哈医大二院多学科联合在机器人引导下精准定位勇闯手术禁区 热凝解决怪病“真凶”错构瘤
“爱笑”男童每天无故痴笑几十次 竟是错构瘤作祟
本报讯(李华虹 曹玥)“爱笑”应该是一个人的优点,但对于12岁有癫痫病史的小天(化名)来说却成了他最大的负担。自出生几个月开始小天就出现不受控制的发笑,最近两个月尤其频繁。虽然每次只有几秒钟,但频率却达到了一天几十次,愈发严重,晚上无法入睡,严重影响了小天的学习和生活。焦急的一家人来到哈医大二院,通过癫痫中心内外科、儿科、核磁共振及PET-CT组成的多学科团队联合会诊后,找到了小天发笑的根源——下丘脑错构瘤。并在国产机器人辅助下闯入手术禁区,精准定位错构瘤位置,将痴笑“元凶”成功“烧死”。小天的痴笑症状随即消失了,脑电波也恢复了正常。

哈医大二院神经内科教研室主任、癫痫中心主任朱雨岚教授(左2)进行查房
每天不受控制发笑几十次 多学科联合诊断捕获“真凶”
今年12岁的小天(化名)在6个月大时就被确诊为癫痫,这些年来他一直遵医嘱按时服用抗癫痫药物,症状得到了一定程度的控制。出生后几个月开始他就出现了不受控制的发笑,最近2个月尤其严重,每次持续几秒钟,在短短一周的时间里,从开始的每天几次发作,愈加频繁,严重时甚至达到一天几十次,身边的同学对自己投来异样的眼光,小天也变得自卑,学习成绩明显下降。小天父母见状十分担心他的身体,在详细考察后带他来到哈医大二院癫痫中心就诊。

朱雨岚教授带领多学科团队进行术前评估
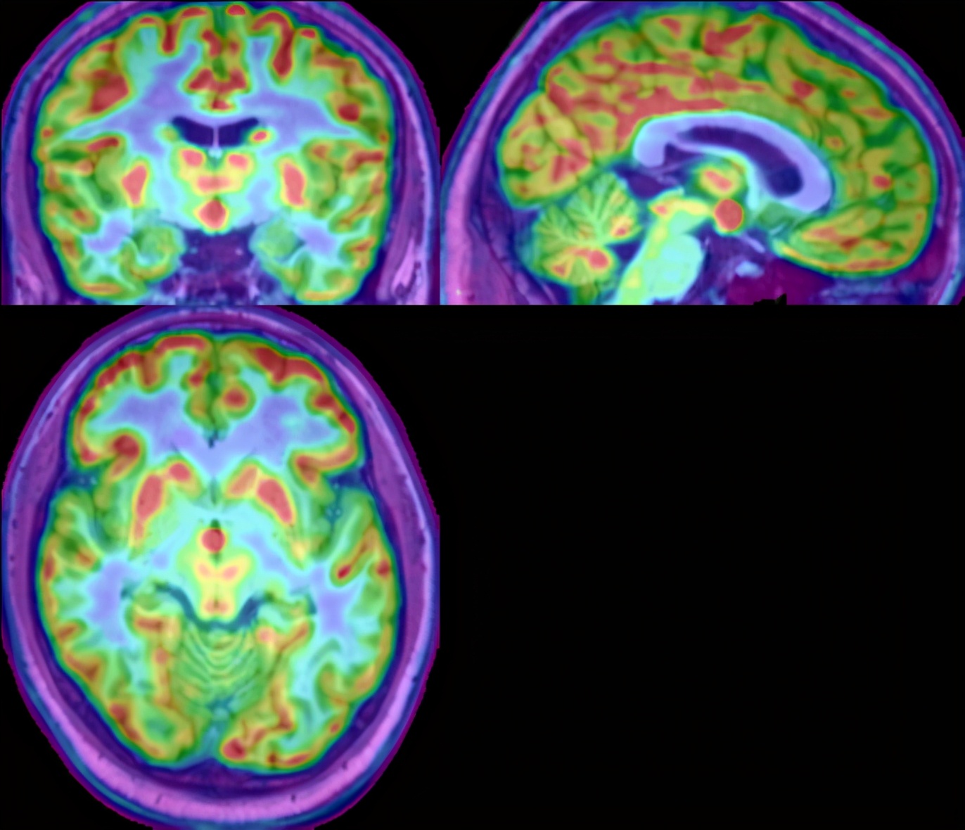
小天入院后进行了长程视频脑电图监测、等体素MRI及PET-CT等全面系统的检查,同时利用目前最先进的影像后处理技术将MRI与PET-CT进行融合,发现了位于下丘脑直径7毫米的错构瘤。哈医大二院神经内科教研室主任、癫痫中心主任朱雨岚教授邀请了包括儿科郝艳秋教授,PET-CT主任李萍教授,神经外科孙家行主任医师,核磁共振程义鹏副主任医师在内的多学科专家为小天进行仔细规范的术前评估。结合患者的症状以及对影像的精准判断,最终确诊是由下丘脑错构瘤导致的痴笑发作。

