胆道恶性是指源于肝外胆管包括肝门区至胆总管下端的胆管的恶性肿瘤。其病因可能与胆管结石、原发性硬化性胆管炎等疾病有关。临床可采用手术治疗、放射治疗、化学治疗等方法,但预后较差。
胆道恶性肿瘤射频消融治疗
胆道内导管射频消融术 是治疗胆管癌等胆道内恶性肿瘤的方法之一。该手术是在DSA的监测下,通过PTCD建立的通道,把电极导管插入肿瘤侵犯的狭窄胆管处,然后在该处局部释放高频电流,在很小的范围内产生很高的温度,通过热效能,使局部组织内水分蒸发,干燥坏死,达到治疗目的。
HPB射频消融导管(图1)采用经皮经肝穿刺路径可在胆道支架置入前射频消融摧毁部分肿瘤,也可在穿刺成功后射频消融清除已堵塞金属内支架内的组织,从而达到治疗恶性胆道梗阻的作用。

图1 HPB射频消融导管
适应症:无法手术切除的胆道恶性肿瘤
操作过程:手术通过DSA的引导下经皮肤穿刺肝脏的胆道,在堵塞胆道的肿瘤组织内“钻”开一个孔,于胆道腔内恶性肿瘤生长的位置引入双极射频消融导管,应用热消融原理杀死胆道周围的肿瘤细胞,有效减缓腔道周围癌细胞生长,再联合胆道支架植入,达到长期疏通胆道的目的。该疗法安全微创、并发症少,不仅直接杀灭了恶性肿瘤细胞,有效地解除胆道梗阻,降低再次发生胆道梗阻的风险,同时最大程度的保护患者的肝功能和胆汁引流的正常生理通道,患者术后黄疸均很快消退,血清总胆红素显著下降。

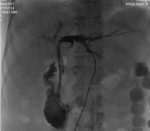
胆道射频消融示意图
术中DSA下示意图:
1、 肿瘤病变狭窄段

2、插入射频消融导管

3、射频消融治疗及支架置入后造影再通

山东省立医院西院肿瘤医学中心微创介入科
是以临床、教学、科研为一体的重点学科。科室医务人员技术精湛,实力雄厚,目前拥有独立的介入病房、介入手术室、介入门诊和介入培训基地,已成为集医疗、科研、教学于一体的初具规模的综合性介入诊疗中心。
科室开展以局部消融(射频、微波)、血管栓塞化疗等为代表的微创介入治疗日趋成为肿瘤治疗的重要手段,为大多数失去外科手术机会以及拒绝外科手术的肿瘤患者带来了新的治愈希望。
为了适应肿瘤治疗的未来发展趋势,大规模开展肿瘤局部消融、肿瘤动脉栓塞化疗、粒子植入等微创治疗,科室配备肿瘤局部消融(射频、微波、氩氦刀)、血管介入、粒子植入、支架置入等微创治疗的所需的主流设备和仪器,配备平板DSA、大孔径CT 、多普勒超声仪、射频和微波消融仪等大型设备。

特*医色**疗技术
一、肿瘤疾病的微创介入治疗
1.肝癌化疗栓塞(TACE)治疗
2.肝血管瘤微创介入治疗
3.肝癌微波与射频消融治疗
4.肝癌利卡汀、碘-125粒子内照射治疗
5.肺癌、胰腺癌、肾癌、子宫肌瘤、甲状腺瘤等微创介入治疗
二、胆道疾病的微创介入治疗
1.恶性胆道梗阻射频消融治疗
2.胆囊癌微创介入治疗
3.梗阻性黄疸引流退黄或支架植入治疗
4.胆肠吻合口狭窄微创介入治疗
三、血管疾病的微创介入治疗
1.布-加综合征微创介入治疗
2.门静脉癌栓或血栓微创介入治疗
3.门脉高压出血、腹水及脾亢微创治疗
4.下肢静脉曲张或血栓微创介入治疗
5.颈动脉、下肢动脉狭窄或闭塞微创治疗
6.胸、腹主动脉夹层及动脉瘤微创治疗
四、急诊出血的微创介入治疗
1.胃冠状静脉栓塞介入治疗
2.肝胆胰手术后出血的介入治疗
3.瘢痕妊娠、胎盘治疗等引起的子宫出血的介入治疗
4.顽固性咯血、鼻出血等的介入治疗


关注山东省立医院西院肿瘤医学中心,提前预约挂号!