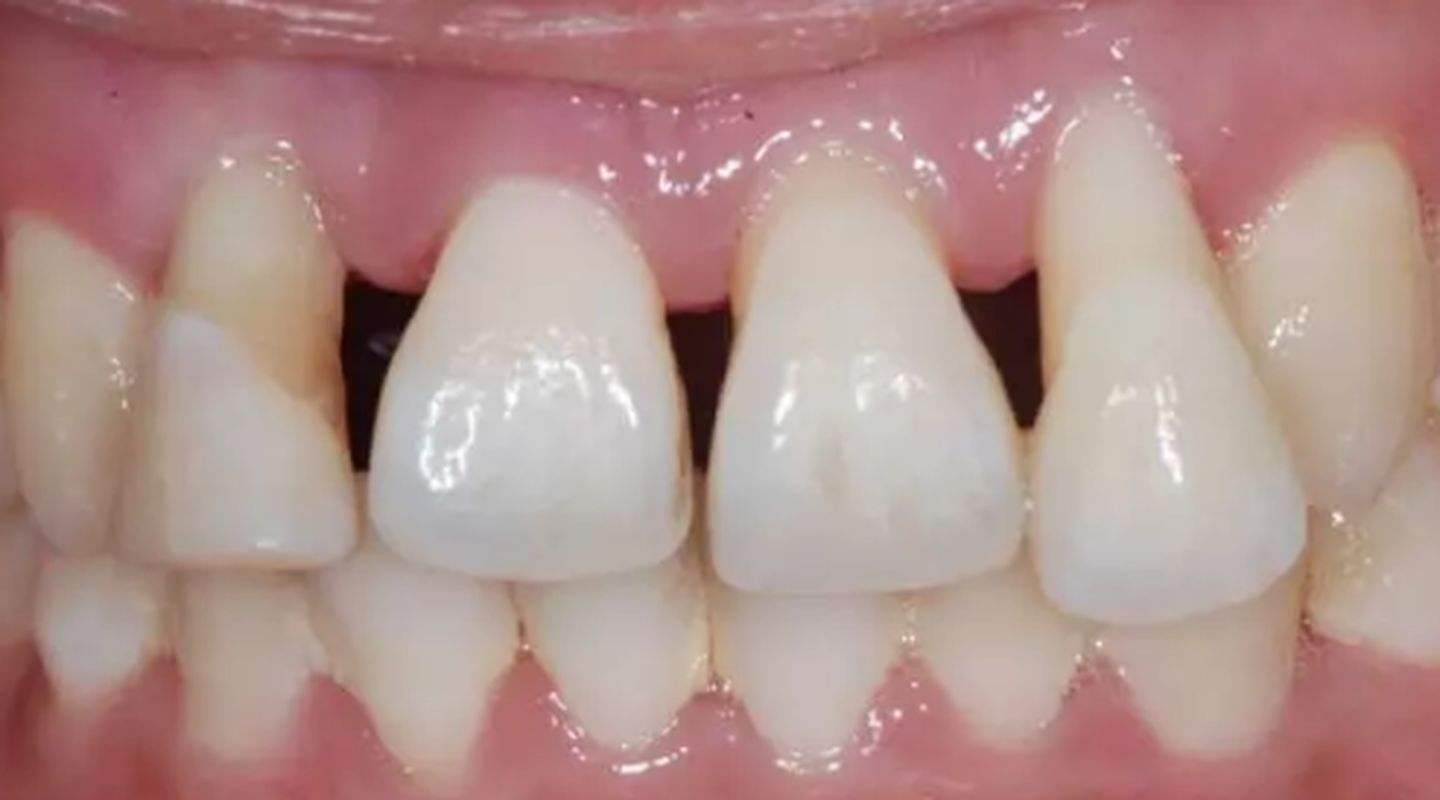
为什么老年人牙缝会越来越宽?
1、牙槽骨萎缩导致的
牙槽骨萎缩,我们的牙龈也会跟着萎缩下降,从而导致我们的牙根伸长,于是牙齿间隙越来越大,看上去我们的牙缝也越来大。

2、不良生活习惯导致的
很多人喜欢用牙签剔牙,为了将牙缝里面残值清理干净,于是习惯性网牙缝间不断“撬”,长久下来,牙缝越来越宽。
还有部分人存在不良的吐舌、咬嘴唇等习惯,这些习惯也导致开颌现象,于是牙缝也会逐渐变大。

老年人牙缝宽还能救吗?
首先要牙槽骨萎缩导致的牙缝变宽要看具体的情况,一般因为牙周炎导致的宽牙缝,需要及时控制牙周炎, 进行牙周治疗 ;能够有效预防牙缝越来越宽。如果是年龄增长导致的,建议日常 饮食均衡,要补足钙物质 ,预防牙槽骨萎缩加重,从而阻止牙缝越来越宽。

其次就是不良生活习惯导致的,像有使用牙签习惯的,可以 换成牙线代替用来清洁牙齿缝隙 。 不良的吐舌等习惯一定要及时改变!

提醒!老年人除了牙缝变宽,还经常出现这几类牙齿问题,需要及时处理!
1、老年龋齿
很多老年人容易出现龋齿,尤其是根面龋,根面龋如果不及时治疗,那么容易发炎,导致牙齿松动,建议有龋齿的老年人一定要及时处理。

2、老年缺牙
很多老年人觉得缺牙无所谓,其实牙齿缺失不仅是影响咀嚼和美观,还十分影响营养吸收导致肠胃疾病。因此有缺牙问题的老年人要及时修复,大家根据自身情况选择种植牙、连桥冠以及活动假牙进行修复我们的缺牙!
