刘少稳房颤的原因 (刘少稳房颤)

PCI术后第6天,患者突发心脏压塞;20天后又发生亚急性支架内血栓,如何处理?又如何一步步化险为夷?

【病史】

现病史

65岁男性。2009年1月1日主诉“持续胸痛4 h”,胸痛伴肩部放射,含服“硝酸甘油”未缓解。无晕厥,无抽搐,无恶心呕吐。就诊于外院,心电图提示“急性广泛前壁心肌梗死”,予“阿司匹林300 mg、氯吡格雷600 mg顿服”,后从外院转送我院拟行急诊介入治疗。

既往史

既往高血压病史10年(血压控制不详);2型糖尿病半年,未服用药物,仅仅饮食控制;慢性肾功能不全病史,最高肌酐(Cr )160 μmol/L。

过敏史

无药物食物过敏史。

个人史

无不良嗜好,不抽烟,不嗜酒。

家族史

无冠心病或糖尿病家族史。

【体格检查】

P 92次/分,BP 115/62 mmHg。发育正常,神志清楚,精神差,颈软,颈静脉无充盈,两肺呼吸音清,未闻及明显湿啰音。心前区无隆起,心尖搏动位于第五肋间左锁骨中线内0.5 cm处,无抬举性心尖冲动,心界无扩大,心率92次/分,律齐,各瓣膜听诊区未闻及病理性杂音,未闻及额外心音及心包摩擦音。腹部膨隆,全腹无压痛、反跳痛及肌紧张,肝脾肋下未触及,双下肢无水肿,生理反射存在,病理反射未引出。

【诊疗经过】

入院时Hb 150 g/L,WBC 19.0×109/L,Cr 142 μmol/L。给予福辛普利10 mg QD、美托洛尔25 mg Bid、阿托伐他汀20 mg Qn、拜阿司匹林300 mg、氯吡格雷600 mg顿服(此后拜阿司匹林300 mg Qd、氯吡格雷75 mg Qd),术前普通肝素4000U 静脉推注。

获家属同意后,经右股动脉行急诊冠脉造影,结果提示左主干远端30%狭窄,左前降支(LAD)发出第一对角支(D1)后完全闭塞,血栓病变;D1开口处90%狭窄,血管直径约2.0 mm;左回旋支(LCX)的钝缘支(OM)开口处50%狭窄;右冠状动脉(RCA)近段50%狭窄;RCA未见侧支循环至LAD。判定LAD为梗死相关动脉。

追加7000U肝素,选择6F XB LAD 3.5指引导管,送0.014” Runthrough导丝通过闭塞部位到达LAD远端,送Rinato导丝进D1作为保护; 2.0 mm×15 mm球囊(Voyager)以12atm预扩张LAD病变后,残余狭窄为70%,前向血流恢复TIMI 3级。置入 2.75 mm×30 mm支架(Endeavor)到LAD病变部位,释放压为12atm。支架释放后,造影见D1血流缓慢,Runthorugh 无法进入D1;交换为Miracle 3g导丝进D1。先用 1.5 mm×15mm球囊(Asahi)以12atm扩张D1,然后再用 3.0 mm×13mm球囊(Powersail)以18atm行LAD支架内后扩张。重复造影见LAD支架植入部位残余狭窄消失,D1开口处残余狭窄60%,无夹层征象。LAD及D1前向血流均为TIMI 3级。手术顺利,术中患者胸痛明显缓解,生命体征平稳。术后以Starclose缝合器缝合股动脉创口,局部无出血,安返病房。

术后随访ST段回落大于70%,HR 72次/分。术后使用依诺肝素 40 mg Q12h,替罗非班5 ml/h静脉推注维持48h。

图1:A 2009年1月1日,术前ST段抬高;B 术后ST段回落。

图2:A 2009年1月1日术前LAD闭塞;B 术后LAD通畅。

患者于2009年1月4日查床边超声心动图,提示前壁、前间壁和心尖部收缩减弱,左室射血分数(LVEF)0.50,生命体征稳定。

2009年1月6日(术后第6天)上午11:00,患者突然出现胸闷气促伴冷汗。即测BP 62/40 mmHg,HR 108次/分,窦性心动过速;急查床边超色心动图见心尖部心包积液12 mm,左室后壁心包积液15 mm(较2009年1月4日明显增加)。考虑心脏压塞,紧急心包穿刺置管引流,抽出淡血性不凝固心包积液160 ml。胸闷气促迅速缓解,BP回升至85/56 mmHg,HR 86次/分。复查超声心动图见心包积液量3 mm;复查血常规Hb 110 g/L,WBC 10.5 ×109/L。停用依诺肝素,将阿司匹林减量至100 mg Qd。

