病例
基本情况:女性 ,35岁 ,头疼2周,低颅压,行颅脑MRI平扫+DWI+增强扫描
检查情况:

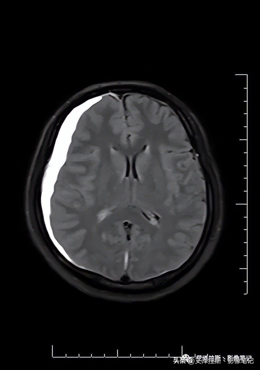
图1 T2WI

图2 FLAIR

图3 T1WI

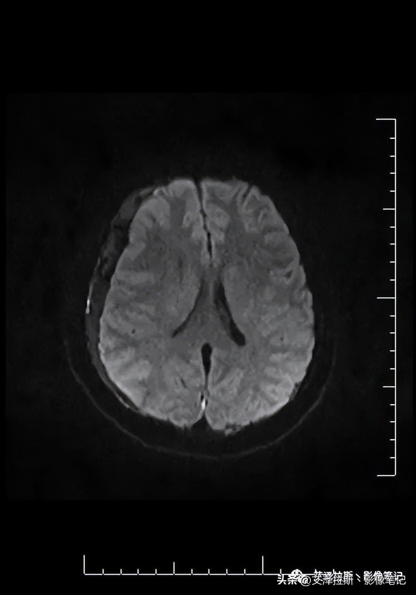
图4 DWI(b=1000s/mm²)