PET-CT与MRI影像融合捕获痴笑“真凶”下丘脑错构瘤
朱雨岚教授表示,下丘脑错构瘤主要见于儿童或青少年,是一种极为罕见的先天性脑组织发育异常。临床症状包括痴笑样癫痫和性早熟,有些患儿还合并认知障碍、记忆力减退和注意力缺陷等。下丘脑错构瘤导致的痴笑性癫痫,通常抗癫痫药物治疗效果不佳,而立体定向射频毁损术治疗错构瘤疗效显著。
在机器人引导下勇闯手术禁区 精准植入将肿瘤彻底消灭
“下丘脑错构瘤因为病灶位置深在,毗邻重要功能结构,所以一直被认为是神经外科手术的禁区。在开颅术后往往会出现下丘脑综合症,包括高热、激素代谢紊乱、电解质紊乱、尿崩等并发症,术后住院时间长达3-4周,并且可能需长期应用激素治疗,患儿生活质量差。”神经外科二病房孙家行主任医师介绍道。

在SINO机器人引导下,孙家行主任医师精准植入电极
据了解,哈医大二院自2019年引进Sino手术机器人后,成功完成了数例难治性癫痫的SEEG引导下热凝毁损手术,疗效十分显著。这一术式避免了创伤性大的开颅手术,定位更加精准,具有术后并发症少的优势。
经过充分的术前准备,孙家行主任医师根据术前初步定位的病灶位置,通过在头部极小的微创操作,利用机器人对病灶进行精准定位后,顺利植入了三根颅内电极,植入电极后,小天被送回了病房进行进一步监测。
癫痫中心副主任朱延梅副教授介绍,为了更加精准的对病灶进行定位,使遗漏病灶的可能性降到最低,除已经明确的错构瘤外,还对其他可能出现异常放电的脑区进行了监测。监测结果显示,对错构瘤进行电刺激后,捕捉到了小天的惯常痴笑发作,更进一步证实了错构瘤就是导致小天出现痴笑发作的“真凶”。癫痫中心的医生们对患者进行了致痫灶热凝毁损治疗,错构瘤被“烧死”。治疗完成后,小天再也没有出现过痴笑的症状,术后也没有出现任何不适症状。出院后癫痫中心的医生还会对他进行密切的随访,最终有望彻底减停抗癫痫药物。

小天出院前,与哈医大二院癫痫中心团队内外科部分医生合影
朱雨岚教授介绍,癫痫是儿童神经系统最常见的慢性疾病,目前我国有超过1000万癫痫患者,在癫痫患者中,有60%以上都是儿童及青少年,因癫痫的病程长且反复发作,严重威胁患者的身心健康,癫痫患儿的病痛给家庭乃至社会带来了沉重的负担。约有30%的患者通过两种或两种以上合理及耐受的抗癫痫药物治疗仍不能控制癫痫发作,对患儿的认知、心理、生活质量都会产生极大的损害。作为省内首家集门诊、病房、辅助检查于一体的癫痫诊疗中心,哈医大二院癫痫中心对于难治性癫痫具有丰富的诊疗经验,近年来通过癫痫内、外科及多学科合作,开展多项评估手段及治疗方法,其中包括癫痫术前筛选及评估、立体定向脑电图、多模态影像学及后处理,成功开展立体定向电极植入(SEEG)、致痫灶热凝毁损治疗以及神经调控等方法,造福了众多癫痫患者。
编辑|曹玥