图3:2009年1月6日心脏压塞时。

2009年1月7日患者主诉胸闷,超声心动图未见明显心包积液;胸部CT提示双侧胸腔积液,左侧42 mm,右侧30 mm。当日从左侧抽出淡黄色胸水600 ml并留置引流管。2009年1月7日复查超声心动图未见心包积液,撤除引流管。2009年1月7日至1月15日左侧共引流出淡血性胸腔积液2200 ml,右侧引流出淡黄色至淡血性积液1200 ml。考虑冠脉穿孔不能除外。2009年1月15日复查冠脉造影未见异常,无血管穿孔迹象。因持续引流出血性胸腔积液,2009年1月17日始停用阿司匹林,保留氯吡格雷75 mg Qd。复查Hb 85 g/L;输入少浆血2U和血浆2U。2009年1月17日至1月20日,左侧再次引流出淡血性胸腔积液3400 ml。

2009年1月20日早上7:30,患者突发胸痛胸闷伴气促,心电图提示前壁ST段再度抬高明显,考虑亚急性支架内血栓形成。8:15急诊冠脉造影见LAD支架内血栓形成,完全闭塞。静脉推注8000U普通肝素和替罗非班12 ml,予以球囊扩张后血流恢复;但术中反复闭塞,故此追加了替罗非班8 ml×2次并静脉维持6 ml/L(持续48h)。最终LAD血流恢复至TIMI 3级。

术后心电图见ST段明显回落,症状也随之缓解。术后给予依诺肝素20 mg Q12h皮下注射、阿司匹林200 mg Qd、氯吡格雷仍为75 mg Qd,停用替罗非班后依诺肝素为40 mg Q12h。出院前复查Hb 106 g/L。

图4:2009年1月20日再次胸痛时ST段抬高;B 再次PCI术后ST回落。

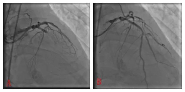
图5:A 2009年1月20日术前LAD支架内血栓导致急性闭塞;B 急诊PTCA术后LAD血栓减少,血流正常。

至今随访7年无严重不良心血管事件发生,因1年后肌酐上升至180~210 μmol/L,无心绞痛发作,考虑肾功能恶化未行冠脉造影复查。

【讨论】

问题1. 急性心肌梗死后发生心包积液的可能原因是什么?

专家解读:

尚未应用溶栓和急诊经皮冠状动脉介入治疗(PCI)进行心肌再灌注治疗的年代,急性心肌梗死早期出现心包积液的最常见原因是心包炎。坏死心肌组织释放的一些酶、纤维蛋白及激活补体参与的炎性渗出,它与心肌梗死的面积高度相关。尸检显示Q波明显的心肌梗死患者大约40%有心包炎性渗出,溶栓剂和急诊PCI使其发生率降低了50%。目前急性ST段抬高心肌梗死直接PCI治疗后早期心包炎发生率4.2%,心肌梗死早期心包炎大多数无症状,呈良性过程,心脏压塞者少见,同时合并有胸腔积液更罕见。

问题2. 如何鉴别介入相关的心包积液和急性心肌梗死导致的心包积液?

专家解读:

PCI术后发生心脏压塞,首先要考虑是否与介入操作相关。需要多位专家反复回顾录像,仔细查找冠脉穿孔迹象。尽管冠脉导丝导致的冠脉穿孔从录像上可能无法识别,但导丝引起的穿孔如果引起心脏压塞,多数在1~72 h内发生(特别是积极抗凝的情况下)。然而,该患者发生心脏压塞时间距离第1次介入116 h,因此导丝引起穿孔的可能性很小。另外患者的双侧胸腔积液也难以用导丝穿孔来解释。本病例进行了第2次冠脉造影,也排除了冠脉穿孔可能;因此基本肯定是急性心肌梗死导致的心包积液。

问题3. 该病例可以诊断为Dressler综合征吗?

