我已委托“维权骑士”为我的文章进行维权行动。
免责声明:以下的文字,不做任何医疗建议,只做信息分享,请在专业人员的指导下进行。
请随意转发到朋友圈,如需转载请联系后台。
本文编辑字数3858字,预计阅读时间,9分钟。
所谓萝卜青菜,各有所爱,人的口味千奇百怪,有些人不爱吃海鲜,有些人不爱吃香菜,有些人不爱吃大肠,有些人不爱吃茄子。
有人一天不吃肉,浑身难受,而有人只要多吃一点肉,就感觉消化不了,浑身难受。
有些人什么肉都能吃,有些人闻不了猪肉的味道,而有些人就爱羊肉味,还有些人,以前不吃肉,换了环境,开始吃肉后,渐渐变得很能吃肉了。

以上这些情况都说明,人体对于食物的选择,可能很多原因。
经常有朋友跟我说,我以前不爱吃肉,很长时间都不吃肉,现在低碳饮食,想多吃点肉,但是一吃肉就难受,怎么办?
今天我们就来聊聊,为什么有些人多吃一点肉,就难受?
喜不喜欢肉味,可能和基因有点关系
你喜不喜欢肉的味道,可能和你的基因有点关系,PLoSONE期刊上有一项研究,曾经发现基因会影响你的食物选择①。
大部分人认为,我们选择食物,只是根据它的口感和味道,其中味道可能更占上风,但是有些人天生就不喜欢肉的味道。
→基因如何影响你的味觉
人之所以能闻到气味,主要通过某些特定的微小化学受体,它们位于鼻子里的神经细胞中,在我们的基因里,有大约400多种不同的受体,能察觉出大约10000种不同的气味。
其中,有些受体能探测出类固醇雄烯酮,这是公猪身上的膻味来源。

养猪的人就知道,没有阉割的公猪身上有强烈的膻味,所以市场上很多养殖的公猪都被阉割了。
有研究发现,当体内的某个基因(暂且称呼这个基因为X)有2份时,这个人就能闻到这种膻味,大概70%的人能够闻到这种味道。
那些对于气味格外敏感的人来说,他们会认为非常恶心,觉得腥臭。
而对有些人来说,也能闻到这种味道,但是他们觉得好闻,是种特别的香味。

与此对比的是,当体内的这个基因X,只有1份时,受体就不会被这种雄烯酮的味道所困扰,他们基本闻不到,或者只能闻到很淡的味道。
是否喜欢肉,也取决于经验
那么,是否有简单的味道测试,能判断出你是否携带了1份X基因呢,以及基因是否会影响你对熟肉的嗅觉呢?
研究者招募了23位健康人士,13个是普通人,10个是嗅觉特别敏感的人士。
首先,准备了3杯水,2杯中加入了雄烯酮,受试者通过闻味道,挑选出不同的那杯水。

图片来自:hydration
如果他们闻出来了,那么就被认为是嗅觉敏感者,如果他们错了,就被认为是不敏感的。
然后,让受试者去吃煮熟的猪肉(这些肉的雄烯酮水平不同),再次去评价它们的味道。
接着,研究者测试这些人的基因,结果发现体内带有2份X基因的测试者,能选出那杯水,并且也能吃出,煮熟的肉也有那股味道。
只有1份X基因的人,不能闻到膻味,会觉得猪肉很好吃。
还有一点值得注意的是,那些一开始闻不出雄烯酮味道的人,如果连续21天每天都闻,那么有一半人会逐渐开始闻到这种味道。

这个研究就暗示了,嗅觉的能力不仅仅是由基因驱使,还有经验的作用。
因此,基因影响了我们食物选择的偏好,此外,经验也影响了人们对食物的选择,关于吃不吃肉的经验,也几乎是下面每一个点里都会谈到的。
每个人的消化能力不一样
每个人的消化系统不同,对于肉类的消化能力也不同,对于有些人来说,多吃一点肉会让他们腹胀、恶心。
→ 消化系统已经适应了大量含纤维素的食物
有些人因为长期不怎么吃肉,消化系统无法一时大量分泌出消化肉类的酶类,多吃一点肉,就会不容易消化,滞留在腹部,同时让你感到身体沉重,疲劳,腹胀得难受。

→肠道的微生物
肠道中的微生物是靠长期摄入的食物来喂养的,如果原本不怎么吃肉,一下子改变食物来源,肠道中原本靠植物纤维存活的微生物,可能就会紊乱,甚至会反过头来吃掉人体的肠壁黏膜。

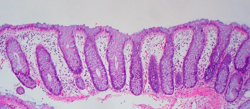
正常的肠壁黏膜 图片来源:researchgate
肠壁黏膜被破坏,人体就会很容易收到外来病原菌的干扰,吃肉感到恶心,就可能是人体对某些病原菌的反应。

被损坏的肠壁黏膜 图片来源:researchgate
因此,吃肉后感到恶心,有可能是正常的消化道菌群发生了紊乱,比如饮食结构大幅改变引起的菌群结构变化。
也可能是肉类本身不干净,受到污染,发生了腐坏,吃下这些就引入了更多的病原菌,就可能会加速损害肠壁黏膜。

