BI-RADS分级是一种针对乳腺X线摄影、超声检查和磁共振成像结果的分类系统。
它是美国放射学会乳腺影像报告与资料系统(BI-RADS)所制定的标准,能够帮助医生对乳腺影像结果进行精确分类,为乳腺癌的筛查、诊断提供依据,并且方便医生采取必要的治疗措施。
BI-RADS分级一共分为7个等级,分别是:
0级:需要进一步检查。这意味着不确定或者不能排除癌症,通常需要进行进一步的检查和诊断。
1级:阴性。没有发现任何问题,乳房结构正常,没有看到任何肿块或其他异常。
2级:良性。非恶性乳腺异常,包括囊性增生、腺瘤等,通常无需进一步检查。
3级:可能是良性。结节形态符合良性乳腺疾病特征,但有些细节需要再次评估。
4级:可疑恶性。结节形态及其细节与恶性乳腺病变相似,需要进行进一步的检查(如细针抽吸活检)以明确是否癌症。

左边恶性结节,右边良性结节
5级:高度怀疑恶性。特别是一些钙化很范围广、形态不规则的结节,这意味着非常可能为癌症,需要及时进行治疗和手术切除。
6级:已经确诊为恶性。肉眼可见,已经明确诊断为乳腺癌。
BI-RADS分级可以帮助医生决定患者是否需要进一步检查或其他治疗方案。它还有助于医生在广大群众中促进乳腺癌早期筛查和预防,并且为患者提供更加个性化的治疗方案。
上面提到的可能良性、可疑恶性是怎么在报告单中描写的呢?快来自己对照一下吧。
1. 未确定性良性:通常是一些较小、形态规则的实性结节或单纯囊性结节。在这种情况下,建议进行三到六个月复查,观察其变化情况,以判断是否需要治疗。
2. 可能良性:表现为囊性或占位性质地,大小较大的结节,触诊活动度较大,表面光滑等特征。在此情况下,建议进行6-12个月后再次彩超检查,以确认其是否会造成潜在风险,是否需要手术治疗。

3. 可疑恶性:结节外形不规则,边缘模糊,密度较高,一般大小在1-2cm之间。此时需要进行细针穿刺活检,以进一步确认其性质。

不规则形
4. 恶性:恶性结节通常大小在1-2cm之间,外形不规则,边缘模糊,密度不均匀,多为实性乳腺组织,可以出现钙化和周围淋巴结肿大。此时需要紧急手术治疗。

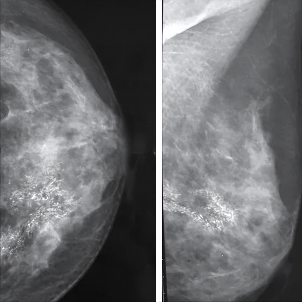
乳腺癌钼靶钙化灶
通过以上分级,我们可以看出,对于乳腺结节的处理方法是因人而异的,需要根据不同的情况采取不同的治疗措施。
彩超检查是一种无创、安全、准确的检查方法,其结果可以在当场得到解释与建议,并且不会对患者造成任何伤害。同时,它还可以检测到其他的乳腺异常变化,如乳腺增生、乳腺导管扩张等。因此,及早进行彩超检查,可以帮助女性朋友们更好地了解自己的身体健康状况,有利于预防和治疗乳腺疾病。
作为女性,应该重视乳腺健康的重要性,年龄50岁开始至少每两年进行一次乳腺X线摄影检查,并将其加入到你的例行体检计划中。如果家族中有乳腺癌病史,建议在40岁时开始进行检查。如果出现任何与乳房有关症状和异常,例如肿块、疼痛或乳头溢液等,应尽快就医。
总之,BI-RADS分级在乳腺癌诊断中起着非常重要的作用,可以帮助医生更加精确地判断乳房影像检查结果,并且选择合适的治疗方案。关注自身健康,尽早发现并预防乳腺疾病的发生。