专家解读:

PMIS(post myocardial infarction syndrome), 亦称为Dressler综合征,是急性心肌梗死的并发症之一,1956年由Dressler最早报道。该综合征的发生率为3%~4%,于心肌梗死后数天至数月发生,可反复。表现为心包炎、胸膜炎或肺炎。其发病机制目前还没有确切的定论,有学者认为是自身免疫性疾病,还有学者认为可能与病毒感染及抗凝药物的使用有关,但均未得到证实。

PMIS的症状主要为胸痛、发热;查体可发现有胸膜摩擦音及心包摩擦音;胸部X线检查可发现肺纹理增多,可出现片状模糊影,胸腔积液;超声心动图可发现心包积液。

在早期的文献报道中,该疾病的发生率1%~10%。但随着急诊PCI的开展,临床上的实际发病率低于1%,多数文献为个案报道,而且不一定符合当时提出的诊断标准。当时Dressler提出的诊断标准:(1)肯定的急性心肌梗死或陈旧性心肌梗死;(2)急性心肌梗死后数周出现发热、胸痛、呼吸困难、咳嗽等,具有胸膜炎、心包炎、肺炎的可靠证据;(3)抗感染治疗无效,糖皮质激素治疗效果明确。本病例为急性心肌梗死后的心包积液和胸腔积液;但没有发热、胸痛,咳嗽等,没有使用糖皮质激素,随访7年未再复发。作者观点,虽然不完全符合Dressler提出的诊断标准,但可以诊断为心肌梗死后综合征或Dressler综合征。

Dressler综合征急剧减少乃至近似消失,除了与再灌注的广泛开展有关系,可能与目前药物使用也有关系。AECI和ARB、β受体*制剂抑**、他汀类药物的使用均是现代治疗的基本药物,这些药物在当年Dressler综合征提出的年代均尚未使用。而这些药均有抗炎作用,抑制了心肌梗死后的非细菌性炎症或免疫反应的发生,这恐怕是Dressler综合征罕见的主要原因。

问题4. 如何平衡冠脉缺血和心包出血?

专家解读:

有报道指出,心肌梗死后综合征在发生心包积液时,应立即停用抗凝治疗,避免心包积液中红细胞渗出、发生内出血的危险。然而,对于急性心肌梗死急诊支架置入术后的患者,通常应当强化抗血小板和抗凝治疗,以防止支架内急性或亚急性血栓形成,两者之间是相互矛盾的。

该患者先停用了低分子肝素并将阿司匹林减量,当时未发生不良事件.但在停用阿司匹林后第3天出现了亚急性支架内血栓形成,使患者生命再次面临危险。提示急性心肌梗死患者置入支架后双联抗血小板药物的重要性,特别是置入药物洗脱支架后早期尤为重要。过早停用抗血小板药物是药物洗脱支架发生支架内血栓的最强预测因子,文献报道早期停用双联抗血小板药物后约29%的患者将发生支架内血栓形成。一旦发生支架内血栓形成,死亡率高达40%左右。

仔细分析患者的临床经过,除了在心脏压塞当时患者的生命受到威胁外,后来的大量胸腔积液期间生命体征(包括Hb)都是相对平稳的。当心脏压塞得到控制之后,其实当时可以继续使用双联抗血小板药物的。停用双联抗血小板药物是个错误的决定。此外,胸腔积液和消化道出血不同,消化道出血与阿司匹林的使用因果关系较为肯定,但胸腔积液的多少则未必与阿司匹林相关。另外,由于当时胸腔已经进行了置管引流,即便发生活动性出血,也可以通过输血治疗得以控制。

【教学点】

1.急性心肌梗死患者可能发生心包积液和胸腔积液,心包积液可以导致心脏压塞和胸腔积液;及时的心包穿刺引流是必须的。

2.支架置入术后,即便有心包积液和胸腔积液,如果生命体征稳定,引流通畅,仍要继续使用双联抗血小板药物,以免发生支架内血栓形成。

病例来源:上海交通大学附属第一人民医院 周国伟 刘少稳

心在线 专业平台专家打造

编辑 刘倩┆美编 柴明霞┆制版 田新芳