
合并房颤的急性心梗(AMI)患者行经皮冠脉介入治疗(PCI),术后患者通常要接受三联抗栓治疗,这大大增加了出血的风险。近日,《美国心脏病学会杂志·病例报告》(JACC: Case Reports)刊登了一则罕见案例,AMI 患者在三联抗栓治疗过程中突发脾脏出血。
1 AMI 处理概况
患者,男性,63岁,因心脏骤停紧急入院,有高血压、血脂异常、糖尿病、房颤病史。
心电图上无ST段抬高。
生化检查发现,高敏肌钙蛋白 I 大幅升高至49166 ng/L。
紧急行冠脉造影,发现左前降支临界性狭窄,成功置入新型药物洗脱支架。
术后开始三联抗栓治疗,使用阿司匹林100 mg/d、氯吡格雷75 mg/d、依诺肝素80 mg bid,由于患者合并呼吸机相关肺炎,故在住院期间维持三联抗栓方案。
2 脾脏出血诊疗经过
在入院第12天的时候,患者突然出现血小板增多症,血小板计数从227 G/L增加至778 G/L,当天血红蛋白数值也大幅下降。
在患者入院的第24天,他出现了左腹部疼痛和恶心的症状。查体发现,患者低血压、腹中部有中等程度的压痛、左上腹部有一个肿块。
患者在之前几周没有外伤病史。心电图和高敏肌钙蛋白 I 水平无明显变化。血红蛋白水平从基线的12.2 g/dl降低至8.3 g/dl。
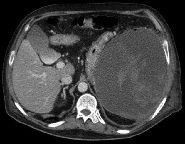
遂进行腹部CT扫描,发现隐藏的脾脏破裂,以及大的包膜下血肿,大小18*17*15 cm(图1),无活动性出血。

图1. 腹部CT扫描,显示脾脏破裂、大的包膜下血肿。
主管医生认为,在无肋骨骨折、CT扫描提示创伤性病变或脾脏病理间接征象的情况下,他的脾脏破裂与采用的三联抗栓治疗有关。
经多学科团队评估,该患者不适合采用外科或血管内治疗,遂采用保守治疗,给予液体复苏和抗生素预防。
患者顺利恢复,之后给予阿司匹林和依诺肝素抗栓治疗。1个月时随访,患者状况良好。腹部超声显示血肿消退,无进一步出血的证据。
3 小结
非外伤或自发性脾脏出血(血肿或破裂)很罕见。由于无外伤病史,经常导致患者漏诊、误诊。然而,自发性脾脏大出血属于临床严重情况,常常有生命危险,需要紧急处理。
抗凝及抗血小板治疗虽然经常导致包括消化道在内的多个部位出血,但多属于小出血,像这例患者这样的脾脏大出血非常少见。对于这种情况的处理,目前还缺乏指南指导,但一般建议年轻和病情稳定的患者采用保守治疗的方法。而且,对于这样的自发性脾脏出血,在急性期过后可以安全地重启抗栓治疗。
来源
Diana de Campos, Rogerio Teixeira, Carolina Saleiro, et al. A Spleen Complication After an Acute Myocardial Infarction. J Am Coll Cardiol Case Rep 2020; 2:619-20.