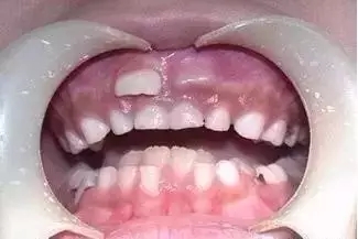
最近很多家长在群里讨论为什么6岁的孩子出现双排牙,新牙长出老牙却纹丝不动。6岁正值换牙期,很多患者成了两层牙齿的“小怪物”,妈妈们也焦急,纠结着要不要拔掉?

那么为什么越来越多的孩子出现了双层牙呢?
正常情况下,当患者6/7岁时,乳牙就已经完成使命要自动脱落,恒牙长出并伴随孩子一辈子。但是有些孩子乳牙迟迟不肯退位,恒牙已经长出所以形成了双排牙。这个时候如果不及时将乳牙拔掉就会影响恒牙的正常生长,导致牙齿错位、咬合不正等情况。所以说要及时处理。出现双排牙要及时处理,拔掉。
生命在于运动,牙齿一样。现在养孩子养得精细,食物都切碎了,从而导致孩子们不用过多咀嚼,不能对乳牙进行生理性刺激这样导致恒牙无法取代乳牙。
建议家长应该根据孩子的年龄选择一些咀嚼的食物,通过咀嚼来牵动咀嚼肌群的运动促进血液循环保证换牙期的顺利。

那么当孩子出现双排牙时我们应该怎么处理呢?
1、及时检查孩子的乳牙松动情况,如果已经有一点松动建议给孩子啃骨头、吃苹果、烧饼等硬一点的大小,帮助乳牙脱落。
2、如果恒牙已经萌出但是乳牙丝毫未动,则应该带孩子去专业的口腔医院进行就诊,及时拔掉,免得影响后期恒牙的发育。

我是清姐,二胎宝妈,执业药师,医务工作者。如果您喜欢我的分享,请关注点赞并转发。