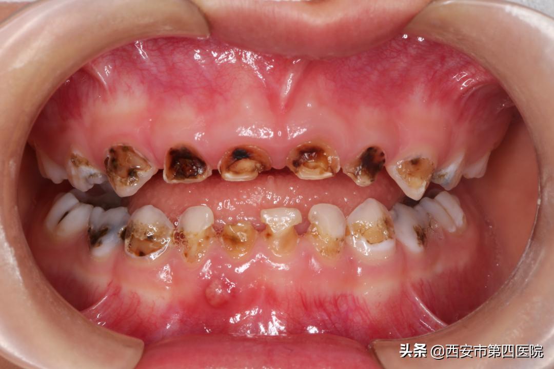
(左图为术前,右图为术后)
看到孩子术后恢复良好,口腔内多种疾病一次性治疗完成,家长非常满意。

(术后,口腔、麻醉医护团队合影)
后记: 6月18日,市人医(市四院)航天城院区口腔科成功完成医院首例全身麻醉下重度婴幼儿龋的综合手术,标志着医院儿童牙病舒适化诊疗再上新台阶, 也是目前市级综合医院里唯一一家开展该项手术的。
04 乳牙龋齿 坐等换牙ok吗?
孩子两岁半左右乳牙基本长齐,全部换完要等到12岁左右。
乳牙在口腔内的时间,最短者为5-6年,长者可达10年左右。龋齿是细菌性疾病,如果不及时治疗, 细菌会继续感染其他萌出的牙齿。
如果孩子龋齿不及时治疗的话,导致咀嚼食物嚼不烂,影响食物消化,严重的会对孩子生长发育造成不良影响;长期龋齿反复炎症,会影响继承恒牙的发育,导致换牙后牙齿异常等。
因此,一定要注意“早发现、早治疗”。

西安市人民医院(西安市第四医院)
航天城院区口腔科
该科作为医院重点打造的特色科室,引进一批口腔医学领域技术精湛、临床经验丰富的知名专家教授及专业的医疗护理团队,配备国际水平的口腔专科诊疗设备,开展口腔各项诊疗技术。科室一期配备牙科综合治疗椅,牙科CT,牙科显微镜,无痛麻醉仪,无痛牙周治疗仪,种植机等先进设备,全面开展龋病、牙髓病、根尖周病、儿童牙病、牙周疾病、牙体及牙列缺损、错颌畸形等常见疾病的综合诊疗。
专家推荐

葛鑫 副主任医师
航天城院区口腔科主任
中华口腔医学会镇静镇痛专委会委员
陕西省口腔医学会儿童口腔专委会常务委员
陕西省口腔医学会急诊专委会委员
专业特长:
口腔舒适化治疗,牙外伤的综合诊治,全麻下重度婴幼儿龋手术,年轻恒牙保髓治疗,生长发育期错颌畸形的矫治,地包天、口呼吸儿童的序列治疗,儿童龋病、牙髓病的诊治。
出诊时间:每周二上午 航天城院区

胡胜 副主任医师
航天城院区麻醉与围术期医学中心 主任
中国整形美容协会麻醉与镇静镇痛分会委员
中国老年医学会麻醉学分会委员
国家自然科学基金项目评审专家
专业特长: 擅长各种疑难危重手术麻醉、困难气道、各类休克、多器官功能衰竭、心跳呼吸骤停等患者的急救和重症监测治疗与复苏技术。