图5 ADC

图6 T2WI SAG

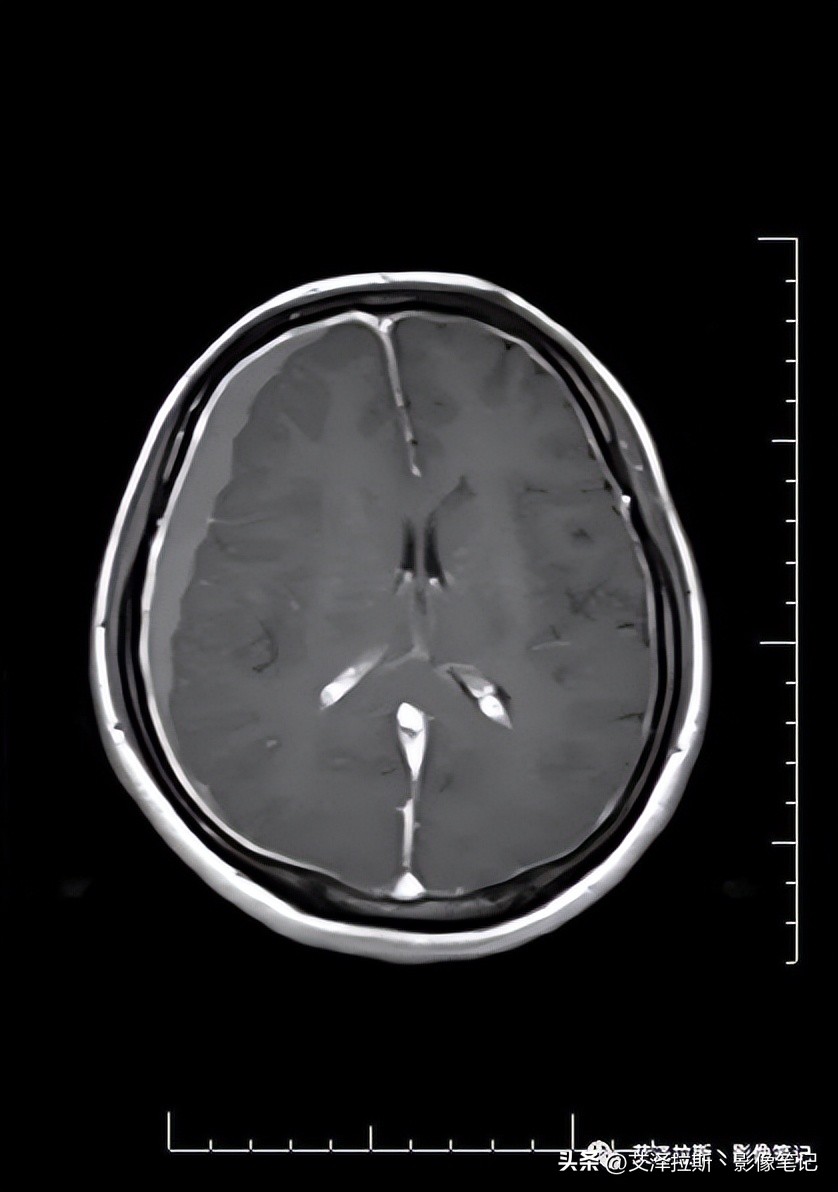
图7 T1+C TRA

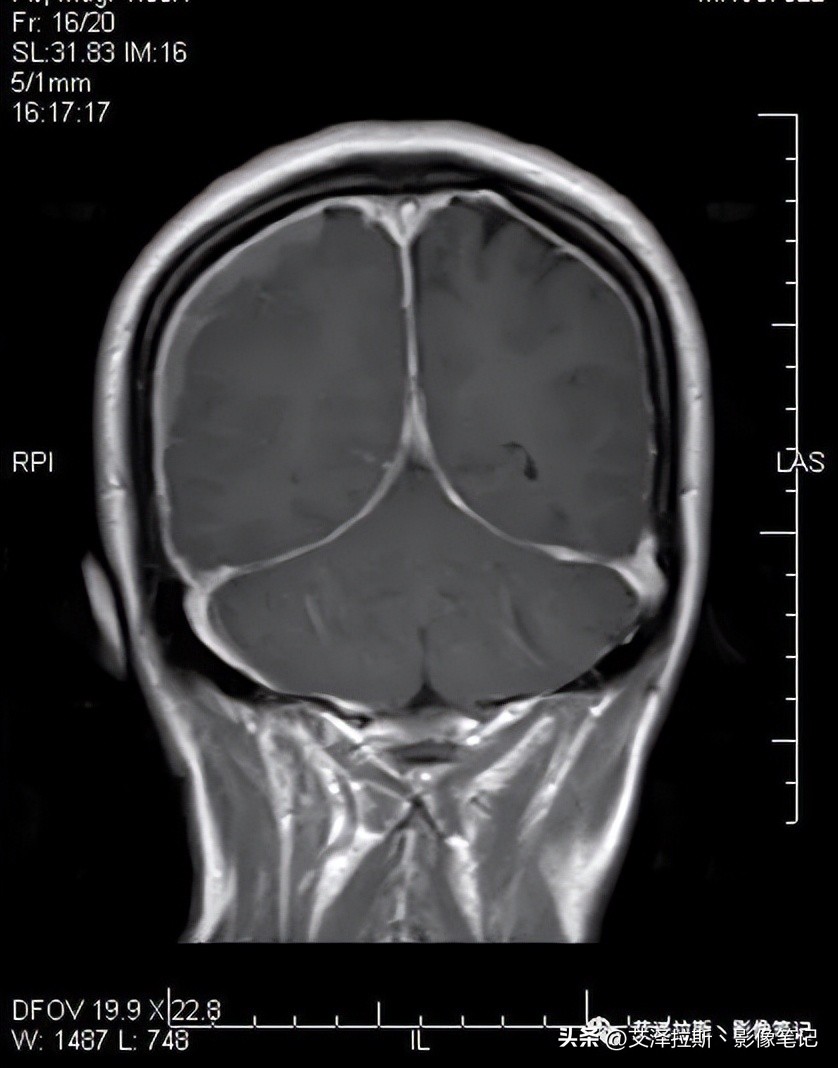
图8 T1+C COR

图9 T1+C COR
【检查所见】
图1-4显示右侧硬膜下血肿(亚急性-慢性期)、大脑镰硬膜下血肿(亚急性期),小脑幕硬膜下血肿(未提供图片);图7-9显示硬脑膜增厚,明显均一强化,未见结节状强化,柔脑膜未见强化。
【主要诊断】
- 低颅压综合征;
- 右侧硬膜下血肿(亚急性-慢性期)、大脑镰硬膜下血肿、小脑幕硬膜下血肿(亚急性期)。
低颅压综合征在影像上主要表现为四联征:
1.弥漫性硬脑膜增厚;
2.静脉窦扩张;
3.硬膜下积液/血肿
4.脑下垂,如小脑扁桃体疝等
在实际工作中,较少的病例具有典型的四联征,本例就未见脑下垂的影像表现(图6)。
关于这个病例,开始是为了排除脑炎进行的增强扫描。在写报告的过程中,向主治医师询问了患者的情况,了解到患者颅压偏低,结合影像表现得出了诊断结论。低颅压综合征,刚好解释了硬膜下血肿的原因和患者临床症状。再次说明了临床病史的重要性。提高诊断准确率,需要临床医师与影像诊断医师共同的努力。