此外,出于保护孩子本能,有些女性在孕期会格外敏感,对于肉类也会更为挑剔和谨慎,有时闻到某种肉味,也会让她们感到恶心。
长期不吃肉,吃稀饭,胃酸少
正如上面谈到,除了基因之外,进食经验也对食物选择起到关键作用,正所谓用进废退,长期不吃肉,人体消化肉的能力自然会衰退。
如果你总是吃稀饭,胃酸可能会越来越少,还可能会引起胃酸反流,因为大量碳水化合物摄入后,进入肠道分解,会产生大量气体,形成很大压力,压力会一直到尾部,最后可能打开括约肌闸门,引起胃酸反流。

长期如此,胃的消化能力越来越差,消化其他食物,包括肉的能力也自然变差。
→胃酸过少,吃肉不好消化
其实大多消化问题和疾病,都是胃酸造成的,但是是胃酸过少,而不是过多。
很多人一反酸,就以为是胃酸过多,开始吃降酸药,这些药物,真的害人不浅,这是一种对数百万人产生不良影响的严重医学误解。
真正的胃酸过多症很少见,很多人稍微吃些肉就感觉不消化,吃些红薯就嗳气,没吃几口饭就饱了,腹部不适,腹泻或便秘,这都可能是胃酸缺乏症的表现。
→胃酸对你的消化真的很重要
胃酸刺激消化相关的酶分泌、激素以及神经递质,保证消化过程顺利进行,没有足够的胃酸,就会影响到消化的各个环节,最终造成消化不良。
胃酸起着蛋白质消化的关键作用,如果胃酸不足,胃中的蛋白质就分解不了,这些未消化的蛋白质进入小肠后,还会引发食物过敏或不耐受。
还有其他原因,导致肉消化的问题。
蛋白质消化酶不足
当你开始张嘴吃东西时,消化系统就已经开始运作了,首先在你的唾液中,就有两种消化酶开始工作,它们主要用来分解碳水和脂肪。
当蛋白质进入到你的胃中时,蛋白消化酶就会将它们分解为更小的氨基酸链,随后进入小肠中。

图片来自:pmgbiolgoy
因此,想要肉类被更好的消化吸收,需要人体能产生特定的消化酶,比如胃蛋白质消化酶,将肉类的营养分解为氨基酸,维生素和矿物质。
如果体内蛋白质消化酶不足,消化肉的能力自然也不足,而体内蛋白质消化酶水平,也是和我们所吃的食物有关的。

健康的身体状况下,摄入充足的菜和肉,人体的蛋白质消化酶水平就会正常,不会分泌不足,但如果长期不怎么吃肉,负责消化肉类的消化酶也会不足。
此外,上面也谈到,长期胃酸过少,也会导致蛋白质消化酶分泌过少。
问题不是肉,而是搭配的食物
很多时候,我们吃肉,都是有其他食物搭配的。
比如你吃红烧肉,会配米饭;吃牛肉汉堡,会吃面包,会吃薯条和可乐,你吃炸鸡,很可能还要来点啤酒和薯饼。

吃完这些食物后,如果身体产生不适,不一定是肉本身的问题,也可能是与之搭配的食物,引起你的腹胀,反酸等问题。
而这些与肉搭配的通常也都是高碳水食物,经常吃汉堡的人可能有这个问题。
可以用排除法,如果单吃肉,或者单吃其他事物,看看身体的反馈。
关键的瘦龙说
我身边有很多老年人,只能喝稀饭,不能吃肉,稍微吃点肉就觉得难受,消化不了,当然有些老人是咬不动肉了。
很多老人觉得,吃任何东西都没有喝稀饭舒服,长期这样下去,蛋白质不够、营养不良、老年人骨质疏松、慢性病等问题越来越严重。
稀饭除了好消化,本身没有任何营养,只有一些热量,八宝粥的营养也没有什么特殊的,并不是什么宝贝。

不管是年轻人要长个子,还是老年人保持健康、提高营养,必须得多吃菜和肉。
不少朋友看了我的文章和案例后,也想要尝试低碳饮食,多吃菜和肉,但当他们试图多吃点肉时,发现身体受不了,难受。
这篇文章就从基因、肠道、胃酸少、蛋白质消化酶、长期不吃肉等原因,给大家介绍了多吃肉难受的原因。
实际上,很多人多吃些肉就难受,可能不是某一个原因造成的,大多情况是,几个因素共同作用的结果。
比如,长期喝稀饭,吃大量米面糖,经常不吃肉,或吃很少的肉,就很可能会导致胃酸少,蛋白质消化酶分泌不足,肠道消化肉的能力不断降低。
值得欣慰的是,身体消化吸收肉的能力,也是可以通过饮食慢慢调整,并锻炼出来的。
因此,想要多吃点肉的朋友,可以慢慢来,先逐渐减少米面糖的摄入,如果一开始多吃肉难受,那就先少量一点,再逐渐增加,重要的前提是要保证身体可以接受,并且觉得舒适。

在身体能接受的范围内,慢慢地你可能会发现,身体消化吸收肉的能力慢慢增加了,吃肉也不像以前那么难受了。
如果实在接受不了猪肉的味道,也不要勉强自己,吃点牛羊肉也很不错哦。
总的说来,少吃米面糖,多吃菜和肉,身体越健康,生活更有味。

(叨叨完了,是不是又说多了?)